سأتحدث هذا اليوم عن اصابة و قطع #الرباط_الصليبي_الخلفي ، الأعراض، التشخيص، العلاج، و الوقاية
#عسير #جيزان #أبها #نجران #بيشة #القنفذة #محايل #رجال_ألمع #جازان #مستشفى_عسير_المركزي #مستشفى_أحد_رفيدة #مستشفى_أبها_الخاص #المستشفى_السعودي_الألماني #مستشفى_الحياة_الوطني #منظار_الركبة
#عسير #جيزان #أبها #نجران #بيشة #القنفذة #محايل #رجال_ألمع #جازان #مستشفى_عسير_المركزي #مستشفى_أحد_رفيدة #مستشفى_أبها_الخاص #المستشفى_السعودي_الألماني #مستشفى_الحياة_الوطني #منظار_الركبة
#الرباط_الصليبي_الخلفي هو أحد الاربطة الأربعة التى تربط عظمتي القصبة و الفخذ و وظيفته الأساسية هى منع حركة عظمة القصبة للخلف بالنسبة لعظمة الفخذ. و يشكل مع #الرباط_الصليبي_الامامي شكل حرف "XX" فى منتصف الركبة.
#الاصابات_الرياضية #منظار_الركبة #الغضروف_الهلالي
#الاصابات_الرياضية #منظار_الركبة #الغضروف_الهلالي
قطع #الرباط_الصليبي_الخلفي يعتبر من الإصابات الغير شائعة و تحدث عادة نتيجة حدوث إصابة شديدة للجزء الأمامي من عظمة القصبة #عظمة_الساق مثل السقوط بقوة على الركبة او إرتطام ركبة سائق السيارة بلوحة السيارة أثناء حوادث التصادم.
#الإصابات_الرياضية #جراحة_العظام #المناظير_العظمية
#الإصابات_الرياضية #جراحة_العظام #المناظير_العظمية
يتسبب #قطع_الرباط_الصليبي_الخلفي فى أعراض و إعاقة أقل من قطع الرباط الصليبي الامامي. و اذا لم يكن هناك إصابات أخرى مصاحبة فقد لا يلاحظ المصاب ان هناك مشكلة بالركبة.
#الأعراض:
- ألم شديد
- #تورم_الركبة
- عدم ثبات (خيانة) الركبة
- عدم القدرة على ثني أو فرد الركبة بالكامل
#الأعراض:
- ألم شديد
- #تورم_الركبة
- عدم ثبات (خيانة) الركبة
- عدم القدرة على ثني أو فرد الركبة بالكامل
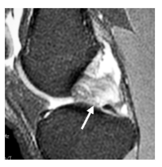
صورة #الرنين_المغناطيسي لمريض لديه #قطع_الرباط_الصليبي_الخلفي
#علاج_قطع_الرباط_المتصالب_الخلفي
عند حدوث الإصابة يتم وضع كمادات ثلج و رباط ضاغط على ركبة المصاب لتقليل التورم و الالم . و ينصح المصاب بالراحة و استخدام عكازات للحركة مع رفع الركبة لتقليل التورم في أول اسبوعين بعد #الإصابة، و من ثم يبدأ #العلاج_الطبيعي
#اصابات_الملاعب #عسير
عند حدوث الإصابة يتم وضع كمادات ثلج و رباط ضاغط على ركبة المصاب لتقليل التورم و الالم . و ينصح المصاب بالراحة و استخدام عكازات للحركة مع رفع الركبة لتقليل التورم في أول اسبوعين بعد #الإصابة، و من ثم يبدأ #العلاج_الطبيعي
#اصابات_الملاعب #عسير
#علاج_قطع_الرباط_الصليبي_الخلفي
يتم علاج هذه الإصابة عادة بدون جراحة خاصة إذا كان القطع جزئي (الدرجة١ أو ٢)أو كان هناك خشونة بمفصل الركبة و فى هذه الحالة يقوم المريض بتقوية العضلات المحيطة بالركبة لتعويض عدم الثبات الناتج عن قطع الرباط تحت إشراف طبيبه و #أخصائي_العلاج_الطبيعي
يتم علاج هذه الإصابة عادة بدون جراحة خاصة إذا كان القطع جزئي (الدرجة١ أو ٢)أو كان هناك خشونة بمفصل الركبة و فى هذه الحالة يقوم المريض بتقوية العضلات المحيطة بالركبة لتعويض عدم الثبات الناتج عن قطع الرباط تحت إشراف طبيبه و #أخصائي_العلاج_الطبيعي
و قد يتم علاج القطع عن طريق الجراحة #منظار_الركبة بعمل ترقيع للرباط الصليبي الخلفي إذا كان القطع كاملا و كان هناك أحد العوامل التالية:
-قطع فى أحد الأربطة الأربعة للركبة
-إذا كان هناك قطع بالغضروف يحتاج للجراحة
-المريض يريد العودة لممارسة الرياضة
-كسر #عظمة_القصبة
-عدم الثبات
-قطع فى أحد الأربطة الأربعة للركبة
-إذا كان هناك قطع بالغضروف يحتاج للجراحة
-المريض يريد العودة لممارسة الرياضة
-كسر #عظمة_القصبة
-عدم الثبات
علاج #قطع_الرباط_الصليبي_الخلفي
#العلاج_الطبيعي و #التأهيل بعد عملية إصلاح #الرباط_الصليبي_الخلفي أمر مهم جدا لنجاح العملية و ذلك بإتباع البرنامج التأهيلي المتفق بين طبيبك و بين أخصائي العلاج الطبيعي
#المناظير #اصابات_الملاعب #الإصابات_الرياضية #احتكاك_الركبة #المفاصل_الصناعية
#العلاج_الطبيعي و #التأهيل بعد عملية إصلاح #الرباط_الصليبي_الخلفي أمر مهم جدا لنجاح العملية و ذلك بإتباع البرنامج التأهيلي المتفق بين طبيبك و بين أخصائي العلاج الطبيعي
#المناظير #اصابات_الملاعب #الإصابات_الرياضية #احتكاك_الركبة #المفاصل_الصناعية
تعتبر عملية اصلاح و ترميم #الرباط_الصليبي_الخلفي بواسطة #المنظار من العمليات المتقدمة و المتطورة حديثا في مجال #الإصابات_الرياضية
@Rattibha نرجو ترتيبها و شكرا
جاري تحميل الاقتراحات...