MLT|جُوري الحربي🔬🧪
MLT|جُوري الحربي🔬🧪

@labspecialist3

6 تغريدة 7 قراءة Dec 01, 2023
في هذا الثريد،6انواع من انيميا تكسر الدم وايش سببها:🩸
1-Hereditary Shperocytosis(HS):
طفرة في جين معين يؤدي إلى زياده نفاذيه الصوديوم الى غشاء الخليه،بالتالي يصبح حجمها كبير
اهم الاختبارات:
١-الخلايا شكلهاspherocyte مما يؤدي الى زياده فيMCHC
٢-increase osmatic fragility test
2-Hereditary Eliptocytosis(HE):
طفره في الجين المسوول عن انتاج spectrin (الي له اهميه بالحفاظ على شكل الخلايا ومرونتها)
بالتالي هالطفره تؤدي الى بلوره الكلسترول وفي نهايه قطبي الخليه بدلًامن حول الخليه كامل، لذلك تظهر الخليه بالشكل هذا
اهم الاختبارات:
١- الخلايا شكلهاeliptocytes
3-Hereditary Acanthocytosis:
زياده في نسبه الكلسترول للlecithin في الغشاء نتيجه لزياده الدهون في الplasma
(Abetalipoproteinemia)
اهم الاختبارات :
١- شكل الخلايا acanthocyte
4-G6PD deficiency:
نقص في الglutathione بسبب نقص في تكوين ال NADPH, وهالشي يسبب اكسده الهيموقلوبين الىmethemoglobin
اهم الاختبارات :
١- CBC is normal unless patient has an epidsodes
٢- bite cell في الwright stain
٣- heinz bodies في الsupravital stain
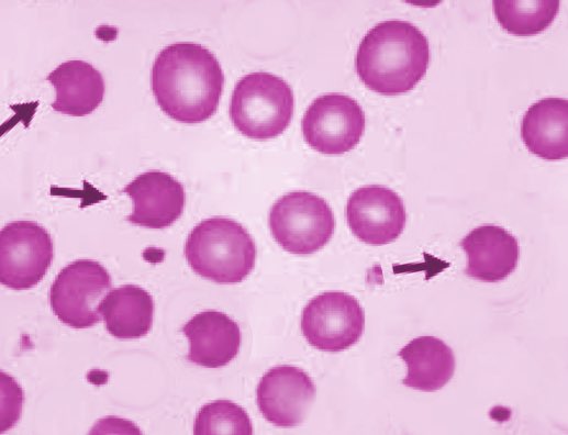
5- pyruvate kinase deficiency:
نقص في انتاج الطاقه ATP بسبب نقص في انزيم من انزيمات ال Embden-meyerhof pathway
وهالشي يسبب عدم القدره على التحكم في الصوديوم البوتاسيوم داخل الخليه
اهم الاختبارات :
١- achinocyte
6- paroxysmal nocturnal hemoglobinuria(PNH):
طفره في جين خلايا النخاع PIGA gene يؤدي الى زياده حساسيه الخلايا الى ال complement binding , فالخلايا يكون فيها نقص CD55و CD59 الي وظيفتهم الاساسيه يعملو تثبيط لل complement
اهم الاختبارات :
١- ham’s and suger water test positive

جاري تحميل الاقتراحات...