Dr Ihab Suliman
Dr Ihab Suliman

@IhabFathiSulima

9 تغريدة 16 قراءة Aug 25, 2023
multiplesclerosisnewstoday.com
مبادئ توجيهية لتشخيص مرض التصلب العصبي المتعدد: معايير ماكدونالد
آخر تحديث في 13 أبريل 2023، بواسطة ماريسا ويكسلر، MS
✅ تم التحقق من صحة الحقائق بواسطة إينيس مارتينز، دكتوراه
ما هي معايير ماكدونالد؟ استخدام معايير ماكدونالد لتشخيص مرض التصلب العصبي…
ما هي معايير ماكدونالد؟
معايير ماكدونالد هي مجموعة من الإرشادات التي تتضمن التقييمات السريرية والمخبرية، بالإضافة إلى بيانات التصوير بالرنين المغناطيسي (MRI)، لتحديد تشخيص مرض التصلب العصبي المتعدد.
تم نشر النسخة الأولى من المعايير في عام 2001 من قبل فريق دولي بقيادة طبيب…
كيف يتم استخدام معايير ماكدونالد لتشخيص مرض التصلب العصبي المتعدد؟
للوفاء بتشخيص مرض التصلب العصبي المتعدد بناءً على معايير ماكدونالد لعام 2017، يجب أن يكون لدى الفرد:
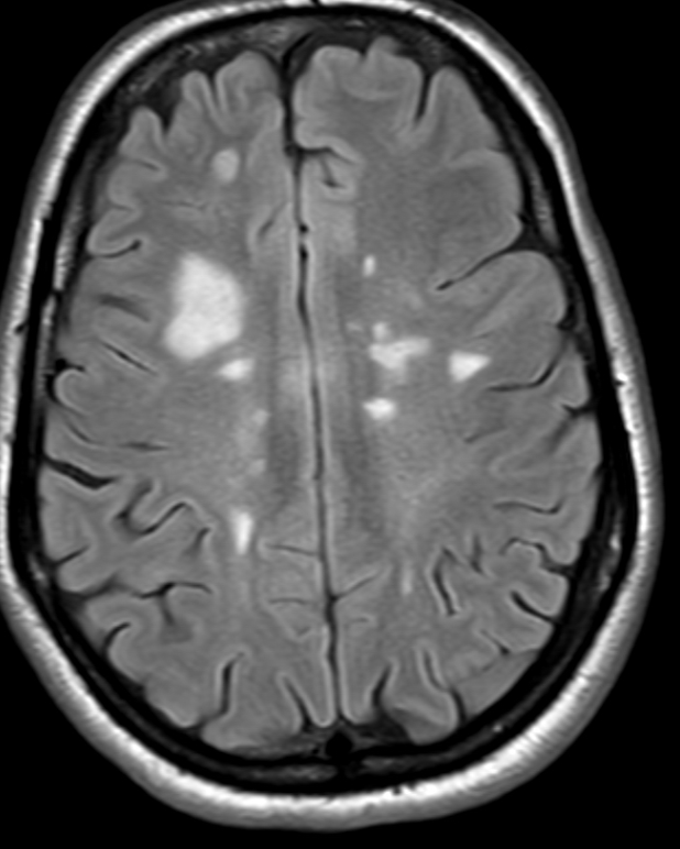
دليل على تلف الجهاز العصبي المركزي الذي ينتشر في الفضاء، أو يظهر في مناطق متعددة من الجهاز العصبي.
دليل على…
الانتشار في الفضاء
الانتشار في الفضاء يعني أن الضرر العصبي يحدث في أجزاء متعددة من الجهاز العصبي المركزي. على وجه التحديد، تحدد معايير 2017 الانتشار في الفضاء على أنه آفات مرضية في منطقتين على الأقل من أربع مناطق في الجهاز العصبي. تشمل هذه المناطق ثلاث مناطق من الدماغ (محيط…
النشر في الوقت المناسب
وبالمثل، فإن الانتشار في الوقت المناسب يعني أن الضرر العصبي يحدث في أكثر من نقطة زمنية واحدة. ويمكن إثبات ذلك إما من خلال تفاقم المرض الثاني، أو ظهور آفات جديدة في فحوصات التصوير بالرنين المغناطيسي، أو من خلال أدلة واضحة على تلف الدماغ الذي حدث في أوقات…
العصابات قليلة النسيلة
العصابات قليلة النسيلة هي أجسام مضادة (وتسمى أيضًا الجلوبيولينات المناعية) يتم اكتشافها بشكل مميز في السائل النخاعي (CSF) — السائل المحيط بالدماغ والحبل الشوكي — لدى الأشخاص المصابين بالتصلب المتعدد.
يدل وجود هذه البروتينات على التهاب الجهاز العصبي المركزي…
ماذا تعني النسخة المحدثة من معايير ماكدونالد لمرضى التصلب المتعدد؟
الإصدار المحدث لعام 2017 من معايير ماكدونالد، والذي يتبع مراجعة عام 2010، لا يبطل تحديد مرض التصلب العصبي المتعدد لأولئك الذين تم تشخيصهم مسبقًا بناءً على الإصدارات الأقدم من هذه المعايير.
وكان الهدف الرئيسي من…
مراجعات 2017 لمعايير ماكدونالد
على غرار المراجعة السابقة، تستمر معايير ماكدونالد لعام 2017 في تطبيقها بشكل أساسي على المرضى الذين يعانون من رابطة الدول المستقلة. وكانت التحديثات الرئيسية الثلاثة للمعايير، التي تركز على رابطة الدول المستقلة النموذجية، هي:
إن وجود نطاقات قليلة…
Rattibha رتبها
@rattibha

جاري تحميل الاقتراحات...