10 تغريدة 26 قراءة Jul 24, 2024
نهاية حزينة للخل الوفي 🐎 ‼️
يحزنني أمر أن الخيل يتم قتله عندما تُكسر ساقه فقط!!
ولكن كان هناك ما يحيرني وهو لماذا يُقتل بدلاً مع علاج ساقه بما إنه مخلوق من لحم ودم ويمكن أن تلتئم عظامه كحال البشر أو الكثير من الحيوانات
وتوصلت الى الإجابة ،التفاصيل تالياً …….
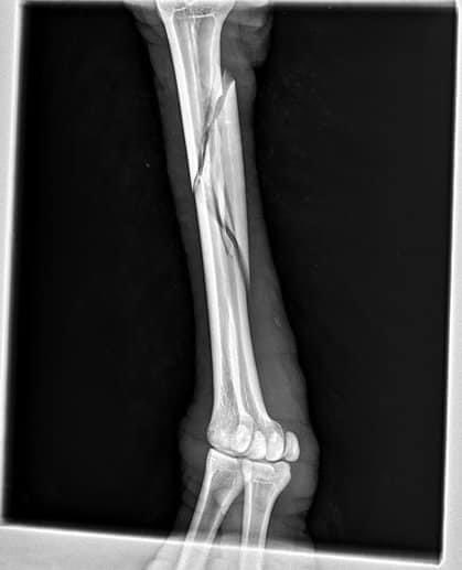
الأجابة تبدأ من تكوين الخيل التشريحي لأن الحصان ليس لديه عضلات في ساقيه تحت الركبتين والعرقوب.
بل يتكون الجزء السفلي من الساق من العظام والأوتار والأربطة والغضاريف والجلد والشعر كما في الصورة أمامك بالضبط
كما أن عظامه خفيفة نسبياً وتحتوي أرجله على حوالي 80 من أصل 205 عظمة في جسمه بالكامل.
وبالتالي إذا انكسر الجزء السفلي من ساق الحصان ،فإن العظام الموجودة فيه لا تنكسر فقط؛ بل غالبا ما تتهشم تماما.
هذا يجعل من المستحيل إصلاحها أو إعادتها إلى شكلها الأصلي في بعض الحالات حتى لو تم تجميعهم بطريقة ما ، فإن الحصان سينتهي حتماً بعظم ثابت بشكل سيء.
أي لا يستطيع الركض بشكل سليم مرة أخرى
لهذا السبب ، يجب إيلاء الخيل قدر كبير من الاهتمام للتأكد من سلامة ارجلها ،فيتم فحصها بانتظام وتجنب اي ضرر يصيبها منعا للعرج مستقبلاً
عندما تكسر ساق الحصان يتم قتله أحيانا لأسباب:
لأنه من الصعب جدًا التئام ساق الحصان المكسورة بشكل صحيح بالإضافة إلى أن تدفق الدم للحصان يعتمد على حوافره
كما أنه من الصعب أن يبقى الحصان ساكنًا لفترة طويلة تسمح لعظامه بأن تُجبر وإن تم جبر ساقه فإن تكلفة العلاج باهظة
فليش ما تربي خيل في البيت ⁉️
اقترح لي الموضوع التالي نتكلم عنه وأكثر موضوع يجيب لايكات بتكتب عنه تقرير بإذن الله
تذكرة بالأجر والثواب لمن يستطيع المساعدة ولو بالدعاء للمريض لتفريج كربه وضيقته
من خلال المنصة الحكومية للمساهمات
donations.sa

جاري تحميل الاقتراحات...