📍هل تعاني من ألم في الخاصرة او الجنب ..
الاسباب كثيرة و منها اكياس الكلية
بتكلم عنها في سرد بسيط.. وهي تعتبر مرض شائع بين الرجال والنساء
المعلومات المذكورة للتثقيف ولا تغنيك عن زيارة الطبيب
١/٥
#صحتك_تهمنا
@ruhalaa
@6abeb_
الاسباب كثيرة و منها اكياس الكلية
بتكلم عنها في سرد بسيط.. وهي تعتبر مرض شائع بين الرجال والنساء
المعلومات المذكورة للتثقيف ولا تغنيك عن زيارة الطبيب
١/٥
#صحتك_تهمنا
@ruhalaa
@6abeb_
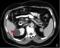
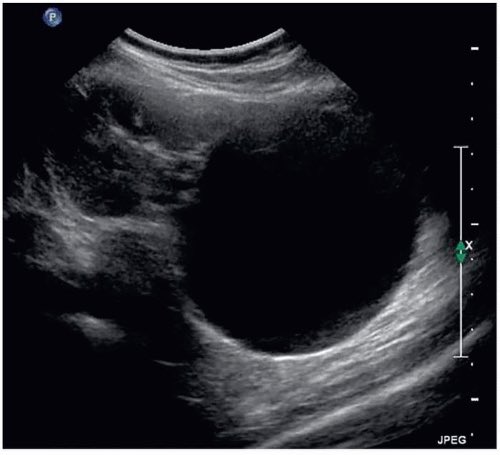
الاسباب :
غير معروفة ، الاصابة بارتفاع ضغط الدم ، قصور وظائف الكلى ، التقدم بالسن ، وفي حالات محدودة تكون باسباب وراثية او التهابات فطرية.
الاعراض : في الغالب بدون اعراض ، الم متقطع بالخاصرة او الجنب ، وفي حالات متقدمة ونادرة قد يكون دم بالبول
#صحتك
٢/٥
يتبع..
غير معروفة ، الاصابة بارتفاع ضغط الدم ، قصور وظائف الكلى ، التقدم بالسن ، وفي حالات محدودة تكون باسباب وراثية او التهابات فطرية.
الاعراض : في الغالب بدون اعراض ، الم متقطع بالخاصرة او الجنب ، وفي حالات متقدمة ونادرة قد يكون دم بالبول
#صحتك
٢/٥
يتبع..
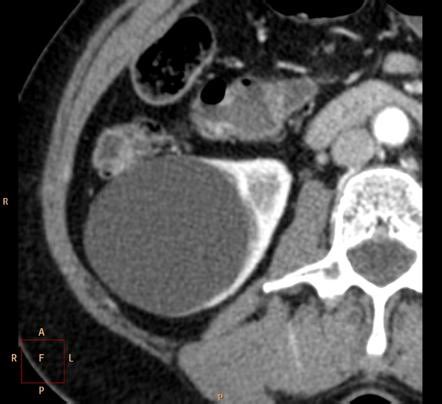
الخيار العلاجي يعتمد على نوع الكيس ودرجته ، حجم الكيس ، صحة المريض العامة ، الاعراض ، سبب الكيس اذا كان التهاب او غيره
فممكن كيس من نفس الدرجة في شخصين مختلفين يعالج بطريقتين مختلفة بناء على العوامل السابقة.
٥/٥
فممكن كيس من نفس الدرجة في شخصين مختلفين يعالج بطريقتين مختلفة بناء على العوامل السابقة.
٥/٥
جاري تحميل الاقتراحات...