حالة طبية غير عادية للغاية. (CNN)-توصل الأطباء الذين يعالجون مريضاً اشتكى من فقدان توازنه بشكل متكرر، إلى اكتشاف غير متوقع: كان لدى الرجل البالغ من العمر 84 عاماً جيباً من #الهواء يبلغ حجمه 3 بوصات ونصف في #دماغه.
وقد تمت إحالة الرجل إلى غرفة الطوارئ من قبل طبيبه الرئيسي في أيرلندا الشمالية.
أخبر طبيبه عن أسابيع من السقوط المتكرر وثلاثة أيام من ضعف الذراع والساق اليسرى، وفقًا للتقرير المنشور في مجلة BMJ Case Report
وقد تمت إحالة الرجل إلى غرفة الطوارئ من قبل طبيبه الرئيسي في أيرلندا الشمالية.
أخبر طبيبه عن أسابيع من السقوط المتكرر وثلاثة أيام من ضعف الذراع والساق اليسرى، وفقًا للتقرير المنشور في مجلة BMJ Case Report
ولم يكن المريض، الذي لم يتم تحديد هويته في التقرير، يعاني من أي إعاقات بصرية أو كلامية ولم يبدو مرتبكًا أو يعاني من ضعف في الوجه، وفقًا للمؤلفين.
وقال الدكتور فينلاي براون، المؤلف الرئيسي للتقرير والممارس العام في بلفاست الذي عالج الرجل، إن الشيء الذي كان يقلقني أكثر بالنسبة لمريض مسن يعاني من ضعف جديد في الأطراف واضطراب في التوازن هو شكل من أشكال السكتة الدماغية.
وأجرى الأطباء فحوصات للدماغ لتحديد أي علامات نزيف أو تلف في الدماغ ناجم عن انسداد الأوعية الدموية، وفقا لبراون.
لكن ما وجدوه كان أكثر غرابة
وأجرى الأطباء فحوصات للدماغ لتحديد أي علامات نزيف أو تلف في الدماغ ناجم عن انسداد الأوعية الدموية، وفقا لبراون.
لكن ما وجدوه كان أكثر غرابة
ورم حميد صغير
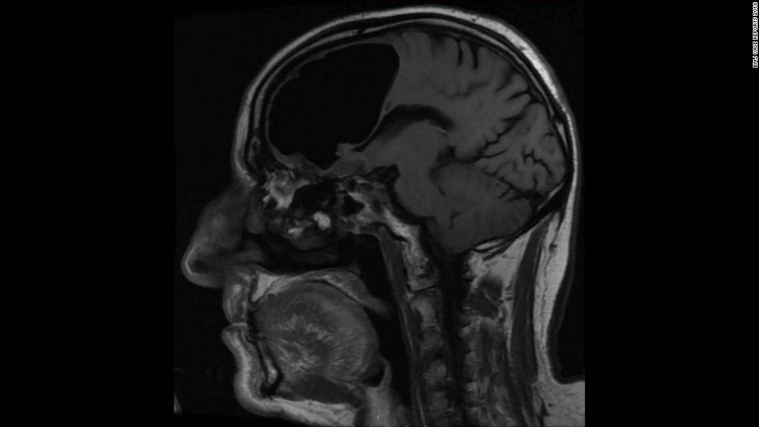
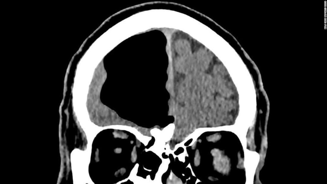
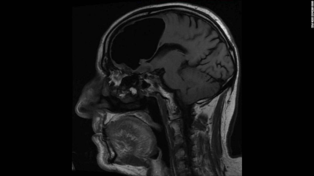
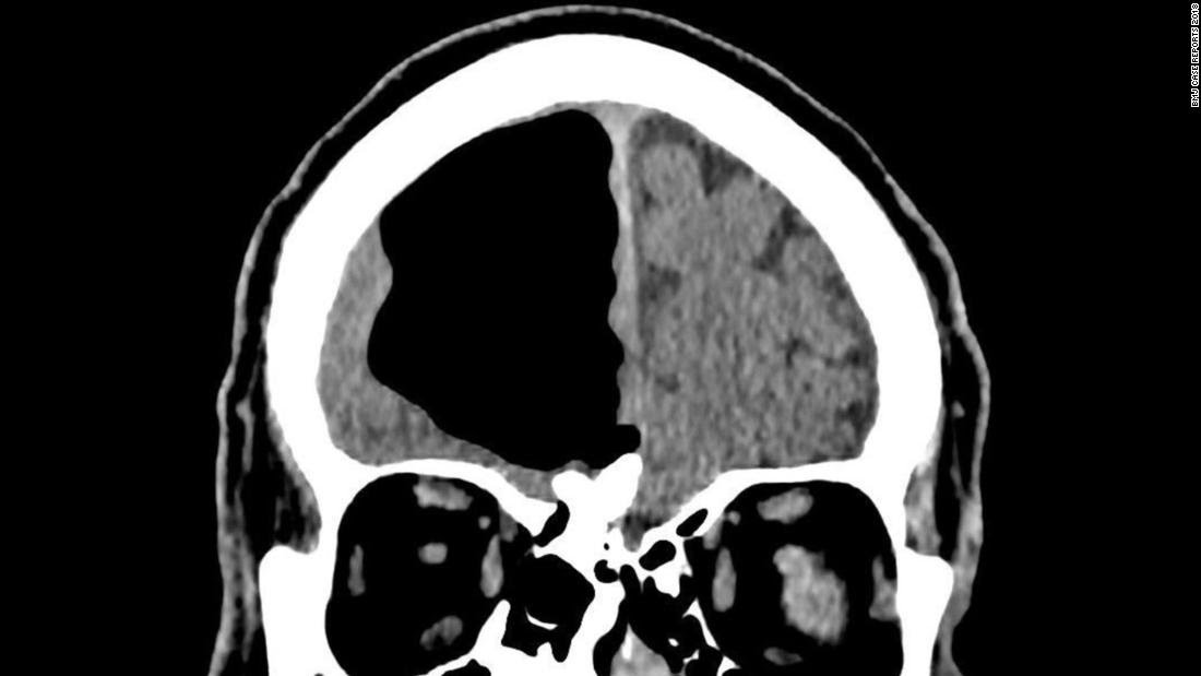
أظهر التصوير المقطعي المحوسب لدماغ المريض وجود جيب كبير من الهواء - يسمى أيضًا القيلة الهوائية - في الفص الأمامي الأيمن للمريض يبلغ طوله حوالي 3 بوصات ونصف.
وقال براون: "علمنا على الفور أن هناك شيئا غير طبيعي للغاية". وأضاف: "في البداية، اعتقدنا أن المريض ربما لم يكشف عن أنه خضع في السابق لشكل من أشكال العمليات الجراحية أو لتشوه خلقي، لكنه أكد أنه لم يفعل ذلك".
كان الجيب الهوائي خلف الجيب الجبهي مباشرة وفوق الصفيحة المصفوية، التي تفصل تجويف الأنف عن تجويف الجمجمة.
أظهر التصوير المقطعي المحوسب لدماغ المريض وجود جيب كبير من الهواء - يسمى أيضًا القيلة الهوائية - في الفص الأمامي الأيمن للمريض يبلغ طوله حوالي 3 بوصات ونصف.
وقال براون: "علمنا على الفور أن هناك شيئا غير طبيعي للغاية". وأضاف: "في البداية، اعتقدنا أن المريض ربما لم يكشف عن أنه خضع في السابق لشكل من أشكال العمليات الجراحية أو لتشوه خلقي، لكنه أكد أنه لم يفعل ذلك".
كان الجيب الهوائي خلف الجيب الجبهي مباشرة وفوق الصفيحة المصفوية، التي تفصل تجويف الأنف عن تجويف الجمجمة.
قال الدكتور آلان كوهين، أستاذ جراحة أعصاب الأطفال في مستشفى جونز هوبكنز، والذي لم يشارك في تقرير الحالة: "كان هذا عرضًا نادرًا لدى هذا الرجل لوجود الكثير من الهواء في دماغه".
عندما تكون القيلة الرئوية موجودة في الدماغ، غالبا ما يشار إلى الحالة باسم استرواح الرأس. وقال كوهين إنها في الغالب تضغط على الفص الجبهي، الذي يلعب دورا كبيرا في حركة العضلات الإرادية.
وأظهر التصوير بالرنين المغناطيسي لدماغ الرجل أيضًا ورمًا عظميًا صغيرًا حميدًا، أو ورمًا عظميًا، تشكل في الجيوب الأنفية للرجل وكان يتآكل عبر قاعدة الجمجمة، مما تسبب في تسرب الهواء إلى تجويف الجمجمة، وفقًا للتقرير.
عندما تكون القيلة الرئوية موجودة في الدماغ، غالبا ما يشار إلى الحالة باسم استرواح الرأس. وقال كوهين إنها في الغالب تضغط على الفص الجبهي، الذي يلعب دورا كبيرا في حركة العضلات الإرادية.
وأظهر التصوير بالرنين المغناطيسي لدماغ الرجل أيضًا ورمًا عظميًا صغيرًا حميدًا، أو ورمًا عظميًا، تشكل في الجيوب الأنفية للرجل وكان يتآكل عبر قاعدة الجمجمة، مما تسبب في تسرب الهواء إلى تجويف الجمجمة، وفقًا للتقرير.
"زجاجة كوكا مقلوبة"
قال كوهين: "إنها أشبه بزجاجة كوكا كولا مقلوبة". "في بعض الأحيان، يمكن أن يكون هناك صمام ذو اتجاه واحد، ويدخل الهواء ولا يستطيع الخروج
قال كوهين: "إنها أشبه بزجاجة كوكا كولا مقلوبة". "في بعض الأحيان، يمكن أن يكون هناك صمام ذو اتجاه واحد، ويدخل الهواء ولا يستطيع الخروج
ربما يكون الضغط الناتج عن تجويف الهواء قد تسبب أيضًا في حدوث سكتة دماغية صغيرة في الفص الأمامي للمريض، مما أدى إلى ضعف الجانب الأيسر وعدم استقرار المشية مما دفعه إلى زيارة المستشفى، وفقًا لبراون.
وقال براون: "بعد المناقشة مع المتخصصين في السكتة الدماغية، كان هناك شعور بأن سكتة دماغية صغيرة كانت على الأرجح ثانوية بسبب التأثير المضغوط الذي أحدثه الجيب الهوائي على إمدادات الدم في دماغه، مما أدى إلى نقص الدم والسكتة الدماغية اللاحقة".
وقال براون: "بعد المناقشة مع المتخصصين في السكتة الدماغية، كان هناك شعور بأن سكتة دماغية صغيرة كانت على الأرجح ثانوية بسبب التأثير المضغوط الذي أحدثه الجيب الهوائي على إمدادات الدم في دماغه، مما أدى إلى نقص الدم والسكتة الدماغية اللاحقة".
وفقًا لدراسة أجريت عام 2015 في مجلة Surgical Neurology International، فإن الصدمة مسؤولة عن حوالي 75% من حالات استرواح الرأس. أما الحالات المتبقية فهي غالبا مضاعفات جراحة المخ والأعصاب. جراحة الأذن والأنف والحنجرة. التهابات الجيوب الأنفية؛ أو، كما في هذه الحالة، أورام العظام.
يعتمد علاج استرواح الرأس على عدة عوامل، وخاصة الأعراض المعنية. العديد من حالات استرواح الرأس ليس لها أعراض، وفي النهاية يمتصها الجسم دون علاج، وفقًا لكوهين.
يعتمد علاج استرواح الرأس على عدة عوامل، وخاصة الأعراض المعنية. العديد من حالات استرواح الرأس ليس لها أعراض، وفي النهاية يمتصها الجسم دون علاج، وفقًا لكوهين.
In this case, the patient was offered surgical treatment from a team of neurosurgeons and ENT surgeons. The procedure would have involved temporary surgical removal of part of the frontal bone of the skull and excision of the bone tumor to close the leak that was sending air into the brain.
معاملة متحفظة
ومع ذلك، نظرًا لعمره وعوامل صحية أخرى، رفض المريض الجراحة واختار بدلاً من ذلك العلاج المحافظ الذي يتضمن الأدوية لمنع حدوث سكتة دماغية ثانوية.
وقال براون: "لقد عالجنا المريض المصاب بسكتة دماغية حادة وأبقيناه مرتاحا في انتظار تدخل متخصص".
وعندما عاد المريض في زيارة متابعة مدتها 12 أسبوعا، شعر بالتحسن ولم يعد يشكو من ضعف عضلات الجانب الأيسر، وفقا للتقرير.
وأضاف براون: "من غير المرجح أن أرى نفس النتائج مرة أخرى في مريض آخر". "لكنه يشجع الأطباء على أن يكون لديهم عتبة منخفضة للتصوير حتى عند مواجهة أعراض شائعة جدًا."
بسبب نقص الدراسات التي تقيم استرواح الرأس، فإن التشخيص الدقيق للمريض لا يزال غير واضح.
وقال كوهين: "السؤال في حالة هذا الشخص هو أننا لا نعرف ما إذا كان الهواء الداخل يدخل مع مرور الوقت أكثر من الخارج، مما قد يسبب عدم استقرار عصبي".
"يمكنك أن تتدبر أمرك بشكل جيد مع كمية محدودة فقط من القشرة الدماغية. وفي بعض الأحيان، يتم إعادة تنظيمها، والطبيعة ذكية جدًا فيما يتعلق بإيجاد طرق للشفاء."
ومع ذلك، نظرًا لعمره وعوامل صحية أخرى، رفض المريض الجراحة واختار بدلاً من ذلك العلاج المحافظ الذي يتضمن الأدوية لمنع حدوث سكتة دماغية ثانوية.
وقال براون: "لقد عالجنا المريض المصاب بسكتة دماغية حادة وأبقيناه مرتاحا في انتظار تدخل متخصص".
وعندما عاد المريض في زيارة متابعة مدتها 12 أسبوعا، شعر بالتحسن ولم يعد يشكو من ضعف عضلات الجانب الأيسر، وفقا للتقرير.
وأضاف براون: "من غير المرجح أن أرى نفس النتائج مرة أخرى في مريض آخر". "لكنه يشجع الأطباء على أن يكون لديهم عتبة منخفضة للتصوير حتى عند مواجهة أعراض شائعة جدًا."
بسبب نقص الدراسات التي تقيم استرواح الرأس، فإن التشخيص الدقيق للمريض لا يزال غير واضح.
وقال كوهين: "السؤال في حالة هذا الشخص هو أننا لا نعرف ما إذا كان الهواء الداخل يدخل مع مرور الوقت أكثر من الخارج، مما قد يسبب عدم استقرار عصبي".
"يمكنك أن تتدبر أمرك بشكل جيد مع كمية محدودة فقط من القشرة الدماغية. وفي بعض الأحيان، يتم إعادة تنظيمها، والطبيعة ذكية جدًا فيما يتعلق بإيجاد طرق للشفاء."
جاري تحميل الاقتراحات...