منال العصيمي | Manal Alosaimi 🧬✨.
منال العصيمي | Manal Alosaimi 🧬✨.

@LS_manal

10 تغريدة 5 قراءة Dec 12, 2023
- تأثير درجة الحرارة على الأنسجة والحمض النووي في عينات الكبد والكلى بعد الوفاة خلال تسلسل زمني محدد-
كأخصائيين وأطباء في المجال الجنائي نحتاج إلى تحديد وقت الوفاة إلى أقرب وقت ممكن لأنو يعتمد عليها في التحقيقات والتثبت من حجج الغياب وغيرها.. 🕵🏻‍♀️
لازم نعرف في البداية إن التغيرات ما بعد الوفاة تتحكم فيها ظروف كثيييرة بعضها داخلي مثل: التحلل الأنزيمي وموت الخلايا (self-destruction)وكمية الدهون…
وظروف خارجية: مثل درجة الحرارة والرطوبة والمطر.. وكلها تساعد إما في تأخير التحلل أو تسريعه
في البحث أخذنا 30 فار من نوع (ألبينو) ولأنها الأقرب للتشريح النسيجي للإنسان
فصلناها في قروبين كل قروب 15 فار. 🐭
- القروب الأول حفظناه في درجة حرارة الغرفة (3±25)˚ 🌡️
- القروب الثاني حفظناه في درجة حرارة منخفظه (4) ˚ 🌡️
وحاولنا نعزل باقي الظروف الخارجية عشان نفهم التغيرات المحددة
التسلسل الزمني اللي حددناه كان (مباشرة بعد الوفاة، 36,24,12,6 ساعة بعد الوفاة).
وكنا في كل ساعة محددة نروح الجامعة ناخذ عينات من الكبد والكلى وناخذ منها عينات الDNA 🧬
لا احكيكم كيف كنا نروح الجامعة 3 مرات تقريبًا كل يوم 😅
كنا نروح مثلاً من 8 الصباح إلى 12 بالليل عشان نحفظ العينات بطريقة صحيحة ونطبق معايير الجودة خصوصًا مع عينات الDNA
العينات النسيجية تم تحضيرها ببلوكات البرافين وتم تقطيعها وصبغها بصبغة H&E وعينات DNA حفظناها في (-20) ˚ عشان نحافظ عليها من التكسر. وبعدها تمت معالجتها وقراءتها على gel electrophoresis
بالنسبة للاستنتاجات:💡
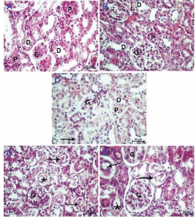
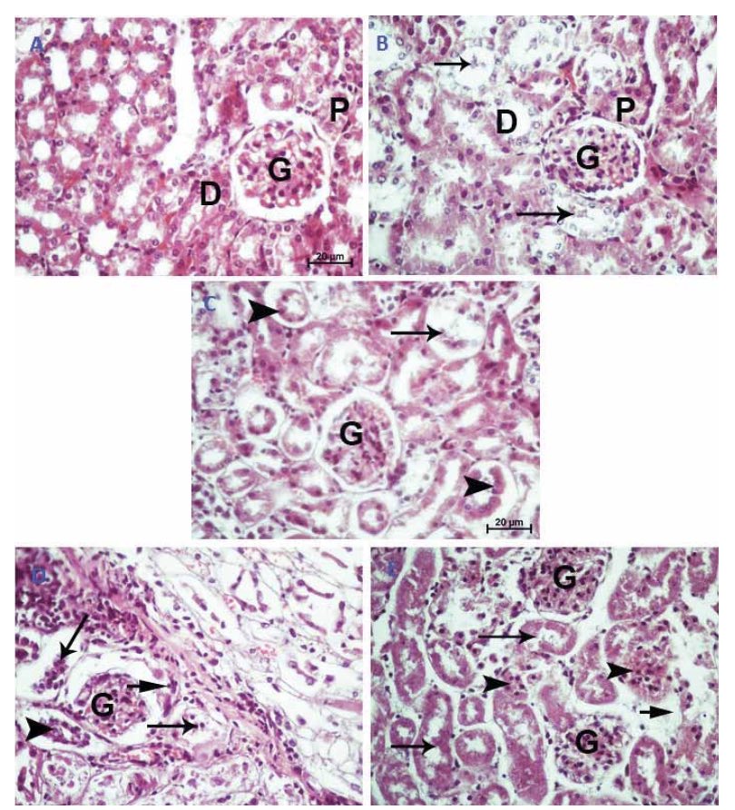
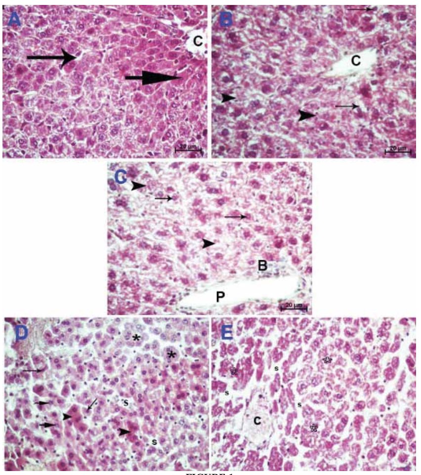
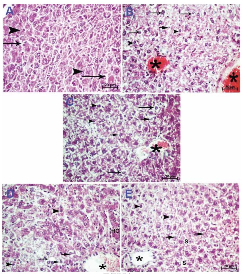
بالنسبة للكبد نتائجها كانت جيدة سواء في درجة حرارة الغرفة او درجة منخفضة، طبعًا مع تأخير واضح للتغيرات النسيجية في درجة حرارة 4˚ والتغيرات كانت عبارة عن فجوات بين الخلايا، انكماش او تكسر في النواة وبعدها صارت العينات غير مميزة ودخلت في العشوائية
(25 - 4)
بالجانب الآخر الكلى كانت صورها نوعًا ما سيئة والتحلل فيها كان بصورة كبيرة في كل درجتي الحرارة بسبب وجود الأنزيمات بشكل أكبر في الكلى وأيضًا السموم من الجسم.😵‍💫
ولكن أيضًا التحلل كان بصورة أقل في درجة الحرارة المنخفضة..
(25 - 4)
لكن من جانب DNA 😍🧬
كانت الاستنتاجات أكثر وضوحًا -بالنسبة لي كأخصائي بصمة وراثية-
في الكبد كان التحلل بالتدريج في كل درجتي الحرارة ولكن وصل للتحلل الكامل بعد 36 ساعة في 4˚
أما بالنسبة للكلى التحلل بدأ بعد 6 ساعات في 4˚
وأخيرًا:
الفائدة من البحث كانت إننا نحدد أفضل عضو لأخذ العينات النسيجية والنووية منه حتى نحصل على معلومات منها. 🕵🏻‍♀️
وثانيًا من خلال التغيرات نعرف نحدد التغير حصل بأي فترة زمنية أقرب للصواب.. ⏳
أتمنى انكم استمتعتوا، وشكرًا لمروركم 🫶🏼🧬

جاري تحميل الاقتراحات...