21 تغريدة 12 قراءة Jan 02, 2024
المحقق العاطفي و " الانسة ماربل".
(ثريد)
⬇️⬇️⬇️
عندما ذكرنا سابقاً  ان تنجذب الإناث لذكر ليس عملية سهل وفيها من التعقيد والأسباب الكثير وذكرنا ان هناك (خصوصا في الثريد السابق "قسم التحريات في دماغ الانثىء") عن مركز التحريات في دماغ الانثى ولدية 4 محققين، وذكرنا ان العلماء اطلقوا عليه "الانسة ماربل".
في الثريد هذا سندخل في نوع من التفصيل مع احد المحققين وهو مايتعلق بـ الأمور العاطفية ويطلق عليه المحقق العاطفي.
هناك أسبابًا وجيهة جدًا تدفع الآنسة ماربل إلى بذل الكثير من الجهد في تقييم قلب الرجل والتأكد من انه صادق وليس مخادع.
عندما يتعلق الأمر بالجنس، فإن الرجال مغامرون ومخادعون وسيقومون بأي شي من اجل ذلك.
ستسمع وتقراء في الانترنت عبارة "الرجال سيقولون  أي شيء" لو بحثت في قوقل ستجد  عشرات الالوف من الحكاية التحذيرية.
إليكم مثالين :
-"لقد رأى أن لدي قطة وأخبرني أنه يحب القطط، ثم بعد أن نمت معه علمت أنه يعاني من حساسية تجاهها ويكرهها. كان يجب أن أعرف أنه كان يكذب لأنه بدأ يعطس عندما كنا في السرير."
-"أخبرني أنه كان يعمل في فريق يانكيز وكان صديقًا لديريك جيتر (لاعب بيسبول مشهور) وتبين أنه كاذب."
لا يمكن تقييم شخصية الرجل الحقيقية بنفس السرعة أو السهولة التي يمكن بها تقييم حجم صدر المرأة.
نظرًا لأن الحياة الداخلية للرجل بعيدة المنال للغاية، فقد طورت وكالة المباحث أدوات متطورة لتقييم شخصيته:
هل هو صادق؟
مخلص؟
متفهما؟
مخلص؟
كريم؟
هل يحب أمه؟
ويجب عليها أيضًا تقييم مشاعرها:
هل أشعر بالتقدير والعشق؟
هل أشعر بالجاذبية؟
هل أنا متوترة؟
مُحرَجة؟
مشيرًا إلى أنه يجب عليها أيضًا تقييم مشاعرها في العلاقة.
تطرح أسئلة حول ما إذا كانت تشعر بالتقدير والعشق والجاذبية وتستكشف حالتها العاطفية، مع الأخذ في الاعتبار مشاعر العصبية أو الإحراج.
يشير هذا إلى أن  عملية التقييم لا تتضمن تقييم شخصية الرجل فحسب، بل تتضمن أيضًا التفكير  في صحتها العاطفية وديناميكيات العلاقة.
(تشير الدراسات إلى أن النساء يجتررن المواقف العاطفية أكثر من الرجال، ويفكرن في كثير من الأحيان في المشاعر السلبية وذكريات تجارب الحياة السلبية.)
وفصلت فيها هنا:
(تنعكس هذه الاختلافات العقلية في الاختلافات العصبية)
وفصلت فيها هنا:
قبل سن البلوغ، يعاني الأولاد والبنات على حد سواء من القلق والاكتئاب واضطرابات الهلع. ولكن بعد بداية تغيير الدماغ في المراهقة، تكون النساء  أكثر من مرتين عرضة للإصابة باضطرابات المزاج مقارنة بالرجال.
يتوقع  العلماء أن يكون ذلك بسبب التغييرات الكبر التي تحدث في برمجة العواطف لدى  الإناث. ربما تكون أكبر عرضة للاضطرابات المزاجية هي واحدة من التكاليف لديهابسبب مركز التحريات في دامغها.
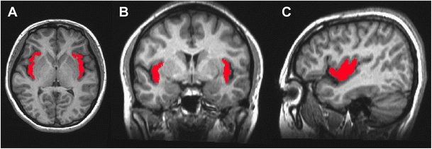
يعمل البرنامج العاطفي لوكالة المباحث في الغالب على ثلاثة اماكن في الدماغ.
يوجد اثنان من الهياكل في القشرة، حيث يحدث التفكير الواعي: القشرة الحزامية الأمامية (موجود في الصورة بالازرق )والقشرة الجزيرية(محدده بالأحمر).
كلاهما معنيان بتقييم العواطف للذات والآخرين. تكون هذه الهياكل أكبر قليلاً في النساء وأكثر نشاطاً أيضًا في النساء أثناء معالجة المعلومات الاجتماعية.
عندما تقوم النساء بمعالجة المحفزات الجنسية، تميل القشرة الحزامية الأمامية إلى الرد عبر تثبيط العاطفة، ربما كوسيلة تمنع وكالة المحققين من رد فعل المرأة تجاه محفز جنسي إلى أن يتم تقييمه بشكل صحيح.
تشارك كل من القشرة الجزيرية والحصين (او قرن آمون هو أحد المكونات الرئيسية لدماغ ) في تخزين واسترجاع الذكريات العاطفية، وكلاهما أكبر حجمًا وأكثر نشاطًا عند النساء منه عند الرجال.
والمنطقة الأخرى هي اللوزة الدماغية، الموجودة في القشرة الدماغية اللاواعية.
تقوم النساء بترميز العواطف من خلال اللوزة الدماغية اليسرى، بينما يقوم الرجال بمعالجة العواطف من خلال اللوزة اليمنى.
عند الرجال، يؤدي تنشيط اللوزة الدماغية اليمنى والنصف الأيمن من الكرة مخية إلى تعزيز الذاكرة لفهم الفكرة الرئيسية أو الجوهرية لتجربة أو حدث.
المثير للاهتمام، أنه على الرغم من أن اللوزة الدماغية اليمنى تنشط عند الرجال أثناء مشاهدة المواد الإباحية، إلا أنها ليست كذلك عند النساء.
إن اللوزة الدماغية اليسرى تنشط عند النساء أثناء معالجة الروايات المثيرة.
غالبًا ما يكون من الصعب الحصول على أدلة كافية حول الحبيب المحتمل من خلال الاعتماد على تحقيقاتك الخاصة. لسبب واحده وهو الآنسة ماربل تجد صعوبة في أن تكون موضوعية في بعض الأحيان.
بالإضافة إلى ذلك، هناك عدد من القرائن المهمة التي لا يمكن التحقق منها إلا عن طريق الآخرين، مثل سمعة الرجل أو حالته الاجتماعية.
من المفيد أيضًا معرفة ما إذا كانت النساء الأخريات يتطلعن إلى نفس الرجل.
في بعض الأحيان تحتاج الآنسة ماربل إلى الاستعانة بمصادر خارجية.
الى هنا تمت.
المصدر:
A Billion Wicked Thoughts What the Worlds Largest Experiment Reveals about Human Desire.

جاري تحميل الاقتراحات...