د. عبدالمجيد الفاخري (دكتور شبكية)
د. عبدالمجيد الفاخري (دكتور شبكية)

@AlFakhriA

10 تغريدة 6 قراءة Feb 09, 2023
الحساسية الموسمية للعيون
اسبابها وعلاجها، ومتى تستدعي زيارة طبيب ؟
@ruhalaa
#صوت_الطبيب
يوجد عدة انواع للحساسية بشكل عام والنوع الرابع من الحساسية هو المسؤول عن التحسس من العوامل الخارجية، وله اربع اشكال واللي يعاني من وحده منها معرض اكثر للباقيات
- حساسية الصدر (ربو)
- حساسية الجلد (اكزيما)
- حساسية الانف
- حساسية العين
كيفية المرض؟
الحساسية بشكل عام هي ردة فعل من الجهاز المناعي للانسان لاجزاء او مركبات المفترض انها ماتسبب ردة فعل
مثل بعض الجزيئات المتطايرة في الجو من الاشجار او المصاحبة للاتربة (العج)، يحفز الجهاز المناعي (للاشخاص اللي عندهم حساسية) بشكل اكبر من المفترض .. يتبع
ومع تغيّر المواسم او موجات الغبار، تكثر الجزيئات المحفّزة للاجهزة المناعية (عند الاشخاص المعرّضين للحساسية وراثياً) وتظهر معهم الاعراض
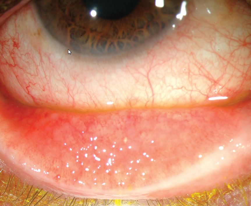
ماهي حساسية العيون؟
حساسية العيون وتسمى (التهاب ملتحمة العين التحسسي) تعتبر من اكثر امراض العيون شيوعاً ومع تغيّر المواسم او موجات الغبار، تكثر الجزيئات المحفّزة للمناعة
ماهي اعراض حساسية العين؟
احمرار متوسط الشدة في بياض العين (العين الوردية، او الحمراء) مع حكة وغزارة في الدموع، وانتفاخ الجفون من الداخل او الخارج بالعادة بدون الم
كيفية التشخيص؟
- حكة في العيون مع دموع في مواسم العج او تغيّر الموسم
- انتفاخ في الجفون بدون الم
-دموع غزيرة
- قد يصاحبها حساسية الجيوب الانفية او الربو نوع اخر من الحساسية
في الغالب الشخص المصاب بالحساسية يكون قادر على تمييزها لانها تتكرر بشكل موسمي
علاج حساسية العين؟
١. تجنّب المسبب إن امكن (مثل حيوان اليف في المنزل)
٢. قطرات ترطيب العين بدون مواد حافظة (لتخفيف اعراض الحكة)
٣. قطرات مضادة للحساسية (anti histamine) ويمكن اخذها بدون استشارة طبيب (over the counter medication)
(يتبع)
* في حال استمرار الاعراض او عدم الاستجابة للعلاج، او في حال وجود تغيّر في حدة الرؤية او الم في العين فيجب زيارة طبيب عيون بشكل مستعجل
ودمتم سالمين 💐
* لكل من سأل عن قطرات مضادات الحساسية *
هذي بعض القطرات ويوجد غيرها، والمهم الحذر من قطرات (المبيضة للعين) لانها خطرة
(يوجد انواع وشركات اخرى المهم المركّب)

جاري تحميل الاقتراحات...