كابوس الأسنان والمشكلة التي ليس لها حل !!
كيف يتكون الجير والترسبات؟
ما هي اسباب الجير؟
كيف تتخلص منه؟
ماذا يحدث اذا تركته؟
افضل حل للوقاية منه؟
لايك للفايدة واحفظ التغريدة ثم تابع معي… x.com
كيف يتكون الجير والترسبات؟
ما هي اسباب الجير؟
كيف تتخلص منه؟
ماذا يحدث اذا تركته؟
افضل حل للوقاية منه؟
لايك للفايدة واحفظ التغريدة ثم تابع معي… x.com
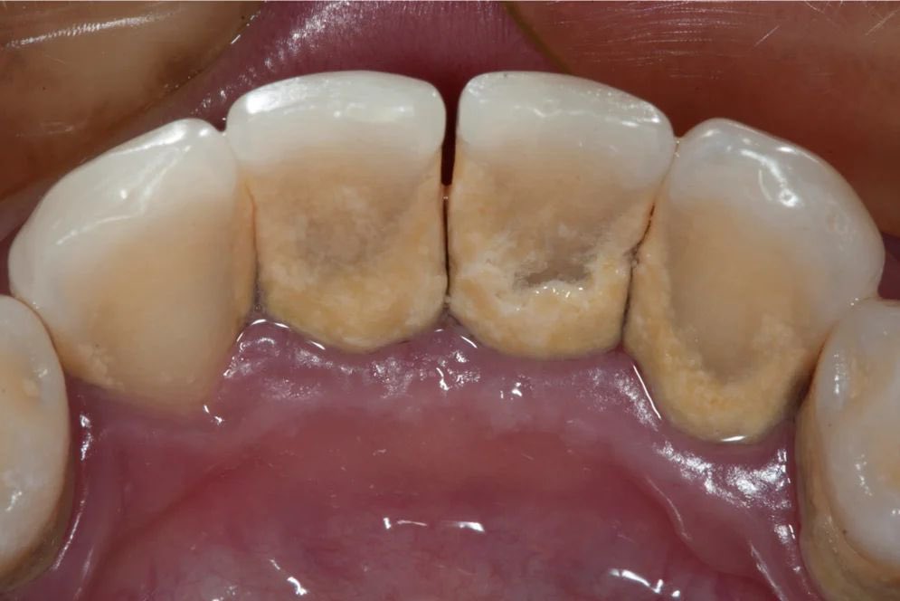
اولا ايش هو هو جير الأسنان
جير الأسنان هو طبقة صلبة خشنة تتكون على الأسنان نتيجة تراكم البلاك والمعادن، تترسب هذه الطبقة على الجزء الظاهر من السن أو أسفل خط اللثة، وتكون صفراء اللون أو بنية. وتعد أكثر المناطق شيوعًا لتراكم الجير في الأسنان هي السطح الخلفي للأسنان أو بينها.
ونظرًا لأن جير الأسنان شديد الصلابة فلا يمكن للشخص إزالته بتفريش الأسنان، بل لا بد من إزالته عند الطبيب بأدوات خاصة، وقد يؤدي تركه دون علاج إلى التأثير سلبًا على صحة اللثة والأسنان.
جير الأسنان هو طبقة صلبة خشنة تتكون على الأسنان نتيجة تراكم البلاك والمعادن، تترسب هذه الطبقة على الجزء الظاهر من السن أو أسفل خط اللثة، وتكون صفراء اللون أو بنية. وتعد أكثر المناطق شيوعًا لتراكم الجير في الأسنان هي السطح الخلفي للأسنان أو بينها.
ونظرًا لأن جير الأسنان شديد الصلابة فلا يمكن للشخص إزالته بتفريش الأسنان، بل لا بد من إزالته عند الطبيب بأدوات خاصة، وقد يؤدي تركه دون علاج إلى التأثير سلبًا على صحة اللثة والأسنان.
مكوناته؟؟ مما يتكون جير الأسنان؟
يتكون جير الأسنان من مواد مترسبة وكائنات حية دقيقة، ويوجد اختلاف بسيط في تركيب الجير من شخص لآخر بناء على نظامه الغذائي، وعاداته، والبيئة التي يعيش فيها.
تشمل مكونات جير الأسنان بشكل عام ما يلي:
بقايا الطعام.
معادن تتسرب من اللعاب على الأسنان، مثل فوسفات الكالسيوم.
كائنات حية دقيقة، مثل البكتيريا والخمائر.
يتكون جير الأسنان من مواد مترسبة وكائنات حية دقيقة، ويوجد اختلاف بسيط في تركيب الجير من شخص لآخر بناء على نظامه الغذائي، وعاداته، والبيئة التي يعيش فيها.
تشمل مكونات جير الأسنان بشكل عام ما يلي:
بقايا الطعام.
معادن تتسرب من اللعاب على الأسنان، مثل فوسفات الكالسيوم.
كائنات حية دقيقة، مثل البكتيريا والخمائر.
ايش أسباب تكون جير الأسنان؟؟؟
يتكون الجير على الأسنان نتيجة عدم العناية بنظافة الفم فيتراكم البلاك على الأسنان وهو طبقة رقيقة شفافة تتكون من مزيج من بقايا الأطعمة السكرية والنشوية والبكتيريا التي تعيش في الفم، ومع مرور الوقت تتصلب طبقات البلاك نتيجة الترسبات المعدنية التي تتخللها من اللعاب فتتحول إلى جير الاسنان
يعني بشكل ادق..
عدم تفريش الأسنان بالفرشاة واستعمال الخيط بصفة منتظمة.
ازدحام الأسنان وتراكبها ما يصعب عملية تنظيفها جيدًا.
عدم الالتزام بمراجعة طبيب الأسنان بصفة دورية.
يتكون الجير على الأسنان نتيجة عدم العناية بنظافة الفم فيتراكم البلاك على الأسنان وهو طبقة رقيقة شفافة تتكون من مزيج من بقايا الأطعمة السكرية والنشوية والبكتيريا التي تعيش في الفم، ومع مرور الوقت تتصلب طبقات البلاك نتيجة الترسبات المعدنية التي تتخللها من اللعاب فتتحول إلى جير الاسنان
يعني بشكل ادق..
عدم تفريش الأسنان بالفرشاة واستعمال الخيط بصفة منتظمة.
ازدحام الأسنان وتراكبها ما يصعب عملية تنظيفها جيدًا.
عدم الالتزام بمراجعة طبيب الأسنان بصفة دورية.
اعراض جير الأسنان
تشمل أعراض جير الأسنان ظهور ترسبات صلبة وخشنة على الأسنان خاصة بالقرب من اللثة أو بين الأسنان،
قد تظهر هذه الترسبات باللون الأصفر أو البني، حيث أن الجير به مسامات تجعله يتلون بفعل المأكولات والمشروبات التي يتناولها الشخص.
تتضمن أعراض ومشاكل جير الأسنان أيضًا ما يلي:
رائحة فم كريهة.
انتفاخ اللثة وسهولة نزفها.
حساسية الأسنان.
تشمل أعراض جير الأسنان ظهور ترسبات صلبة وخشنة على الأسنان خاصة بالقرب من اللثة أو بين الأسنان،
قد تظهر هذه الترسبات باللون الأصفر أو البني، حيث أن الجير به مسامات تجعله يتلون بفعل المأكولات والمشروبات التي يتناولها الشخص.
تتضمن أعراض ومشاكل جير الأسنان أيضًا ما يلي:
رائحة فم كريهة.
انتفاخ اللثة وسهولة نزفها.
حساسية الأسنان.
علاج جير الأسنان🚨
ينطوي علاج جير الأسنان على إزالته بواسطة الطبيب باستخدام أدوات مخصصة، حيث يقوم بتقليح الأسنان وصقلها وكشط الجذور بطريقة احترافية.
تتم عملية إزالة الجير عند الطبيب عن طريق إجراء تنظيف عميق للأسنان، وتشمل ما يلي:
إزالة الجير من على الجزء الظاهر من السن وكذلك تحت خط اللثة.
إزالة الجير من الجيوب العميقة حول الأسنان.
كشط جذور الأسنان وتنعيمها.
ينبغي بالإضافة لذلك الاستمرار في تفريش الأسنان بالفرشاة والمعجون واستخدام الخيط بانتظام، وقد يوصي الطبيب بأنواع معينة من معاجين الأسنان لاستعمالها في تفريش الأسنان.
جدير بالذكر أنه لا يمكن إزالة جير الأسنان بالمنزل فهو مادة صلبة ملتصقة بالأسنان وقد تؤدي محاولة نزعها بطريقة خاطئة إلى إلحاق الضرر بالأسنان دون أن تفلح في إزالتها؛ لذا لابد من تنظيف الأسنان من الجير عند الطبيب.
ينطوي علاج جير الأسنان على إزالته بواسطة الطبيب باستخدام أدوات مخصصة، حيث يقوم بتقليح الأسنان وصقلها وكشط الجذور بطريقة احترافية.
تتم عملية إزالة الجير عند الطبيب عن طريق إجراء تنظيف عميق للأسنان، وتشمل ما يلي:
إزالة الجير من على الجزء الظاهر من السن وكذلك تحت خط اللثة.
إزالة الجير من الجيوب العميقة حول الأسنان.
كشط جذور الأسنان وتنعيمها.
ينبغي بالإضافة لذلك الاستمرار في تفريش الأسنان بالفرشاة والمعجون واستخدام الخيط بانتظام، وقد يوصي الطبيب بأنواع معينة من معاجين الأسنان لاستعمالها في تفريش الأسنان.
جدير بالذكر أنه لا يمكن إزالة جير الأسنان بالمنزل فهو مادة صلبة ملتصقة بالأسنان وقد تؤدي محاولة نزعها بطريقة خاطئة إلى إلحاق الضرر بالأسنان دون أن تفلح في إزالتها؛ لذا لابد من تنظيف الأسنان من الجير عند الطبيب.
كم مرة يجب إزالة الجير؟🚨🚨
ينصح بصفة عامة بإجراء فحص للأسنان وتنظيف عميق عند الطبيب كل 6 أشهر، إلا أن بعض الحالات تحتاج إلى تكرار تنظيف جير الأسنان بمعدل أكبر، مثل من يعانون من المشاكل الآتية
أمراض اللثة، ومن لديهم عوامل تزيد من احتمالية الإصابة بها، مثل المدخنين ومرضى السكري.
جفاف الفم.
تناول بعض أنواع الأدوية.
الإصابة بحالات طبية تعوق القدرة على القيام بتفريش الأسنان.
ينصح بصفة عامة بإجراء فحص للأسنان وتنظيف عميق عند الطبيب كل 6 أشهر، إلا أن بعض الحالات تحتاج إلى تكرار تنظيف جير الأسنان بمعدل أكبر، مثل من يعانون من المشاكل الآتية
أمراض اللثة، ومن لديهم عوامل تزيد من احتمالية الإصابة بها، مثل المدخنين ومرضى السكري.
جفاف الفم.
تناول بعض أنواع الأدوية.
الإصابة بحالات طبية تعوق القدرة على القيام بتفريش الأسنان.
كيف يمكن الوقاية من جير الأسنان؟🚨
تعد أهم وسيلة للوقاية من تكون جير الأسنان هي العناية الجيدة بنظافة الفم والأسنان وكذلك الصحة العامة
وتشمل طرق الوقاية من جير الأسنان ما يلي:
تنظيف الأسنان مدة دقيقتين مرتين يوميًا لا سيما قبل النوم باستخدام معجون أسنان يحتوي على الفلورايد وفرشاة أسنان ناعمة مع الحرص على الوصول لكل مكان في الأسنان وفركه جيدًا ويمكن استخدام فرشاة الأسنان الإلكترونية لتمتعها بقدرة أكبر على إزالة البلاك من الفرشاة العادية.
استخدام خيط الأسنان بطريقة صحيحة مرة يوميًا لإزالة بقايا الطعام العالقة بين الأسنان حيث لا تصل فرشاة الأسنان لهذه الأماكن.
استعمال غسول فم يحتوي على الفلورايد بعد تناول الطعام.
تجنب التدخين حيث يزيد من فرصة تكون الجير والتهاب اللثة.
اتباع نظام غذائي صحي وتناول وجبات متوازنة وعدم الإكثار من تناول السكريات والنشويات، والحرص على شرب الكثير من الماء.
تنظيف الأسنان عند الطبيب كل 6 أشهر.
تعد أهم وسيلة للوقاية من تكون جير الأسنان هي العناية الجيدة بنظافة الفم والأسنان وكذلك الصحة العامة
وتشمل طرق الوقاية من جير الأسنان ما يلي:
تنظيف الأسنان مدة دقيقتين مرتين يوميًا لا سيما قبل النوم باستخدام معجون أسنان يحتوي على الفلورايد وفرشاة أسنان ناعمة مع الحرص على الوصول لكل مكان في الأسنان وفركه جيدًا ويمكن استخدام فرشاة الأسنان الإلكترونية لتمتعها بقدرة أكبر على إزالة البلاك من الفرشاة العادية.
استخدام خيط الأسنان بطريقة صحيحة مرة يوميًا لإزالة بقايا الطعام العالقة بين الأسنان حيث لا تصل فرشاة الأسنان لهذه الأماكن.
استعمال غسول فم يحتوي على الفلورايد بعد تناول الطعام.
تجنب التدخين حيث يزيد من فرصة تكون الجير والتهاب اللثة.
اتباع نظام غذائي صحي وتناول وجبات متوازنة وعدم الإكثار من تناول السكريات والنشويات، والحرص على شرب الكثير من الماء.
تنظيف الأسنان عند الطبيب كل 6 أشهر.
مضاعفات جير الأسنان🚨🚨
لا تقتصر أضرار جير الأسنان على التأثير على المظهر الجمالي للفم، ولكن تمتد لتشمل مضاعفات تصيب الأسنان واللثة وربما الصحة العامة
ومنها:
تسوس الأسنان🚨
يساهم تراكم الجير على الأسنان في تسوسها نتيجة صعوبة القدرة على تفريش الأسنان جيدًا واستعمال الخيط بسهولة.
أمراض اللثة🚨
يؤدي الجير إلى الإصابة بأمراض اللثة، ويعرف مرض اللثة في مراحله المبكرة بالتهاب اللثة وتشمل أعراضه ما يلي
احمرار اللثة وتورمها.🚨
نزف اللثة عند تفريش الأسنان أو استعمال الخيط.
يمكن علاج مرض اللثة في هذه المرحلة بالتفريش الجيد للأسنان واستعمال الخيط وغسول الفم، وعمل تنظيف عميق عند الطبيب.
لا تقتصر أضرار جير الأسنان على التأثير على المظهر الجمالي للفم، ولكن تمتد لتشمل مضاعفات تصيب الأسنان واللثة وربما الصحة العامة
ومنها:
تسوس الأسنان🚨
يساهم تراكم الجير على الأسنان في تسوسها نتيجة صعوبة القدرة على تفريش الأسنان جيدًا واستعمال الخيط بسهولة.
أمراض اللثة🚨
يؤدي الجير إلى الإصابة بأمراض اللثة، ويعرف مرض اللثة في مراحله المبكرة بالتهاب اللثة وتشمل أعراضه ما يلي
احمرار اللثة وتورمها.🚨
نزف اللثة عند تفريش الأسنان أو استعمال الخيط.
يمكن علاج مرض اللثة في هذه المرحلة بالتفريش الجيد للأسنان واستعمال الخيط وغسول الفم، وعمل تنظيف عميق عند الطبيب.
مصادر للاستزادة…
1] Candice Abellon. How to Remove Plaque and Tartar. Retrieved on the 28th of December, 2023.
[2] Sara Lindberg. What’s the Difference Between Plaque and Tartar? Retrieved on the 28th of December, 2023.
my.clevelandclinic.org
1] Candice Abellon. How to Remove Plaque and Tartar. Retrieved on the 28th of December, 2023.
[2] Sara Lindberg. What’s the Difference Between Plaque and Tartar? Retrieved on the 28th of December, 2023.
my.clevelandclinic.org
يا أهل الخير خلونا نستغل جمعتنا الطيبة في فعل خير عسى الله يرزقنا الجنة🚨
ساهم في كفالة أيتام مقيمين بتوفير الاحتياجات (علاج+إعاشة+مياه)وسداد الفواتير الخدمية
قال ﷺ:كافل اليتيم له أو لغيره أنا وهو كهاتين في الجنة
الحالة من جمعية "التنمية " المعتمدة🇸🇦
ehsan.tanmiah-alarda.sa x.com
ساهم في كفالة أيتام مقيمين بتوفير الاحتياجات (علاج+إعاشة+مياه)وسداد الفواتير الخدمية
قال ﷺ:كافل اليتيم له أو لغيره أنا وهو كهاتين في الجنة
الحالة من جمعية "التنمية " المعتمدة🇸🇦
ehsan.tanmiah-alarda.sa x.com
جاري تحميل الاقتراحات...