ما هي الفائدة الأساسية لتصوير الثدي بالأشعة السينية؟
إجابة
الغرض الأساسي من تصوير الثدي بالأشعة السينية هو الكشف عن سرطان الثدي.
ومن المفيد في تقييم كتلة الثدي واضحة.
ومن المفيد توجيه الإجراءات التشخيصية.
إجابة
الغرض الأساسي من تصوير الثدي بالأشعة السينية هو الكشف عن سرطان الثدي.
ومن المفيد في تقييم كتلة الثدي واضحة.
ومن المفيد توجيه الإجراءات التشخيصية.
كيف يختلف تصوير الثدي بالأشعة مع تقدم العمر؟
إجابة
عند النساء الشابات، قد يكون الثدي كثيفًا.
مع تقدم المرأة في العمر، يحدث ارتشاح دهني للثدي يرتبط بضمور الأنسجة الغدية.
تكون الدهون شفافة ومظلمة في تصوير الثدي بالأشعة السينية.
الأنسجة الغدية والسرطانية كثيفة وبيضاء في تصوير الثدي…
إجابة
عند النساء الشابات، قد يكون الثدي كثيفًا.
مع تقدم المرأة في العمر، يحدث ارتشاح دهني للثدي يرتبط بضمور الأنسجة الغدية.
تكون الدهون شفافة ومظلمة في تصوير الثدي بالأشعة السينية.
الأنسجة الغدية والسرطانية كثيفة وبيضاء في تصوير الثدي…
ثانوي:
التشوه
سماكة الجلد أو تراجعه
سماكة الحلمة والهالة
أنماط الأقنية غير طبيعية
اعتلال عقد لمفية
عدم تناسق أنسجة الثدي
التشوه
سماكة الجلد أو تراجعه
سماكة الحلمة والهالة
أنماط الأقنية غير طبيعية
اعتلال عقد لمفية
عدم تناسق أنسجة الثدي
ما هو النوع الأكثر شيوعاً من سرطان الثدي؟
إجابة
65-80% من سرطان الأقنية الغازية ينشأ من ظهارة قنوات الثدي.
03-14% سرطان فصي ينشأ السرطان الفصيصي الغازي من عنيبات فصيصات الثدي.
02-08% سرطان أنبوبي
أقل من 1% من سرطانات الثدي الغازية هي من أصل ساركومي أو من أصل لحمي متوسطي آخر.
إجابة
65-80% من سرطان الأقنية الغازية ينشأ من ظهارة قنوات الثدي.
03-14% سرطان فصي ينشأ السرطان الفصيصي الغازي من عنيبات فصيصات الثدي.
02-08% سرطان أنبوبي
أقل من 1% من سرطانات الثدي الغازية هي من أصل ساركومي أو من أصل لحمي متوسطي آخر.
ما هي الطريقة الأكثر فعالية للكشف عن سرطان الثدي؟
فحص الثدي السريري
التصوير بالرنين المغناطيسي
التصوير الشعاعي للثدي
الموجات فوق الصوتية
إجابة
التصوير الشعاعي للثدي
في حين أن جميع الطرق المذكورة أعلاه يمكن أن تكشف عن سرطان الثدي، إلا أن التصوير الشعاعي للثدي لا يزال هو المعيار…
فحص الثدي السريري
التصوير بالرنين المغناطيسي
التصوير الشعاعي للثدي
الموجات فوق الصوتية
إجابة
التصوير الشعاعي للثدي
في حين أن جميع الطرق المذكورة أعلاه يمكن أن تكشف عن سرطان الثدي، إلا أن التصوير الشعاعي للثدي لا يزال هو المعيار…
ما هي عوامل الخطر لسرطان الثدي؟
عوامل الخطر الرئيسية لسرطان الثدي هي:
التاريخ العائلي لقريب من الدرجة الأولى
التاريخ السابق للإصابة بسرطان الثدي المقابل
الحيض المبكر
انقطاع الطمث المتأخر
عدم الإنجاب
تاريخ سرطان بطانة الرحم
تزايد العمر: احتمالية الإصابة بسرطان الثدي على مدى 10…
عوامل الخطر الرئيسية لسرطان الثدي هي:
التاريخ العائلي لقريب من الدرجة الأولى
التاريخ السابق للإصابة بسرطان الثدي المقابل
الحيض المبكر
انقطاع الطمث المتأخر
عدم الإنجاب
تاريخ سرطان بطانة الرحم
تزايد العمر: احتمالية الإصابة بسرطان الثدي على مدى 10…
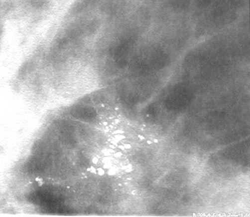
ما هي الظروف التي تؤدي إلى الشك الإيجابي الكاذب بسرطان الثدي؟
إجابة
يمكن للعديد من حالات الثدي الحميدة أن تنتج كثافة متصاعدة قد لا يمكن تمييزها في التصوير الشعاعي للثدي عن السرطان.
تمت مصادفة كثافة الكتلة الموضحة في:
تندب ما بعد الخزعة
نخر الدهون المؤلم
خراج الثدي
التصلب الغدي…
إجابة
يمكن للعديد من حالات الثدي الحميدة أن تنتج كثافة متصاعدة قد لا يمكن تمييزها في التصوير الشعاعي للثدي عن السرطان.
تمت مصادفة كثافة الكتلة الموضحة في:
تندب ما بعد الخزعة
نخر الدهون المؤلم
خراج الثدي
التصلب الغدي…
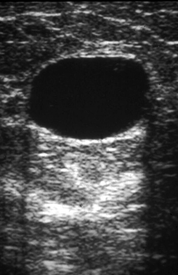
يكشف فحص الماموجرام عن وجود آفة مشبوهة بالسرطان في الثدي الأيسر. لا توجد كتلة واضحة. كيف يمكنك المضي قدما؟
إجابة
الخزعة الأساسية للتوجيه المجسم أو الموجات فوق الصوتية. أو
استئصال خزعة
يقوم أخصائي الأشعة بإجراء عملية توطين الإبرة أولاً.
يتم ضغط الثدي بحامل له إحداثيات على…
إجابة
الخزعة الأساسية للتوجيه المجسم أو الموجات فوق الصوتية. أو
استئصال خزعة
يقوم أخصائي الأشعة بإجراء عملية توطين الإبرة أولاً.
يتم ضغط الثدي بحامل له إحداثيات على…
Rattibha رتبها
@rattibha
REFERENCES
Grainger & Allison's Diagnostic Radiology: A Textbook of Medical Imaging, 4 th Edition . 2001. Churchill Livingstone, Inc., pp. 2240-2273.
Novelline, Robert A. Squire's Fundamentals of Radiology 5 th Edition . 1999. Harvard University Press,…
@rattibha
REFERENCES
Grainger & Allison's Diagnostic Radiology: A Textbook of Medical Imaging, 4 th Edition . 2001. Churchill Livingstone, Inc., pp. 2240-2273.
Novelline, Robert A. Squire's Fundamentals of Radiology 5 th Edition . 1999. Harvard University Press,…
جاري تحميل الاقتراحات...