مشعل سلطان
مشعل سلطان

@DrMeshalSultan

12 تغريدة 4 قراءة Sep 29, 2021
الأطفال الذين لديهم متلازمة داون
Down Syndrome
هل بالإمكان أن يحصل لديهم اضطراب الاكتئاب

🧵
1/12
🔸تَبَيّن في الدراسات بأن قرابة ٢٠ إلى ٤٠٪ من الذين لديهم متلازمة داون يحصل لديهم اضطراب نفسي أو سلوكي
🧵
2/12
🔸نسبة اضطراب الاكتئاب تصل في بعض الدراسات إلى ١٠٪ لدى الأشخاص الذين لديهم متلازمة داون
🧵
3/12
عوامل عدة قد تُسهم في قابلية الأشخاص الذين لديهم متلازمة داون لاضطراب الاكتئاب، منها:
1️⃣ الصعوبات المصاحبة للتأخر الذهني
🧵
4/12
2️⃣ الضغوط المصاحبة للشعور بالاختلاف عن الآخرين
🧵
5/12
3️⃣ العُزْلة الاجتماعية
🧵
6/12
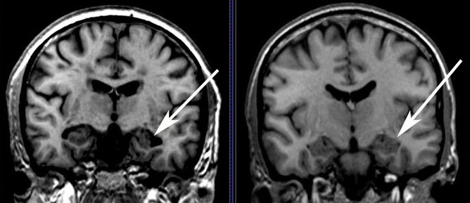
4️⃣ صِغَر حجم بعض أجزاء الدماغ، على سبيل المثال
smaller hippocampal volume
🧵
7/12
5️⃣ اختلال في وظائف بعض النواقل العصبية، على سبيل المثال
reductions in the level of serotonin in the frontal cortex
🧵
8/12
6️⃣ تحديات مصاحبة لصعوبات اللُّغة وضَعْف الذاكرة
🧵
9/12
7️⃣ أثر الاضطرابات العضوية المصاحبة، مثل هبوط في وظائف الغدة الدرقية أو اضطرابات التنفس أثناء النوم
associated hypothyroidism or obstructive sleep apnea
🧵
10/12
📝 معلومات إضافية عن اضطراب الاكتئاب لدى الأشخاص الذين لديهم متلازمة داون في هذه الورقة البحثية التي تشرفت بكتابتها مع أ. سِدرا شَدان و د. ساره المرزوقي
@MBRUniversity @JalilaChildrens
👈🏻ncbi.nlm.nih.gov
🧵
11/12
#بالمختصر_المفيد
🔸عوامل بيولوجية ونفسية واجتماعية قد تزيد من احتمال حصول اضطراب الاكتئاب لدى الأشخاص الذين لديهم متلازمة داون
🧵
12/12

جاري تحميل الاقتراحات...