Classic case, 1 image is all you need
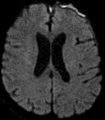
60 y/o with history of diabetes presents with progressive right proptosis, vision loss and confusion. What is the most likely diagnosis? 🧠
#ent #radres #futureradres #MedEd #neurology #Neurosurgery #medicine @HeadNeckRads @ASHNRSociety
60 y/o with history of diabetes presents with progressive right proptosis, vision loss and confusion. What is the most likely diagnosis? 🧠
#ent #radres #futureradres #MedEd #neurology #Neurosurgery #medicine @HeadNeckRads @ASHNRSociety
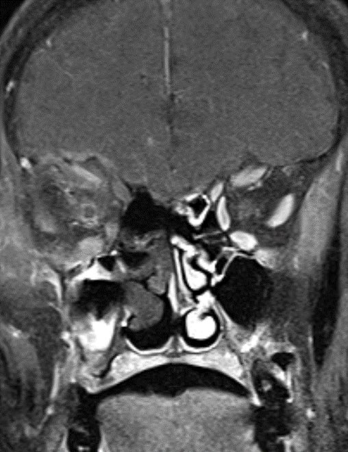
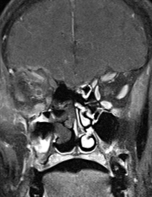
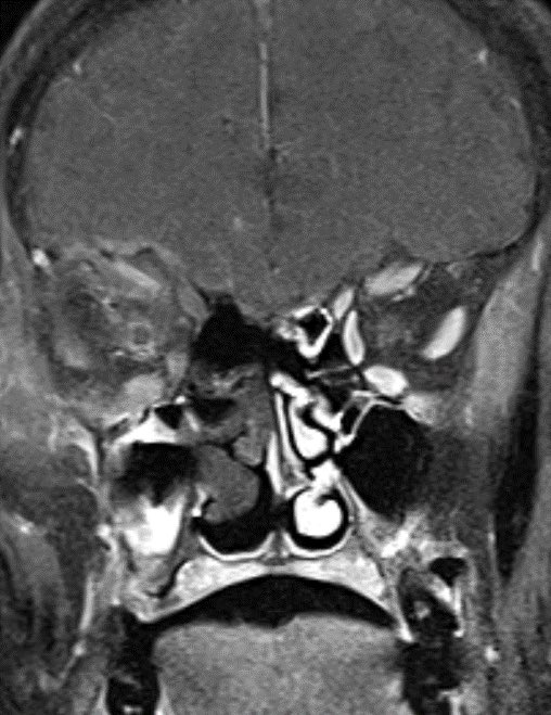
💡 Black Turbinate Sign has been reported as a finding highly suggestive of invasive fungal rhinosinusitis in immunocompromised patients
💡 Absent sinus mucosal enhancement is a 🔑 imaging feature as it implies invasion with vascular compromise and necrosis of the mucosa
💡 Absent sinus mucosal enhancement is a 🔑 imaging feature as it implies invasion with vascular compromise and necrosis of the mucosa
The black turbinate sign is very specific in the appropriate setting though often not seen
💡 We must look for extra sinus invasion, particular intracranially, intraorbital, retromaxillary and other areas of absent mucosal enhancement to aid in the diagnosis
💡 We must look for extra sinus invasion, particular intracranially, intraorbital, retromaxillary and other areas of absent mucosal enhancement to aid in the diagnosis
💡Benign turbinate nonenhancement can occur, look for:
1️⃣IMMUNOCOMPETENT host without clinical suspicion
2️⃣Improves over subsequent series
3️⃣Has preserved thin peripheral enhancement
4️⃣Often has thin internal septa
5️⃣Often occurs in the posterior aspect of the inferior turbinate
1️⃣IMMUNOCOMPETENT host without clinical suspicion
2️⃣Improves over subsequent series
3️⃣Has preserved thin peripheral enhancement
4️⃣Often has thin internal septa
5️⃣Often occurs in the posterior aspect of the inferior turbinate
ajnr.org/content/31/4/7…
The “Black Turbinate” Sign: An Early MR Imaging Finding of Nasal Mucormycosis
SUMMARY: Rhinocerebral mucormycosis is a rare angioinvasive fungal infection that has a strong predi...
ajnr.org/content/40/5/8…
The Black Turbinate Sign, A Potential Diagnostic Pitfall: Evaluation of the Normal Enhancement Patterns of the Nasal Turbinates
BACKGROUND AND PURPOSE: Lack of enhancement of a nasal turbinate on MR imaging, known as the black t...
جاري تحميل الاقتراحات...