9 تغريدة 21 قراءة Aug 19, 2024
أثناء عمله، بدأ رجل فرنسي بالشعور بضعف في رجله اليسرى.
في المستشفى وبعد الفحوصات والأشعة على رأسه (لشكهم بوجود جلطة)، اكتشف الأطباء كارثة أخرى أنستهم أمر رجله.
واتضح انها اول حاله في العالم بهذا السوء
[في اليمين دماغ شخص طبيعي، في اليسار دماغ الرجل]
في عام 2007
رجل فرنسي، 44 عاما، يعيش حياة طبيعية عادية، متزوج ولديه طفلين ويذهب يوميا للعمل الحكومي. لكن تحت سطح هذه الحياة الطبيعية يكمن في داخله لغز طبي سيذهل العالم.
[التغير المفاجئ]
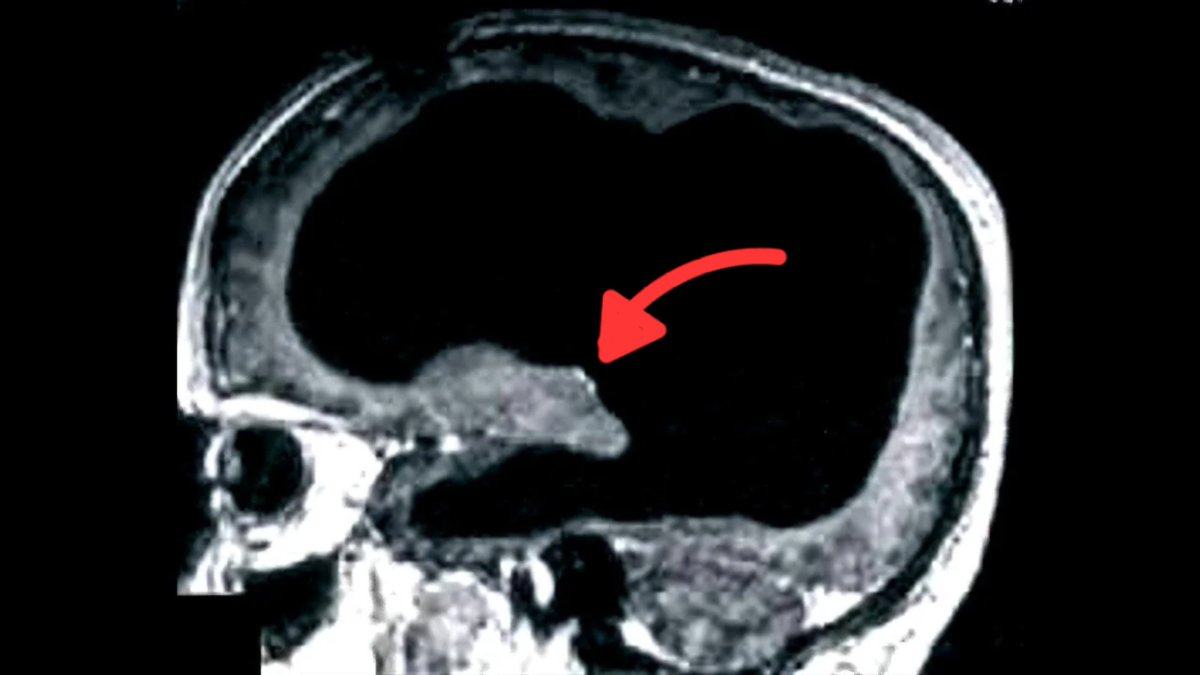
في أحد الأيام، بدأ يشتكي من ضعف بسيط في قدمه اليسرى، قرر الذهاب للطبيب، أجرى الأطباء سلسلة من الفحوصات، بما في ذلك تصوير للدماغ بالأشعة لاكتشاف سبب اعراضه، الذي ظهر في الشاشة صدم الفريق الطبي. كان امامهم فراغ كبير في رأسه.
[الاكتشاف الصادم]
اظهر الفحص شيئا استثنائيا: كانت جمجمته مليئة بالسائل النخاعي إلى حد كبير ولم يتبقى الا طبقة رقيقة فقط من نسيج الدماغ. تعرف هذه الحالة باسم الاستسقاء الدماغي او hydrocephalus
لكن مدى حالته غير مسبوق،كان فاقد لـ 90% من كتلة دماغه، بمعنى انه يعيش بـ 10% دماغ
[حياة طبيعية نسبيا]
على الرغم من ذلك، استمر الرجل في عيش حياة طبيعية نسبيا، استمر في العمل بجد في وظيفته وعلاقاته مع الناس وحتى شارك في الأنشطة الاجتماعية، بعد تقييم قدراته العقلية اتضح ان معدل ذكائه اقل قليلا من المتوسط حيث بلغ 75 لكن لا يعني أي تخلف او اعاقات ذهنية تذكر.
[رأي الأطباء]
يقول الأطباء ان دماغه بدأ في التدهور تدريجيا على مدى ثلاثة عقود بسبب مرض الاستسقاء الدماغي (كما ذكرت في الأعلى) حيث يتجمع السائل في بطنيات الدماغ، تم علاجه وهو طفل بعمل تحويلة تصرف السوائل من دماغه لمجرى الدم.
لكن تم إزالتها وهو بعمر 14 عاما. مع مرور الوقت بدأ السائل يتراكم ببطء مرة أخرى مما ضغط على الدماغ وقلل من حجمه.
[النهاية]
المصادر: medjournaldaily
وش رايكم في قصته؟
اتوقع بعد ماعرف بحالته بتجيه الهواجيس، كان اول مرتاح وهو ما يعرف.

جاري تحميل الاقتراحات...