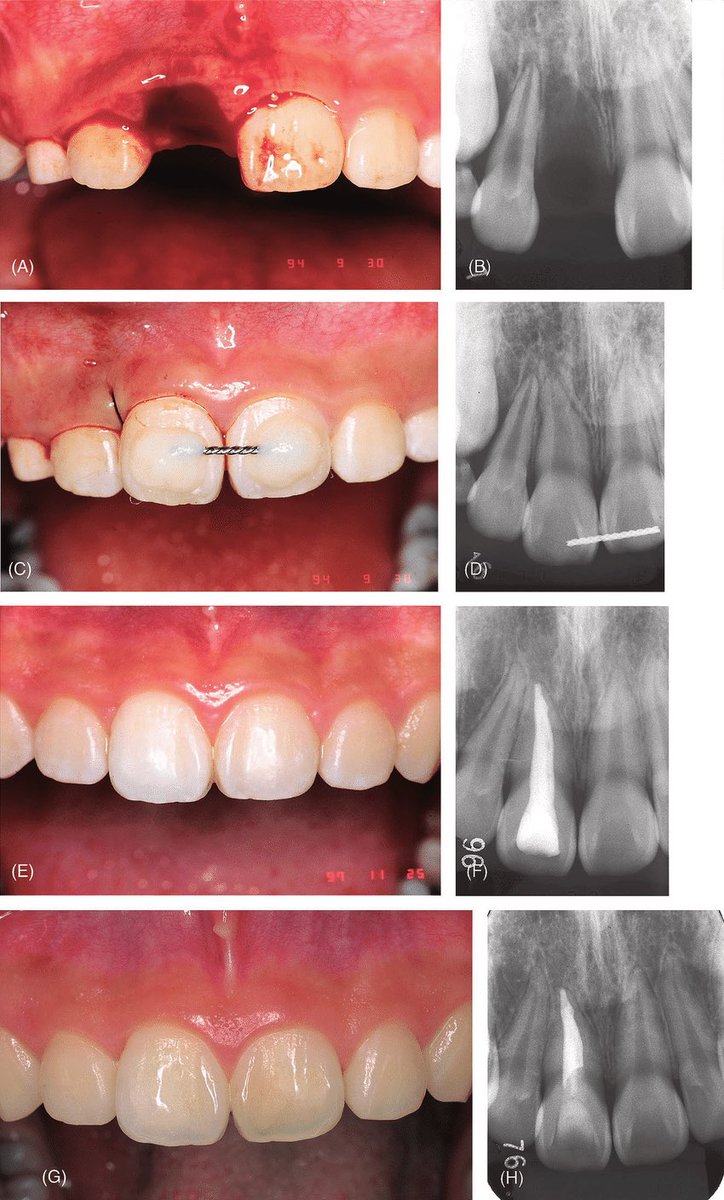
كلمني قبل فترة زميل لي وهو زعلان مرره ان بنته عمرها 10 سنوات طاحت و هي تجري على فمها و طارت الاسنان الاماميه الدايمه وجلسوا في البيت يهدوها و يخففوا عليها و هم حاطين الاسنان في علبه و للاسف كلمني بعد ما يقارب ٦ ساعات!
نصيحة نصيحة نصيحة!
في حال حصل معاك او مع قريب لك او صديق وفقد سن دايم (السن اللبني لا يتم ارجاعه) بسبب الاصابه هنا خطوات تساعدك على الحفاظ على السن بعد سقوطه باذن الله:
إذا سقط أحد الأسنان بسبب الإصابة، فمن المهم التصرف بسرعة للحفاظ على السن وزيادة فرص إعادة الزرع بنجاح. فيما يلي تعليمات خطوة بخطوة حول كيفية الحفاظ على السن بعد سقوطه:
1. حاول تهدي الطفل او اذا انت حاول تهدأ وتعامل مع السن بعناية.
- امسك السن من التاج (الجزء الأبيض الأملس) ولا لمس الجذر (الجزء المدبب المصفر) حيث قد لا تزال الأنسجة ملتصقة فيه.
2. اشطف (نظف) السن بلطف.
- استخدم الماء لشطف (لتنظيف) السن، لكن تجنب استخدام أي صابون أو منظفات أو ماء الصنبور بقوة، ولا تقم بفركه.
3. حافظ على رطوبة الأسنان.
- إذا أمكن، حاول إعادة إدخال السن في التجويف (مكان ما طلع منه) بلطف. وبعدها عض على قطعة من الشاش لتثبيته في مكانه.
- إذا لم يكن من الممكن إعادة الإدخال، حافظ على رطوبة السن بوضعه في وعاء مغلق به محلول ملحي. إذا لم يتوفر المحلول الملحي، يمكنك أيضًا وضع السن في كوب من الحليب. ودائماً تجنب استخدام الماء لتخزين السن.
4. رووح على طول لاقرب عيادة اسنان او طوارئ (اللي المفروض يعرفوا كيف يتعاملوا مع مثل هذي الحالات).
- او اتصل بطبيب أسنان الطوارئ الخاص بك على الفور لتحديد موعد.
- الوقت جداً مهم ، لذلك من المهم طلب المساعدة في أقرب وقت ممكن.
تذكر أن فرص نجاح إعادة زرع السن تقل مع كل دقيقة يخرج فيها السن من التجويف، لذلك من المهم التصرف بسرعة واتباع هذه الخطوات
#mahri_game
نصيحة نصيحة نصيحة!
في حال حصل معاك او مع قريب لك او صديق وفقد سن دايم (السن اللبني لا يتم ارجاعه) بسبب الاصابه هنا خطوات تساعدك على الحفاظ على السن بعد سقوطه باذن الله:
إذا سقط أحد الأسنان بسبب الإصابة، فمن المهم التصرف بسرعة للحفاظ على السن وزيادة فرص إعادة الزرع بنجاح. فيما يلي تعليمات خطوة بخطوة حول كيفية الحفاظ على السن بعد سقوطه:
1. حاول تهدي الطفل او اذا انت حاول تهدأ وتعامل مع السن بعناية.
- امسك السن من التاج (الجزء الأبيض الأملس) ولا لمس الجذر (الجزء المدبب المصفر) حيث قد لا تزال الأنسجة ملتصقة فيه.
2. اشطف (نظف) السن بلطف.
- استخدم الماء لشطف (لتنظيف) السن، لكن تجنب استخدام أي صابون أو منظفات أو ماء الصنبور بقوة، ولا تقم بفركه.
3. حافظ على رطوبة الأسنان.
- إذا أمكن، حاول إعادة إدخال السن في التجويف (مكان ما طلع منه) بلطف. وبعدها عض على قطعة من الشاش لتثبيته في مكانه.
- إذا لم يكن من الممكن إعادة الإدخال، حافظ على رطوبة السن بوضعه في وعاء مغلق به محلول ملحي. إذا لم يتوفر المحلول الملحي، يمكنك أيضًا وضع السن في كوب من الحليب. ودائماً تجنب استخدام الماء لتخزين السن.
4. رووح على طول لاقرب عيادة اسنان او طوارئ (اللي المفروض يعرفوا كيف يتعاملوا مع مثل هذي الحالات).
- او اتصل بطبيب أسنان الطوارئ الخاص بك على الفور لتحديد موعد.
- الوقت جداً مهم ، لذلك من المهم طلب المساعدة في أقرب وقت ممكن.
تذكر أن فرص نجاح إعادة زرع السن تقل مع كل دقيقة يخرج فيها السن من التجويف، لذلك من المهم التصرف بسرعة واتباع هذه الخطوات
#mahri_game
طبعاً فيه طريقة اخرى للحفاظ عليه وهي بوضعه تحت اللسان او في الفم مع اللعاب! برضه هذي تحافظ على السن.
جاري تحميل الاقتراحات...