مستر
مستر

@5_8fm

7 تغريدة 32 قراءة Jul 27, 2024
لاحظت كاترينا أن جفنها الأيسر متدلي
ولكنه لم يكن مؤلم لذلك لم تفكر في الأمر
لكن بعد سته اشهر تورم الجفن نفسه ونمت كتله مؤلمه عليه
وقررت الذهاب الى المستشفى
لن تصدق ما وجد الاطباء داخل جفنها
امرأة تدعى كاترينا عمرها 42 عامًا تعيش في المملكة المتحدة لاحظت تدليًا بسيطًا في جفنها العلوي الأيسر مؤخرًا. لم يكن ملحوظًا جدًا، لذلك لم تفكر كثيرًا في الأمر واستمرت في حياتها.
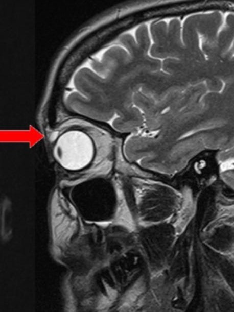
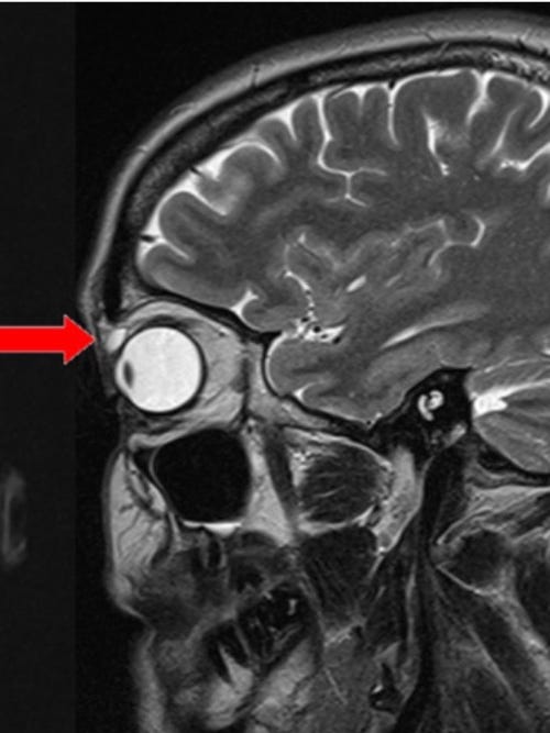
ولكن بعد ستة أشهر، تورم الجفن نفسه، ونمت كتلة عليه وأصبحت مؤلمة عند لمسها. ذهبت كترينا إلى طبيب الأسرة، الذي أحالها إلى طبيب عيون للتحقيق في المشكلة. كانت بصرها جيدًا، وبدا أن كلتا عينيها طبيعيتين باستثناء التورم. لم يكن هناك إفرازات غريبة أو حساسية أو احمرار. ومع ذلك، تمكن الأطباء من الشعور بتكتل صغير تحت جلد الجفن العلوي الأيسر، وقرروا إجراء فحص بالرنين المغناطيسي لمعرفة ماهيته. أظهر الفحص أن الكتلة كانت لها خصائص كيس واضح . كان طوله حوالي ثمانية مللي مترات، وتقع فوق عين المريضة اليسرى مباشرة.
قرر أطباء المريضة إجراء عملية جراحية لإزالتها، وحدث شيء لا يمكن تفسيره في هذه العملية. بعد إزالتها مباشرة، تمزق الكيس وانفتح ليكشف عن عدسة لاصقة هشة للغاية. كانت عدسة لاصقة صلبة، تُعرف أيضًا باسم العدسات اللاصقة الصلبة النفاذة للغاز، لكن المريضة لم تكن ترتدي هذا النوع من العدسات اللاصقة. لم تكن قد استخدمت العدسات اللاصقة الصلبة منذ أن كانت مراهقة
في البداية، لم تستطع المرأة أن تتذكر كيف علقت العدسة اللاصقة في عينيها. ثم تذكرت والدتها أن المريضة فقدت عدسة أثناء لعب كرة الريشة عندما كانت تبلغ من العمر 14 عامًا فقط. ولكنها تعافت بسرعة من الإصابة دون أعراض غير عادية، لكنها لم ترتدي العدسات اللاصقة الصلبة مرة أخرى. فقدت العدسة اللاصقة بعد إصابة الفتاة في عينها، ولم تتمكن من العثور عليها، لذلك افترضت الأسرة أنها سقطت وفقدت على الأرض في مكان ما
لكن العدسة انتقلت إلى الجفن العلوي الأيسر للفتاة، وظلت لمدة 28 عامًا دون أن يعلم أحد. يفترض الأطباء أن تدلي العين والتورم والالتهاب كان سببها العدسة اللاصقة، لكنهم لم يتمكنوا من تفسير سبب عدم تسببها في أي مشاكل لفترة طويلة، أو سبب ظهور الأعراض فجأة. لم يكن هناك أي محفزات يمكن أن تسبب ظهور الأعراض بعد سنوات عديدة.
انتهى

جاري تحميل الاقتراحات...