د. عبدالمجيد الفاخري (دكتور شبكية)
د. عبدالمجيد الفاخري (دكتور شبكية)

@AlFakhriA

5 تغريدة 3 قراءة Feb 09, 2023
اهم ٤ مسببات للذباب الطائر وعلاجها
#ثريد سريع
#صوت_الطبيب
@ruhalaa
١. انفصال السائل الزجاجي / تغيرات السائل الزجاجي (تقريبا ٧٩٪ من الحالات)
العلاج: فحص الشبكية، اذا كان سليم اهمالها والتكيّف معها
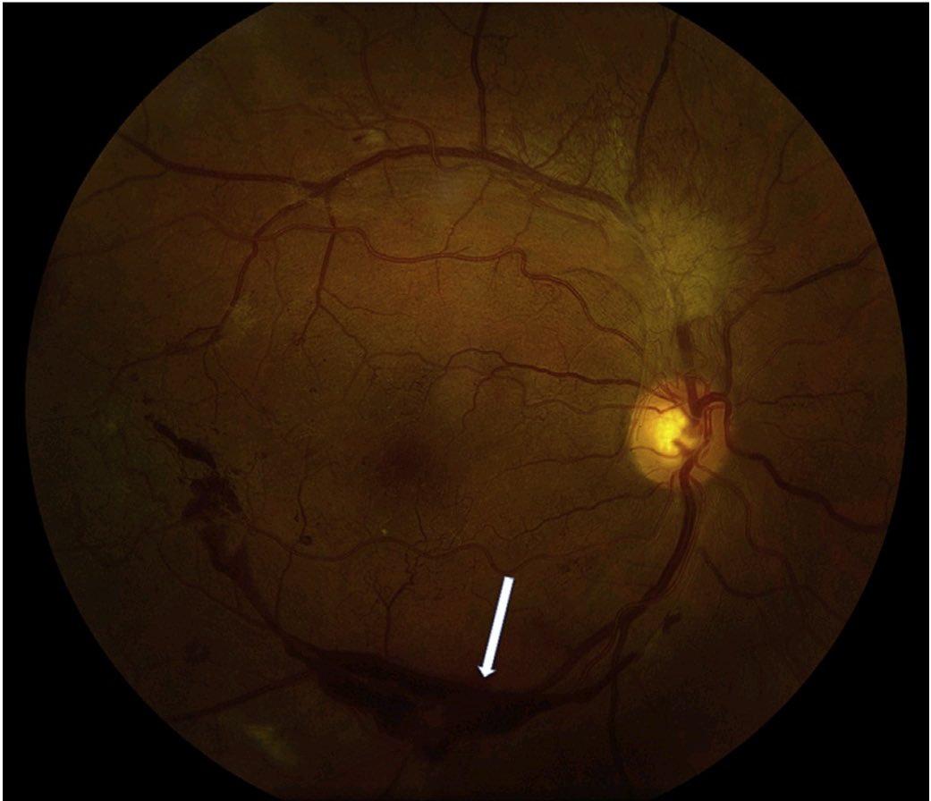
٢. ثقوب الشبكية (تصل الى ١٤٪ من الحالات)
العلاج: ليزر وقائي للشبكية لسد الثقب
٣. نزيف السائل الزجاجي
العلاج: حسب المسبب وقد يشمل
- مراقبة قريبة
- ليزر للشبكية
- حقن للشبكية
- جراحة شبكية
٤. انفصال الشبكية
العلاج: غالب الحالات تعالج جراحياً

جاري تحميل الاقتراحات...