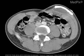
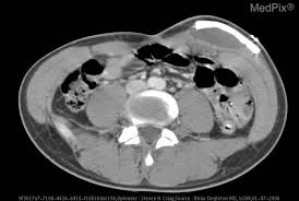
تجويف البطن هو مساحة كبيرة تقع بين الصدر والحوض ويحتوي على عدد من الأعضاء مثل الكبد والمعدة والبنكرياس. يتمتع بدرجة حرارة طبيعية للجسم ولن يتعرف على عظام الجمجمة أو الأيدي المصابة على أنها غريبة وسيوفر إمدادات الدم والمواد المغذية للأعضاء المزروعة المصابة.
لعلاج النزف داخل الجمجمة، غالبًا ما يتم إجراء عملية استئصال القحف لتخفيف الضغط. لتقليل الضغط داخل الجمجمة، تتم إزالة سديلة عظم الجمجمة. تتم إعادة بناء العيب العظمي باستخدام عظم ذاتي المنشأ أو مادة صناعية بعد تحسن الوذمة الدماغية. وفي حالات الأطفال، قد لا تتناسب المادة الاصطناعية مع نمو الجمجمة، مما يؤدي إلى ظهور فجوات ونتوءات. عيب آخر هو أن العظم الاصطناعي عرضة للعدوى. على العكس من ذلك، ينمو العظم ذاتي المنشأ استجابة لنمو العظام المحيطة ويكون لديه خطر ضئيل للإصابة بالعدوى. إذا تم استخدام عظم ذاتي المنشأ، فيجب الحفاظ عليه حتى عملية رأب القحف.
عندما أصيب رجل برازيلي بأضرار بالغة في يده في حادث عمل، اتبع الأطباء نهجا فريدا وقاموا بخياطة يده في بطنه.
فقد مشغل الآلة السابق كارلوس ماريوتي، 43 عامًا، كل جلد يده وأصابعه في الحادث المروع الذي وقع في مارس 2016 عندما انحصرت يده بين بكرتين من الملفات في آلة صناعية تستخدم لصنع أدوات المائدة البلاستيكية.
لقد دمرت أنسجته وقطعت إمدادات الدم وتركت عظام وأوتار يده مكشوفة.
فقد مشغل الآلة السابق كارلوس ماريوتي، 43 عامًا، كل جلد يده وأصابعه في الحادث المروع الذي وقع في مارس 2016 عندما انحصرت يده بين بكرتين من الملفات في آلة صناعية تستخدم لصنع أدوات المائدة البلاستيكية.
لقد دمرت أنسجته وقطعت إمدادات الدم وتركت عظام وأوتار يده مكشوفة.
وفي محاولة لتجنب البتر، قرر الأطباء محاولة إنقاذ يد ماريوتي عن طريق وضعها جراحيًا في الأنسجة الرخوة في معدته.
ساعد الموضع على منع الإصابة بالعدوى والنخر، مع السماح للطرف بإعادة توصيل إمدادات الدم واستعادة العضلات والأنسجة.
"لم أقم بهذا الإجراء من قبل ولكني كنت أعرف ما هو ممكن. قال الدكتور بوريس برانداو من مستشفى مؤسسة سانتا أوتيليا: “لقد قمنا بفصل الجلد عن عضلات البطن وصنعنا كيسًا بداخله ووضعنا يد المريض بداخله”.
ساعد الموضع على منع الإصابة بالعدوى والنخر، مع السماح للطرف بإعادة توصيل إمدادات الدم واستعادة العضلات والأنسجة.
"لم أقم بهذا الإجراء من قبل ولكني كنت أعرف ما هو ممكن. قال الدكتور بوريس برانداو من مستشفى مؤسسة سانتا أوتيليا: “لقد قمنا بفصل الجلد عن عضلات البطن وصنعنا كيسًا بداخله ووضعنا يد المريض بداخله”.
وبقيت يد ماريوتي داخل بطنه لمدة 42 يومًا.
قال ماريوتي: "لقد كان إحساسًا غريبًا حقًا لأنني شعرت بأصابعي تهتز داخل جسدي". "عندما قمت بتحريكها، برزت بطني."
طلب الأطباء من ماريوتي إبقاء يده دافعة إلى الداخل وتحريك أصابعه حتى لا تتجمد.
قال ماريوتي: "كل يوم، كنت أذكّر نفسي بأنني لا أستطيع إخراج يدي لأنها كانت في الجيب. كنت خائفًا من أن أكسر الغرز وأضر بفرص تعافيي. كان الألم لا يُنسى ولا يطاق". "لقد عانيت من أجل النوم لأنني لم أتمكن من الاستلقاء على جانبي أو الاستلقاء على أمامي."
خضع كارلوس لعمليتين إضافيتين في مايو 2016، كانت الأولى لإزالة يده من بطنه، حيث يغطي جلد بطنه الجزء الخلفي من يده.
قال ماريوتي: "لقد كان إحساسًا غريبًا حقًا لأنني شعرت بأصابعي تهتز داخل جسدي". "عندما قمت بتحريكها، برزت بطني."
طلب الأطباء من ماريوتي إبقاء يده دافعة إلى الداخل وتحريك أصابعه حتى لا تتجمد.
قال ماريوتي: "كل يوم، كنت أذكّر نفسي بأنني لا أستطيع إخراج يدي لأنها كانت في الجيب. كنت خائفًا من أن أكسر الغرز وأضر بفرص تعافيي. كان الألم لا يُنسى ولا يطاق". "لقد عانيت من أجل النوم لأنني لم أتمكن من الاستلقاء على جانبي أو الاستلقاء على أمامي."
خضع كارلوس لعمليتين إضافيتين في مايو 2016، كانت الأولى لإزالة يده من بطنه، حيث يغطي جلد بطنه الجزء الخلفي من يده.
جاري تحميل الاقتراحات...