Dr Deepak Krishnamurthy
Dr Deepak Krishnamurthy

@DrDeepakKrishn1

5 تغريدة 5 قراءة Jan 28, 2022
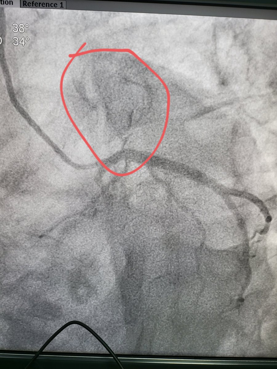
Why you shouldn't smoke? Chest pain since previous night
ECG - Acute MI #heartattack
Echo - heart pumping EF 25%
Angio - LAD 100% blocked
Stented but not out of woods
Age ?
28y
Smoking and heart disease
Why should you quit smoking? #hearthealth
Smoking is bad. Have no doubts about it. Quit. ASAP.

جاري تحميل الاقتراحات...