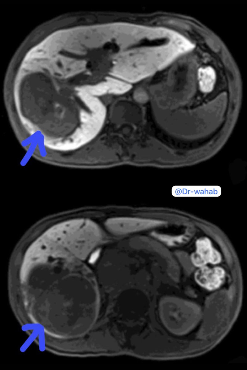
بفضل الله وتوفيقه .. أجرينا الإسبوع الماضي عملية متقدمة (بالمنظار) لإستئصال ورم سرطاني متقدم (بكامل الفص الأيمن من #الكبد ومتغلغل بالمرارة وملاصق للقولون الأيمن).
⬅️ سرطان القنوات الصفراوية / المرارية المتقدمة بالكبد
⬅️ Advanced Cholangiocarcinoma
⏺ لمريضه تبلغ من العمر ٥٠ عام،…
⬅️ سرطان القنوات الصفراوية / المرارية المتقدمة بالكبد
⬅️ Advanced Cholangiocarcinoma
⏺ لمريضه تبلغ من العمر ٥٠ عام،…
⏺ سرطان #القنوات_الصفراوية /المرارية داخل #الكبد:
هو نوع من سرطان القناة الصفراوية الناشئ من داخل الكبد (أي أن الورم يبدأ من القنوات الصفراوية / #المرارية داخل الكبد).
⏺ وهو من الأورام النادرة نوع ما ولكن يعد من الأورام الشرسه للأسف والتي تحتاج لمراكز متخصصة للتعامل معها بعد…
هو نوع من سرطان القناة الصفراوية الناشئ من داخل الكبد (أي أن الورم يبدأ من القنوات الصفراوية / #المرارية داخل الكبد).
⏺ وهو من الأورام النادرة نوع ما ولكن يعد من الأورام الشرسه للأسف والتي تحتاج لمراكز متخصصة للتعامل معها بعد…
📎 عوامل الخطورة للإصابة بهذا الورم غير واضحه المعالم بشكل دقيق .. ولكن تتلخص بالآتي:
1️⃣ التهاب وتصلب القنوات الصفراوية / المرارية المزمن.
2️⃣ تكيسات وتمدد #القنوات_المرارية المزمن.
3️⃣ #التدخين ‼️
4️⃣ تليف الكبد في بعض الحالات النادرة قد يكون سبب ايضا.
5️⃣ التهابات #الجهاز_الهضمي…
1️⃣ التهاب وتصلب القنوات الصفراوية / المرارية المزمن.
2️⃣ تكيسات وتمدد #القنوات_المرارية المزمن.
3️⃣ #التدخين ‼️
4️⃣ تليف الكبد في بعض الحالات النادرة قد يكون سبب ايضا.
5️⃣ التهابات #الجهاز_الهضمي…
✅ يعتبر الخيار الجراحي بالإستئصال الكامل للورم (إن أمكن) هو الحل الأفضل والأنسب 👍
⬅️ في حال أن الورم لم يصل لمرحلة الإنتشار الحقيقي بالجسم أو تغلغله بالاوردة والشرايين الرئيسية للكبد بشكل كامل وتام.
⬅️ لاسيما أن الإستجابة للعلاج #الكيماوي (بدون الخيار الجراحي) إستجابة ضعيفه…
⬅️ في حال أن الورم لم يصل لمرحلة الإنتشار الحقيقي بالجسم أو تغلغله بالاوردة والشرايين الرئيسية للكبد بشكل كامل وتام.
⬅️ لاسيما أن الإستجابة للعلاج #الكيماوي (بدون الخيار الجراحي) إستجابة ضعيفه…
🔆✅ تعد تقنية استئصال #الاورام من الكبد جراحيا (#بالمنظار) من العوامل المساعدة بشكل كبير للتقليل من مضاعفات ما بعد العمليه:
⬅️ لاسيما لمن يعانون من #تليف_الكبد بمراحله الأولى والتي قد تتطور لعدم قدرة الكبد للتعامل مع متطلبات الجسم في وجود الشق الجراحي الكبير (المستخدم لجراحات…
⬅️ لاسيما لمن يعانون من #تليف_الكبد بمراحله الأولى والتي قد تتطور لعدم قدرة الكبد للتعامل مع متطلبات الجسم في وجود الشق الجراحي الكبير (المستخدم لجراحات…
🔆 تنوية أخير:
✅ المهم في مثل هذه الحالات بعد توفيق الله .. هو أمرين :
🗝 الأول: #التشخيص_المبكر لمثل هذه #الأورام .. و الحرص على عمل الفحوصات المناسبة حين الإشتباه في وجود أعراض هذه الأورام لاسيما لمن تجاوز عمر ٥٠ عام.
🗝 الثاني: سرعة تحويل المرضى ل #المراكز_التخصصية لمثل…
✅ المهم في مثل هذه الحالات بعد توفيق الله .. هو أمرين :
🗝 الأول: #التشخيص_المبكر لمثل هذه #الأورام .. و الحرص على عمل الفحوصات المناسبة حين الإشتباه في وجود أعراض هذه الأورام لاسيما لمن تجاوز عمر ٥٠ عام.
🗝 الثاني: سرعة تحويل المرضى ل #المراكز_التخصصية لمثل…
🌐 أخيرا :
بفضل الله و توفيقه 🤲🏻 ثم بدعم حكومتنا الرشيدة تعد #المملكة_العربية_السعودية 🇸🇦 من #الدول_المتقدمة جدا على مستوى #العالم 👌🏻 في التعامل مع مثل هذه الحالات المتقدمة من أورام #الكبد و يوجود العديد من #المراكز_المتخصصة لمثل هذه الحالات وبمستوى عالي.
نسال الله لنا ولكم…
بفضل الله و توفيقه 🤲🏻 ثم بدعم حكومتنا الرشيدة تعد #المملكة_العربية_السعودية 🇸🇦 من #الدول_المتقدمة جدا على مستوى #العالم 👌🏻 في التعامل مع مثل هذه الحالات المتقدمة من أورام #الكبد و يوجود العديد من #المراكز_المتخصصة لمثل هذه الحالات وبمستوى عالي.
نسال الله لنا ولكم…
جاري تحميل الاقتراحات...