"حالة طبية عجيبة لو لم تكن مؤثقه لن يصدقها احد"
في عام 1984، امرأة تدعى "AB" تبلغ 40 عاما وبكامل صحتها، في ذلك اليوم كانت تقرأ كتابا عندما سمعت صوت في رأسها يقول:
"من فضلك لا تخافي. أعلم أن سماعك لي وأنا أتحدث إليك بهذه الطريقة قد يكون صادمًا، لكن هذه هي الطريقة الأسهل التي استطعت التفكير فيها."
ادعى أنه قادم من موظفين سابقين في مستشفى جريت أورموند ستريت للأطفال وأعرب عن رغبته في مساعدتها
جن جنون المرأة وذهبت لطبيبها والذي يدعى "د.ازوني" والذي شخصها بمرض الذهان الهلوسي الوظيفي واعطاها بعض الادوية وتحسنت حالتها واختفت الأصوات لمدة اسبوعين.
ذهبت في إجازة لدولة أخرى وهنا في أحد الأيام وهي تستمتع بوقتها عاد الصوت قائلا "لديك ورم في الدماغ وجذع دماغك ملتهب. يجب عليك العودة إلى إنجلترا فورًا وطلب إجراء فحص بالأشعة المقطعية (CT)"
عادت إلى إنجلترا، وطلبت من طبيبها عمل الأشعة لكنه رفض بسبب عدم وجود اعراض تظهر ذلك الشي وصعوبة الحصول على اشعه بسهوله في ذلك الزمن.
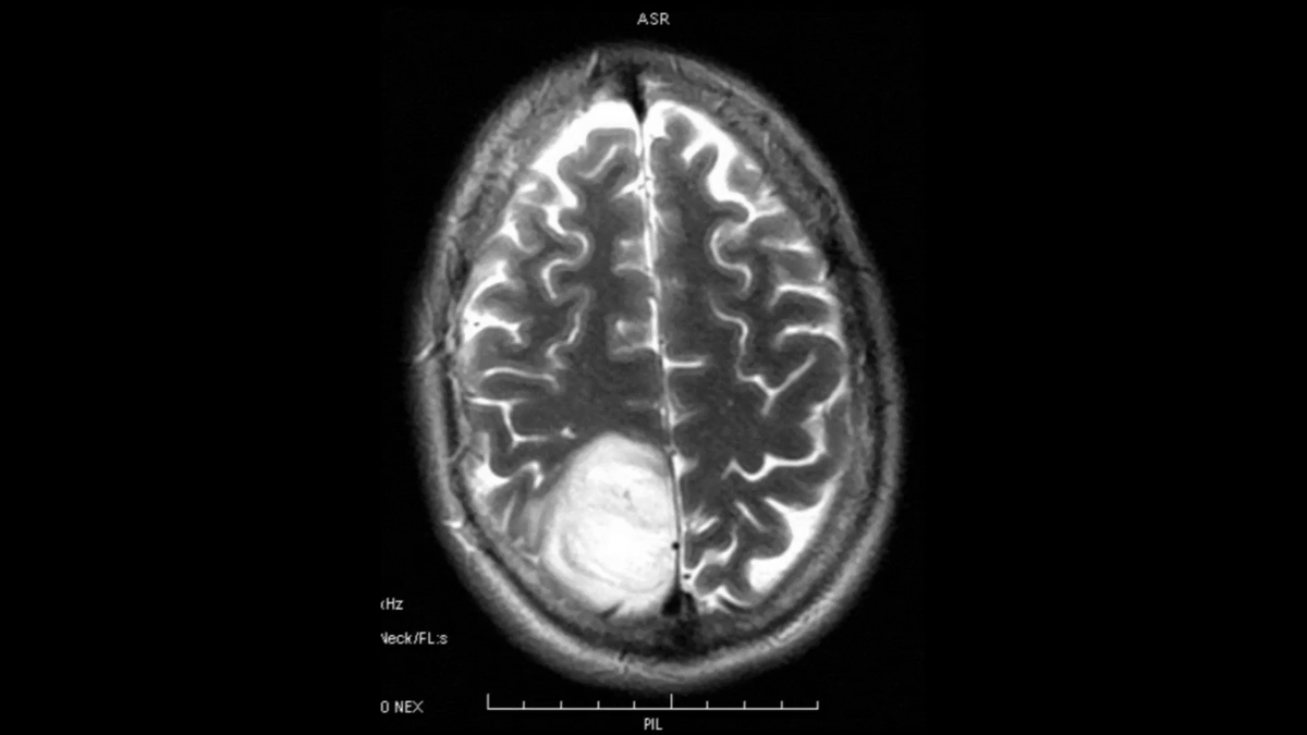
النتائج كشفت عن وجود كتلة في الفص الجبهي الخلفي الأيسر بالقرب من الجافية، وهي تتوافق مع ورم سحائي، وهو نوع من أورام الدماغ.
تم إزالة الورم بجراحه، وبمجرد خروجها من العملية بعد افاقتها، عاد الصوت قائلا "نحن سعداء بمساعدتك، وداعًا".
الحالة حقيقة وموثقه في عدة مصادر منها موقع Researchgate من قبل نفس الدكتور المشرف على الحالة
في عام 1984، امرأة تدعى "AB" تبلغ 40 عاما وبكامل صحتها، في ذلك اليوم كانت تقرأ كتابا عندما سمعت صوت في رأسها يقول:
"من فضلك لا تخافي. أعلم أن سماعك لي وأنا أتحدث إليك بهذه الطريقة قد يكون صادمًا، لكن هذه هي الطريقة الأسهل التي استطعت التفكير فيها."
ادعى أنه قادم من موظفين سابقين في مستشفى جريت أورموند ستريت للأطفال وأعرب عن رغبته في مساعدتها
جن جنون المرأة وذهبت لطبيبها والذي يدعى "د.ازوني" والذي شخصها بمرض الذهان الهلوسي الوظيفي واعطاها بعض الادوية وتحسنت حالتها واختفت الأصوات لمدة اسبوعين.
ذهبت في إجازة لدولة أخرى وهنا في أحد الأيام وهي تستمتع بوقتها عاد الصوت قائلا "لديك ورم في الدماغ وجذع دماغك ملتهب. يجب عليك العودة إلى إنجلترا فورًا وطلب إجراء فحص بالأشعة المقطعية (CT)"
عادت إلى إنجلترا، وطلبت من طبيبها عمل الأشعة لكنه رفض بسبب عدم وجود اعراض تظهر ذلك الشي وصعوبة الحصول على اشعه بسهوله في ذلك الزمن.
النتائج كشفت عن وجود كتلة في الفص الجبهي الخلفي الأيسر بالقرب من الجافية، وهي تتوافق مع ورم سحائي، وهو نوع من أورام الدماغ.
تم إزالة الورم بجراحه، وبمجرد خروجها من العملية بعد افاقتها، عاد الصوت قائلا "نحن سعداء بمساعدتك، وداعًا".
الحالة حقيقة وموثقه في عدة مصادر منها موقع Researchgate من قبل نفس الدكتور المشرف على الحالة
هذه الحالة جديرة بالملاحظة ليس فقط بسبب الظروف غير العادية لتشخيصها من خلال الهلوسات، ولكن أيضًا لغياب أي مشاكل نفسية سابقة لدى المريض. وعلق الدكتور أزوني قائلاً إن هذه هي المرة الأولى التي يصادف فيها أصواتًا هلوسية تقدم توجيهات طبية دقيقة، مما يثير تساؤلات مثيرة للاهتمام حول التفاعل بين الحالات العصبية والأعراض النفسية. تسلط هذه الحالة الضوء على تعقيدات الدماغ البشري وإمكانية وجود مسارات غير متوقعة للتشخيص
توضيح في القصة نسيت أذكره❗️
بعد ما رفض طبيبها عمل الأشعة، توسلت له كثيرًا هو والأطباء الآخرين حتى وافقوا وبعد الموافقة وعمل الأشعة انذهلوا من صدق كلامها ووجود ورم.
بعد ما رفض طبيبها عمل الأشعة، توسلت له كثيرًا هو والأطباء الآخرين حتى وافقوا وبعد الموافقة وعمل الأشعة انذهلوا من صدق كلامها ووجود ورم.
جاري تحميل الاقتراحات...