ثامر الشهراني | Thamer
ثامر الشهراني | Thamer

@ithamer_7

20 تغريدة 407 قراءة Feb 13, 2021
ثريد: 📝
تحت هالتغريدة سأتحدث عن إصابة العضلة الخلفية للفخذ بكل تفاصيلها ، والتي تعتبر أحد أكثر الإصابات الرياضية حدوثاً.
هي عبارة عن ٣ عضلات ترتبط ما بين الحوض والركبة من الجهه الخلفية للفخذ لها عدة وظائف أهمها (ثني الركبة) للخلف ، وحركة الفخذ للخلف.
للإصابة نوعين:
النوع الأول: تمزق في العضلة نتيجة للجري بسرعة عالية (سبرنت). 🏃🏻‍♂️
وهو النوع الأكثر حدوثاً كما أن مدة التأهيل غالباً أقل من النوع الثاني وتحدث الإصابة غالباً في عضلة Biceps Femoris .
وينتشر هالنوع في الرياضات التي تتطلب جري عالي وسبرنت مثل: (كرة القدم ، العدائين في السباقات وغيرها).
مثال: إصابة هنري بعد سبرنت عالي 👇🏼
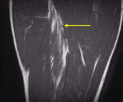
النوع الثاني: تمزق في العضلة الخلفية للفخذ بعد إطالة عالية ومفاجئة للعضلة.
ويحدث غالباً في منطقة الوتر مع التقاءه بعظمة الحوض من الأعلى.
- الوتر هي المنطقة البيضاء بالصورة.
ويكثر في الرياضات التي تتطلب حركات عالية مثل: ( رياضة الجمباز ، الهوكي ، رقص الباليه ، وأيضاً كرة القدم ).
ولو حدثت لك الإصابة مع ( ركل الكرة ، او فتح الحوض ) غالباً التأهيل والعلاج يأخذ وقت أطول من تأهيل العضلة لو أصيبت أثناء الجري.
عوامل قد تزيد من نسبة إصابتك:
- إصابة سابقة في العضلة.
- نقص في مرونة العضلة.
- زيادة في اجهاد العضلات
- ضعف وعدم ثبات عضلات الجذع
- عدم توازن في العضلات
- إصابة سابقة في عضلة البطة
- إصابة سابقة في الركبة
- شد في عضلات الحوض الامامية
- وغيرها
درجات الإصابة:
- الدرجة الأولى: (خفيفة)
تمزق بسيط في بعض ألياف العضلة ، نادراً ما تؤثر على قوة العضلة ، ويستطيع المصاب المشي وثني الركبة بشكل طبيعي.
*الأعراض تختلف من شخص لآخر*
- الدرجة الثانية: (متوسطة)
تمزق جزئي في ألياف العضلة بما يقارب النصف ، وأعراضها يحدث ألم مباشرة بعد التمزق ، سوائل حول منطقة الاصابة ، وقد تفقد جزء من وظيفتها ، والإحساس بالألم مع المشي في الفترة الأولى.
*الأعراض تختلف من شخص لآخر*
- الدرجة الثالثة: (شديدة)
قطع في أغلب ألياف العضلة أو قطع كامل ، أعراضها ألم شديد وسوائل في منطقة القطع ، فقدان لوظيفة العضلة وتضعف بشكل كبير.
*الأعراض تختلف من شخص لآخر*
التشخيص:
- الفحص السريري (مهم جداً قبل الأشعة)
- الأشعة (الرنين المغناطيسي ، الأشعة الصوتية)
الفحص السريري يشمل:
- المقارنة بين العضلة المصابة والسليمة.
- الضغط على العضلة
- المدى الحركي للعضلة
- مقاومة العضلة
- اختبار مرونة الحوض
العلاج: (الفترة الأولى بعد الإصابة)
١- نستخدم الطريقة التقليدية المعرفة بـ:
- الراحة من الرياضة
- الثلج ١٠-١٥ د لكل ٤ ساعات يومياً إلى اختفاء الأعراض الأولية.
- الرباط الضاغط من قبل (المعالج)
٢- تنشيط العضلة:
عن طريق تطبيق تمارين للعضلة بدون ألم والهدف منها عدم ضعف العضلة والعضلات المحيطة للمنطقة للاستشفاء بشكل أفضل وأسرع.
٣- تمارين الإطالة:
للحد من حدوث شدود عضلية قد تسبب قُصر أو حد في الحركة.
٤- العلاج اليدوي:
عن طريق الضغط وتطبيق بعض الطرق باليد.
٥- تقوية العضلة:
تمارين التقوية للعضلة الخلفية لابد تشمل عدة أمور لتحميل العضلة والوتر وللتأهيل الصحيح:
- تقوية سريعة
- تقوية بأوزان عالية
- تقوية على جهه واحدة
- تقوية بعكس اتجاه الحركة
- وتقويات عامة لبعض العضلات
٦- تمارين حركية وتمارين للعودة للعب
٧- اختبارات العودة للعب
- ممنوع ترجع للرياضة بدون اجتياز هذه الاختبارات والتي تكون في مصلحتك وتعطي مؤشر إذا تعالجت بشكل كامل أو لا.
متى قد يحتاج المصاب لإجراء عملية؟
- قطع كامل في العضلة وفقدان وظيفتها.
- قطع كامل في وتر العضلة.
- لو تأثرت المنطقة المحيطة بالعضلة مثل: الاعصاب.
- تكرار الاصابة وتليف العضلة.
- التهاب مزمن في وتر العضلة.
الوقاية:
- الاستشفاء بعد المباريات
- الاطالة ومرونة العضلة
- تقوية العضلة بكل أنواع التمارين
دراسة طبية: تمرين نورديك للعضلات الخلفية الفخذ مع برنامج +11 FIFA للوقاية من الاصابات ، يساعد في التقليل من حدوث الاصابة في العضلات الخلفية بنسبة ٦٠٪.
أمثلة على الإصابة بالعضلة الخلفية:
دجانيني لاعب نادي #الأهلي في مباراتهم ضد #الاتحاد وانطلاقته ( سبرنت ) ومحاولة تثبيت الكرة وحدوث الإصابة بعدها.
أبعدته ما يقارب 8 أسابيع.
نهاية التقرير:
حاولت اختصر بشكل كبير عالمعلومات الرئيسية ، هناك تفاصيل أخرى لم أذكرها ، وهالمعلومات لا تغني عن الفحص والاستشارة الطبية.
ختاماً: تمزق العضلة في آخر سباق بمسيرة العداء العالمي بولت بعد (سبرنت) عالي.

جاري تحميل الاقتراحات...