كابوس الأسنان والمشكلة التي ليس لها حل !!
كيف يتكون الجير والترسبات؟
ما هي اسباب الجير؟
كيف تتخلص منه؟
ماذا يحدث اذا تركته؟
افضل حل للوقاية منه؟
لايك للفايدة واحفظ التغريدة ثم تابع معي… x.com
كيف يتكون الجير والترسبات؟
ما هي اسباب الجير؟
كيف تتخلص منه؟
ماذا يحدث اذا تركته؟
افضل حل للوقاية منه؟
لايك للفايدة واحفظ التغريدة ثم تابع معي… x.com
اولا ايش هو هو جير الأسنان
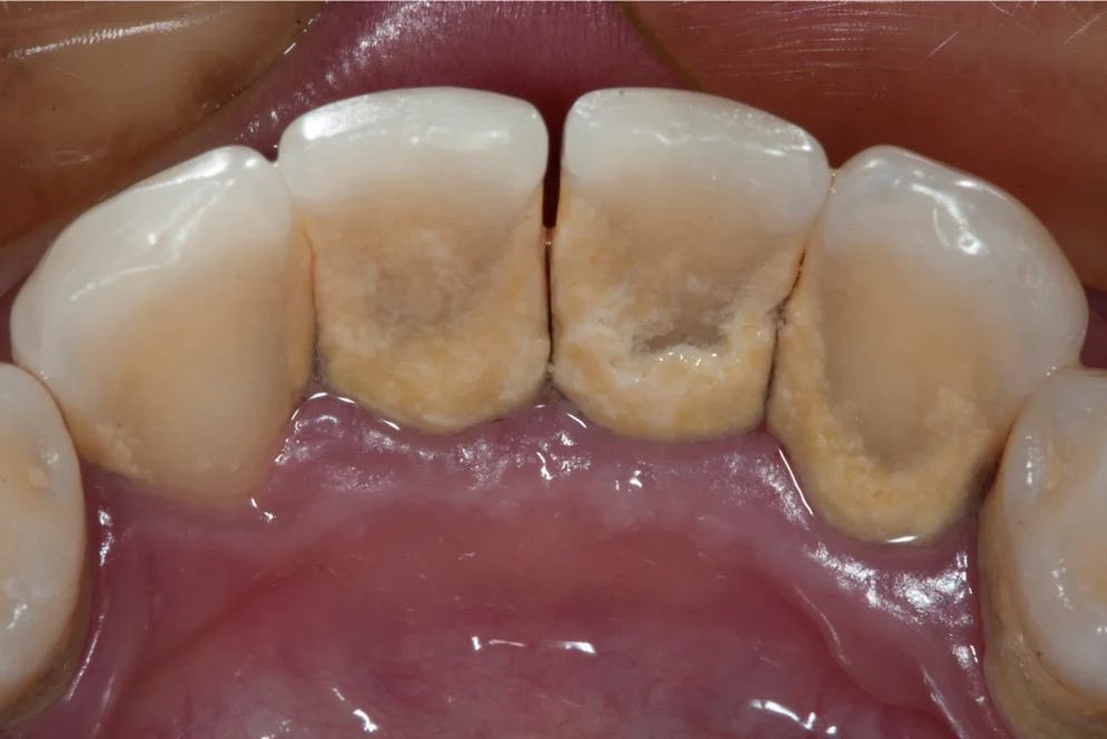
جير الأسنان هو طبقة صلبة خشنة تتكون على الأسنان نتيجة تراكم البلاك والمعادن، تترسب هذه الطبقة على الجزء الظاهر من السن أو أسفل خط اللثة، وتكون صفراء اللون أو بنية. وتعد أكثر المناطق شيوعًا لتراكم الجير في الأسنان هي السطح الخلفي للأسنان أو بينها.
ونظرًا لأن جير الأسنان شديد الصلابة فلا يمكن للشخص إزالته بتفريش الأسنان، بل لا بد من إزالته عند الطبيب بأدوات خاصة، وقد يؤدي تركه دون علاج إلى التأثير سلبًا على صحة اللثة والأسنان.
جير الأسنان هو طبقة صلبة خشنة تتكون على الأسنان نتيجة تراكم البلاك والمعادن، تترسب هذه الطبقة على الجزء الظاهر من السن أو أسفل خط اللثة، وتكون صفراء اللون أو بنية. وتعد أكثر المناطق شيوعًا لتراكم الجير في الأسنان هي السطح الخلفي للأسنان أو بينها.
ونظرًا لأن جير الأسنان شديد الصلابة فلا يمكن للشخص إزالته بتفريش الأسنان، بل لا بد من إزالته عند الطبيب بأدوات خاصة، وقد يؤدي تركه دون علاج إلى التأثير سلبًا على صحة اللثة والأسنان.
مكوناته؟؟ مما يتكون جير الأسنان؟
يتكون جير الأسنان من مواد مترسبة وكائنات حية دقيقة، ويوجد اختلاف بسيط في تركيب الجير من شخص لآخر بناء على نظامه الغذائي، وعاداته، والبيئة التي يعيش فيها.
تشمل مكونات جير الأسنان بشكل عام ما يلي:
بقايا الطعام.
معادن تتسرب من اللعاب على الأسنان، مثل فوسفات الكالسيوم.
كائنات حية دقيقة، مثل البكتيريا والخمائر
يتكون جير الأسنان من مواد مترسبة وكائنات حية دقيقة، ويوجد اختلاف بسيط في تركيب الجير من شخص لآخر بناء على نظامه الغذائي، وعاداته، والبيئة التي يعيش فيها.
تشمل مكونات جير الأسنان بشكل عام ما يلي:
بقايا الطعام.
معادن تتسرب من اللعاب على الأسنان، مثل فوسفات الكالسيوم.
كائنات حية دقيقة، مثل البكتيريا والخمائر
ايش أسباب تكون جير الأسنان؟؟؟
يتكون الجير على الأسنان نتيجة عدم العناية بنظافة الفم فيتراكم البلاك على الأسنان وهو طبقة رقيقة شفافة تتكون من مزيج من بقايا الأطعمة السكرية والنشوية والبكتيريا التي تعيش في الفم، ومع مرور الوقت تتصلب طبقات البلاك نتيجة الترسبات المعدنية التي تتخللها من اللعاب فتتحول إلى جير الاسنان
يعني بشكل ادق..
عدم تفريش الأسنان بالفرشاة واستعمال الخيط بصفة منتظمة.
ازدحام الأسنان وتراكبها ما يصعب عملية تنظيفها جيدًا.
عدم الالتزام بمراجعة طبيب الأسنان بصفة دورية.
يتكون الجير على الأسنان نتيجة عدم العناية بنظافة الفم فيتراكم البلاك على الأسنان وهو طبقة رقيقة شفافة تتكون من مزيج من بقايا الأطعمة السكرية والنشوية والبكتيريا التي تعيش في الفم، ومع مرور الوقت تتصلب طبقات البلاك نتيجة الترسبات المعدنية التي تتخللها من اللعاب فتتحول إلى جير الاسنان
يعني بشكل ادق..
عدم تفريش الأسنان بالفرشاة واستعمال الخيط بصفة منتظمة.
ازدحام الأسنان وتراكبها ما يصعب عملية تنظيفها جيدًا.
عدم الالتزام بمراجعة طبيب الأسنان بصفة دورية.
اعراض جير الأسنان
تشمل أعراض جير الأسنان ظهور ترسبات صلبة وخشنة على الأسنان خاصة بالقرب من اللثة أو بين الأسنان،
قد تظهر هذه الترسبات باللون الأصفر أو البني، حيث أن الجير به مسامات تجعله يتلون بفعل المأكولات والمشروبات التي يتناولها الشخص.
تتضمن أعراض ومشاكل جير الأسنان أيضًا ما يلي:
رائحة فم كريهة.
انتفاخ اللثة وسهولة نزفها.
حساسية الأسنان.
تشمل أعراض جير الأسنان ظهور ترسبات صلبة وخشنة على الأسنان خاصة بالقرب من اللثة أو بين الأسنان،
قد تظهر هذه الترسبات باللون الأصفر أو البني، حيث أن الجير به مسامات تجعله يتلون بفعل المأكولات والمشروبات التي يتناولها الشخص.
تتضمن أعراض ومشاكل جير الأسنان أيضًا ما يلي:
رائحة فم كريهة.
انتفاخ اللثة وسهولة نزفها.
حساسية الأسنان.
مضاعفات جير الأسنان🚨🚨
لا تقتصر أضرار جير الأسنان على التأثير على المظهر الجمالي للفم، ولكن تمتد لتشمل مضاعفات تصيب الأسنان واللثة وربما الصحة العامة
ومنها:
تسوس الأسنان🚨
يساهم تراكم الجير على الأسنان في تسوسها نتيجة صعوبة القدرة على تفريش الأسنان جيدًا واستعمال الخيط بسهولة.
أمراض اللثة🚨
يؤدي الجير إلى الإصابة بأمراض اللثة، ويعرف مرض اللثة في مراحله المبكرة بالتهاب اللثة وتشمل أعراضه ما يلي
احمرار اللثة وتورمها.🚨
نزف اللثة عند تفريش الأسنان أو استعمال الخيط.
يمكن علاج مرض اللثة في هذه المرحلة بالتفريش الجيد للأسنان واستعمال الخيط وغسول الفم، وعمل تنظيف عميق عند الطبيب.
لا تقتصر أضرار جير الأسنان على التأثير على المظهر الجمالي للفم، ولكن تمتد لتشمل مضاعفات تصيب الأسنان واللثة وربما الصحة العامة
ومنها:
تسوس الأسنان🚨
يساهم تراكم الجير على الأسنان في تسوسها نتيجة صعوبة القدرة على تفريش الأسنان جيدًا واستعمال الخيط بسهولة.
أمراض اللثة🚨
يؤدي الجير إلى الإصابة بأمراض اللثة، ويعرف مرض اللثة في مراحله المبكرة بالتهاب اللثة وتشمل أعراضه ما يلي
احمرار اللثة وتورمها.🚨
نزف اللثة عند تفريش الأسنان أو استعمال الخيط.
يمكن علاج مرض اللثة في هذه المرحلة بالتفريش الجيد للأسنان واستعمال الخيط وغسول الفم، وعمل تنظيف عميق عند الطبيب.
جاري تحميل الاقتراحات...