Dr Ihab Suliman
Dr Ihab Suliman

@IhabFathiSulima

10 تغريدة 16 قراءة Aug 30, 2023
صدق او لا تصدق
كلنا ولدنا مرة واحدة.
لكن هذه الفتاة الصغيرة ولدت مرتين.
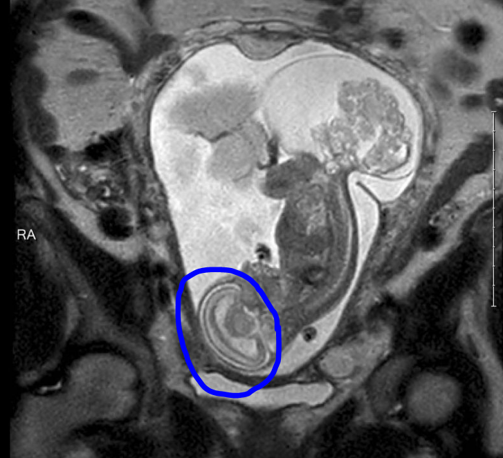
قام طبيب بإخراج طفلة من الرحم في الأسبوع 23 من الحمل ، وأجرى عملية جراحية عليه على عجل لإزالة الورم وإعادة الطفل إلى الرحم. في وقت لاحق ، ولدت الفتاة بصحة جيدة في الأسبوع 36 من الحمل.
ذهبت مارجريت بويمر لإجراء فحص روتيني بالموجات فوق الصوتية بعد 16 أسبوعًا من حملها مع طفلها الثالث. سرعان ما اكتشفت أن الأمور بعيدة كل البعد عن الروتين.
لقد رأوا شيئًا ما في الفحص ، وجاء الطبيب وأخبرنا أن هناك شيئًا خطيرًا في طفلنا وأن لديها #ورمًا_مسخيًا في #العصعص ، "بلانو ، تكساس ، قالت الأم في مقابلة شاركها مستشفى تكساس للأطفالبلانو ، تكساس ، قالت الأم في مقابلة شاركها مستشفى تكساس للأطفال. "وكان الأمر مروعًا ومخيفًا للغاية…
الورم #المسخي_العجزي_العصعصي هو ورم يتطور قبل الولادة وينمو من العصعص عند الطفل ، وهو عظم الذنب.
,قال الدكتور داريل كاس ، المدير المشارك لمركز تكساس للأطفال والأستاذ المساعد في الجراحة وطب الأطفال والتوليد وأمراض النساء في كلية بايلور للطب ، إن هذا هو الورم الأكثر شيوعًا الذي…
لسوء الحظ ، لم تكن هذه هي الأخبار السيئة الأولى عن حمل بويمر. في الأصل ، كانت حاملاً بتوأم ، لكنها فقدت أحد الأطفال قبل الثلث الثاني من الحمل.
قال كاس إن بعض هذه الأورام يمكن تحملها بشكل جيد للغاية ، لذا فإن الجنين يمتلكها ويمكن أن يولد معها ويمكننا إزالتها بعد ولادة الطفل.…
كانت في الأسبوع 23 و 5 أيام من الحمل عندما أجرى كاس جراحة الجنين الطارئة. بحلول هذا الوقت ، كان الورم أكبر من الجنين تقريبًا.
📷
كاس ود. أجرى أولوينكا أولوتوي ، شريكه الجراح ، عملية جراحية لمدة خمس ساعات.
أثناء الجراحة ، تباطأ قلب LynLee إلى معدل منخفض بشكل لا يصدق. قال كاس:…
كانت بويمر في الفراش بقية فترة حملها. على الرغم من ألمها ، حشدت قوتها وجعلتها من 12 أسبوعًا إلى ما يقرب من 36 أسبوعًا - فترة كاملة - عندما ولدت Lynlee Hope للمرة الثانية عبر قسم جراحة الولادة C / S في 6 يونيو.📷
قال كاس ، "بيبي بويمر لا تزال رضيعة ولكنها في حالة جيدة" ، مشيرةً…
أولوينكا أولوتوي، دكتور في الطب، دكتوراه.
رئيس الجراحين في مستشفى الأطفال الوطني
المستشفى الوطني للأطفال
كينغز كوليدج لاغوس
كولومبوس، أوهايو، الولايات المتحدة.
باختصار.
تعتبر الموجات فوق الصوتية المنتظمة قبل الولادة مهمة.
لقد تطورت جراحة الجنين خلال السنوات الماضية.
كلنا ولدنا مرة واحدة باستثناء القليل.
@rattibha

جاري تحميل الاقتراحات...