ريان | MD1TALK🌟
ريان | MD1TALK🌟

@md1talk

14 تغريدة 12 قراءة Jul 15, 2023
بوريكم كيف كرزدنت باطنية اقرا الاشعة المقطعية للراس، بشكل مرتب وبسيط ويمشي مع السرعة المطلوبة يوم تكون مناوب
هذا الثريد راح يكون مهم ومفيد، فضلوه اذا مافي وقت تقرؤونه الحين وارجعوا له بعدين.
قبل لا نبدأ،
في كتاب learning radiology بشارككم عبارة جميلة في مقدمة التشابتر الأول للكتاب
نبدأ بأشعة مقطعية طبيعية للرأس
Normal head CT scan
Non contrast
صور جدا مفيدة للاناتومي: 👇🏻
أول ماتشوف CT head تذكر الميمونيك الاتي:
Blood Can Be Very Bad
وكل حرف يعني شيء راح ندور عليه بالأشعة
أول حرف وكلمة وأهمّهمْ  Blood
بالذات في حالات الطوارئ

تأكد دايم ان مافيه دم بالأشعة
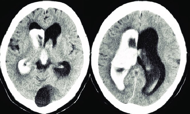
أنواع hematomas والأشعة لكل نوع 
في الهيستوري، اشياء مهم تسال عنها وممكن تعطيك فكره عن التشخيص 👇🏻
الحرف الثاني هو ال “C”
ويقصد فيه Cisterns
عبارة عن مساحات مليانة "CSF” ومتصلة ببعض عشان ال CSF circulation تمشي بسلاسة
Related pathology

Mass effect and ICP effacing 1 or more of the cisterns
Subarachnoid hemorrhage
arachnoid cyst
الحرف الثالث هو ال “B”
ونقصد فيه الBrain 
لازم نتأكد من عدم وجود:
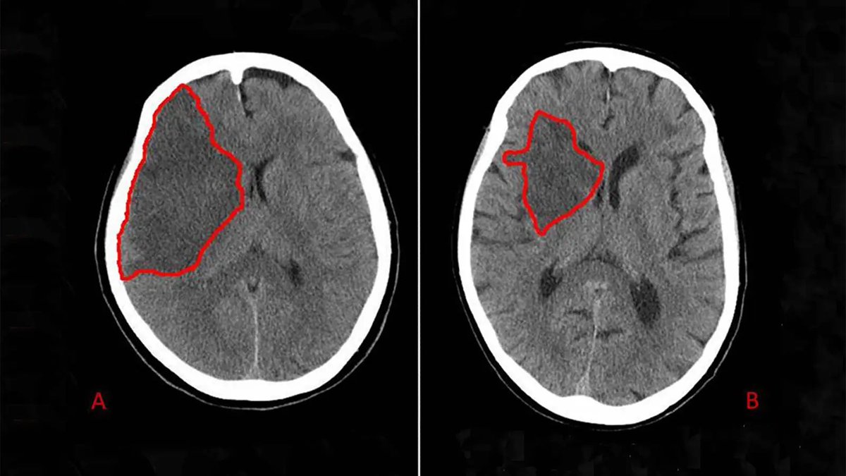
 1) Midline shift / herniation
 2) loss of Grey-white matter differentiation
 وحدة من علامات الستروك "early sign”
3)brain atrophy
4)Hypo/hyper dense areas
The following will be hyper-dense in CT head:
Blood (especially if it was recent)
Calcification
IV Contrast
Hypodense:
Fat
Tumors
Air/gas
CNS tissue after infarct
الحرف الرابع "V”
ويقصد فيه ال Ventricle
لازم نستبعد ان مافي دم في الحجرات زي اللي يصير في حالات
 Interventricular hemorrhage
 ولازم نركز على حجم حجرات الدماغ ونتأكد أنها متساوية
ومافي hydrocephalus
اخر شيء ال Bones
لازم نستبعد وجود كسور في عظم الجمجمة أو وجود هواء داخل الرأس 
Pneumocephalus
راح نكمل الثريد بصور مهمة في الاختبارات في الليل 🌟🌟

جاري تحميل الاقتراحات...