Sean Kelly
Sean Kelly

@seanpk

18 تغريدة 7 قراءة Jun 28, 2024
Your brain is deteriorating right now.
This "cognitive rust" affects EVERYONE, silently eroding memory, focus, and mental sharpness.
But there's a way out.
Here's how to train your brain just like you train your muscles 🧵
Your brain is your most powerful weapon.
David Goggins says that if you don't control your brain, your brain will control you.
Even Science suggests that you can hack your brain for peak performance.
The human brain is composed of approx 100 billion neurons.
Early researchers believed that the creation of new neurons stopped shortly after birth. But that's 100% not the case.
The brain's neuroplasticity allows it to create new connections & even create new neurons forever.
You can upgrade your brain like software.
Sure, it's not as easy as clicking a button. But there are proven strategies:
• Learning to play an instrument
• Tackling complex puzzles
• Learning a new language
• Creating art & reading
And this is only the beginning. But first:
• Get a baseline
Advanced brain tests can help you uncover how well your memory, attention, processing speed, and other cognitive functions are performing.
Tests include Neuropsychological tests, Cognitive function tests, Brain imaging (MRI/fMRI) & QEEG for brainwave patterns.
My first QEEG showed I was an athlete with mild brain trauma and likely had mild ADD.
Doctors showed me how my brain matched up with other brains my age as well as areas of potential improvement.
They then gave me some breathing and thought exercises that helped me.
• Sleep
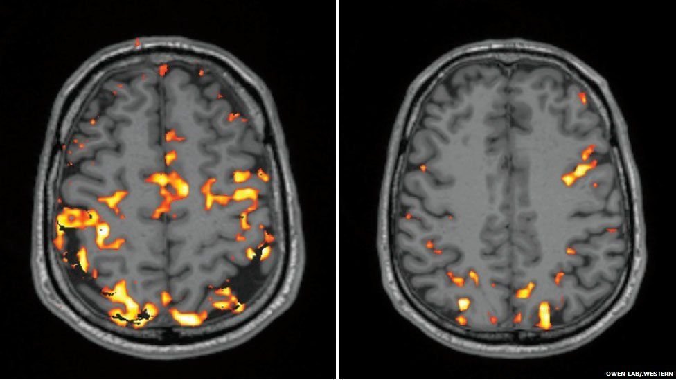
Look at this image.
On the left is a normal night of sleep. On the right is when it's deprived of 4 hours of sleep.
The colored areas show brain activity. Notice the lack of activity on the right side.
Sleep deprivation affects decision-making & problem-solving.
Sleep also plays a crucial role in the growth of dendrites, which help transmit information from one neuron to the next.
Brain plasticity can be improved simply by sleeping for 8 hours every day.
I've covered sleep in detail in a thread linked below.
• Exercise
See these images of a brain before and after a walk.
The color blue represents lower neural activity, while red shows higher brain activity in a given region.
Research shows that exercise prevents neuron loss and helps form new neurons at the same time.
Simple & effective ways to improve brain health:
• Brain training apps like Lumosity
• Mindfulness practices (Meditation, Breathwork and Yoga)
• Regular aerobic workouts (Running, Swimming, Walking)
• Fuel your brain
60% of the human brain is made of fat.
The brain depends on fat & brain-boosting nutrients for peak performance.
But the American diet has a huge imbalance of Omega-3 to Omega-6 ratio.
This creates a massive inflammation.
I triple dose Omega-3 & try to get 2g of EPA and 1.5g of DHA daily.
I love the brand Momentous and their cognitive function line (Disclaimer: I'm a Momentous investor).
Leafy vegetables are packed w/ antioxidants & blueberries can delay brain aging & enhance memory.
• Food to avoid
The top killers of brain performance and health are:
• Refined carbs & sugars
• Trans fats (often found in junk foods)
• Aspartame, artificial sweeteners, & other chemical garbage
Eliminating these items from your diet is more important than adding anything
• Therapies to boost brain power
Therapies like TMS which uses the magnetic field to stimulate nerve cells in the brain are making waves in OCD & Depression treatment.
I'm really excited for this since it has shown promising results so far.
At the Family Fund, we recently invested in Elemind.
It's a wearable headband that leverages brainwave modulation to augment sleep w/o relying on chemical drugs.
It's been clinically proven to work better than Ambien!
I'm ultra excited about the category of "electronic drugs."
RT the first tweet if you found this thread valuable.
Follow me @seanpk for more threads on entrepreneurship, investing and human performance.
A bit about me:
20 years ago, I was a broke biomedical engineering college student trying to get my first biz off the ground.
Since then, I’ve grown six 7-figure businesses, three 8-figure businesses & raised $50M+ in VC. I'm also a General Partner at The Family Fund.
And I do all of this while prioritizing my health, traveling for fun every month & not grinding 247.
I go deeper into everything I’ve learned about building businesses, investing & founder performance in my newsletter.
Join thousands of founders here: get.founderiv.com

جاري تحميل الاقتراحات...