د. صالح بن سيف الهنائي
د. صالح بن سيف الهنائي

@SsAlhinai

5 تغريدة 49 قراءة Mar 07, 2024
هل تعاني من ألم في باطن القدم؟ ربما لديك التهاب اللفافة الأخمصية.
تعرف في هذه السلسلة على عوامل الخطورة للإصابة بالتهاب اللفافة الاخمصية وتشخيصه ومختلف علاجاته….
عوامل الخطورة
الوزن الزائد
الركض المفرط
شد عضلات القدم والساق
اختلاف طول الساقين
الوقوف طويلا
تقوس القدم
حياة خاملة
التشخيص
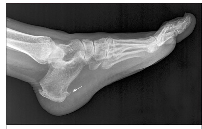
يشخص من خلال الفحص السريري ونادرا ما يحتاج إلى التصوير الإشعاعي.
أحيانا قد يكون السبب مسمار كعب القدم كما يظهر في الأشعة المرفقة.
العلاجات
بداية بتغيير نمط الحركة والوقوف، والمساج بالثلج، وأدوية مسكنات الألم مثل أومول أو باندول أو أولفين أو بروفين وغيرها.
1/
تمارين شد القدم
2/
تمارين تقوية اللفافة الاخمصية للقدم
3/
العلاج بالجبائر
4/
العلاج بالشريط اللاصق
5/
العلاج بالموجات الصادمة
6/
العلاج بحقن الكورتيزون
7/
العلاج بالجراحة
8/
لبس حذاء لين (slippers) عند المشي على السيراميك.

جاري تحميل الاقتراحات...