5 تغريدة 7 قراءة Feb 16, 2024
حمام دافيء للمخ‼️
دراسة جديدة مفادها أن النوم يساعد فى إفراز سائل منظف يغسل المخ من السموم يحمى من الإصابة بالخرف وبعض الأمراض الأخرى
فهل نحن نغسل أدمغتنا أثناء النوم حقا؟
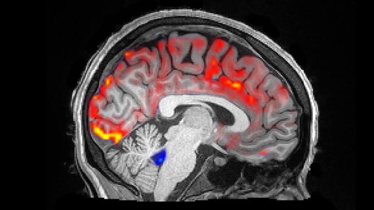
هذه أول صور تظهر للمجتمع العلمي على الإطلاق ، فعندما ننام ، تغسل موجات السائل النخاعي فوق الدماغ لإزالة (الأفكار السلبية).
جامعة بوسطن تنشر بحث جديد وهو أن الإنسان أثناء النوم ليلاً ، سيحدث له شيء مذهل داخل عقلة سوف تصمت خلاياك العصبية.
بعد بضع ثوان ، سيتدفق الدم من رأسك. بعد ذلك ، سيتدفق سائل مائي يسمى السائل النخاعي (CSF) ، ويغسل عبر دماغك بموجات إيقاعية نابضة.
ويقول الباحثين نحن لا نعرف ما هي الروابط السببية لحدوث ذلك ؟ هل هي عمليات ترابطية مرتبطة بأخرى تسببت ذلك ؟ أم أن هناك قوة خفية تقودهم جميعًا لهذا العمل ؟

جاري تحميل الاقتراحات...