وزارة الصحة أنشأت برنامج صحي ضخم للوقاية من الهربس النطاقي المعروف بـ #الحزام_الناري
تم تفعيل البرنامج الوقائي في معظم مراكز الرعاية الصحية الأولية بالمملكة🇸🇦
خلوني أقولكم ليش الوزارة مهتمة بهذا البرنامج وحريصة على زيادة أعداد المحصنين في المجتمع؟
تم تفعيل البرنامج الوقائي في معظم مراكز الرعاية الصحية الأولية بالمملكة🇸🇦
خلوني أقولكم ليش الوزارة مهتمة بهذا البرنامج وحريصة على زيادة أعداد المحصنين في المجتمع؟
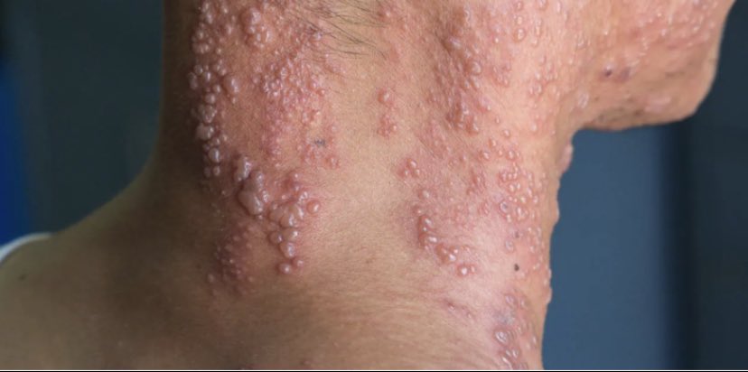
مرض الهربس النطاقي ينتج عن نشاط فايروس جدري الماء النطاقي وهو نفس الفايروس المسبب للعنقز
الإصابة الأولية بفيروس جدري الماء (العنقز)
وبعد التعافي يبقى الفايروس كامناً في العقدة الجذرية الظهرية، وقد ينشط الفايروس عند التقدم بالعمر مسبباً طفحاً جلدياً مؤلماً يسمى بالحزام الناري.
الإصابة الأولية بفيروس جدري الماء (العنقز)
وبعد التعافي يبقى الفايروس كامناً في العقدة الجذرية الظهرية، وقد ينشط الفايروس عند التقدم بالعمر مسبباً طفحاً جلدياً مؤلماً يسمى بالحزام الناري.
مضاعفات المرض قد تكون:
•جلدية •عصبية •بصرية •حشوية
-يعد الألم العصبي هو أشهر مضاعفات الهربس النطاقي ويمكن أن يبقى الألم لشهور أو حتى سنوات
تتضمن المضاعفات الأخرى:
-العدوى البكتيرية الثانوية
-المضاعفات البصرية مثل فقدان البصر
-مختلف درجات الشلل الجزئي
-التهاب الدماغ وشلل الوجه
•جلدية •عصبية •بصرية •حشوية
-يعد الألم العصبي هو أشهر مضاعفات الهربس النطاقي ويمكن أن يبقى الألم لشهور أو حتى سنوات
تتضمن المضاعفات الأخرى:
-العدوى البكتيرية الثانوية
-المضاعفات البصرية مثل فقدان البصر
-مختلف درجات الشلل الجزئي
-التهاب الدماغ وشلل الوجه
الأشخاص المؤهلين لتلقي اللقاح:
•البالغون 50 عاماً أو أكثر
•البالغون الذين تصل أعمارهم 18 عاماً أو أكثر إذا كانوا معرضين بشكل أكبر للإصابة مثل مرضى نقص المناعة
موانع الإستعمال:
-الأشخاص الذين يعانون من حساسية شديدة لأي من مكونات اللقاح
-الأشخاص المصابين بالحزام الناري
-الحامل🤰🏻
•البالغون 50 عاماً أو أكثر
•البالغون الذين تصل أعمارهم 18 عاماً أو أكثر إذا كانوا معرضين بشكل أكبر للإصابة مثل مرضى نقص المناعة
موانع الإستعمال:
-الأشخاص الذين يعانون من حساسية شديدة لأي من مكونات اللقاح
-الأشخاص المصابين بالحزام الناري
-الحامل🤰🏻
فاعلية اللقاح في الوقاية من الحزام الناري:
91%-97%✅
فاعلية اللقاح في تقليل ألم الأعصاب التالي للهربس:
89%-91%✅
الأعراض الجانبية للقاح:
-الإحمرار، الحكة أو التورم في مكان الحقن
-الشعور بالإرهاق
-القشعريرة والحمى
-ألم العضلات
-الصداع
-أعراض متعلقة بالجهاز الهضمي
91%-97%✅
فاعلية اللقاح في تقليل ألم الأعصاب التالي للهربس:
89%-91%✅
الأعراض الجانبية للقاح:
-الإحمرار، الحكة أو التورم في مكان الحقن
-الشعور بالإرهاق
-القشعريرة والحمى
-ألم العضلات
-الصداع
-أعراض متعلقة بالجهاز الهضمي
هل يستطيع المصاب بالحزام الناري أخذ اللقاح؟
• لا يجب إعطاء اللقاح لشخص يعاني حالياً من نوبة حزام ناري حادة، كما أن اللقاح ليس علاجاً لمرض الحزام الناري أو لألم العصب التالي للهربس
• حسب تعليمات CDC يجب الإنتظار لحين إنتهاء المرحلة الحادة للمرض وإختفاء الأعراض.
• لا يجب إعطاء اللقاح لشخص يعاني حالياً من نوبة حزام ناري حادة، كما أن اللقاح ليس علاجاً لمرض الحزام الناري أو لألم العصب التالي للهربس
• حسب تعليمات CDC يجب الإنتظار لحين إنتهاء المرحلة الحادة للمرض وإختفاء الأعراض.
هل اللقاح آمن للمصابين بالأمراض المزمنة؟
نعم✅
يمكن أن يتلقى اللقاح البالغين المصابين بالأمراض المزمنة مثل الفشل الكلوي المزمن، داء السكري، إلتهاب المفاصل الروماتويدي، الأمراض الرئوية المزمنة، أمراض نقص المناعة.
• قم بإستشارة طبيبك عن أخذ اللقاح •
نعم✅
يمكن أن يتلقى اللقاح البالغين المصابين بالأمراض المزمنة مثل الفشل الكلوي المزمن، داء السكري، إلتهاب المفاصل الروماتويدي، الأمراض الرئوية المزمنة، أمراض نقص المناعة.
• قم بإستشارة طبيبك عن أخذ اللقاح •
هل يمكن أخذ لقاح آخر مع لقاح الحزام الناري؟
يمكن مع لقاح الانفلونزا الموسمية، لقاح التيتانوس، لقاح السعال الديكي اللاخلوي، لقاح السكاريد المكورات الرئوية، لقاح مضاد للدفتيريا
بشرط أن تكون المسافة بين مواضع حقن اللقاحين (3 سم أو أكثر) أو إعطائها في اليد الأخرى
يمكن مع لقاح الانفلونزا الموسمية، لقاح التيتانوس، لقاح السعال الديكي اللاخلوي، لقاح السكاريد المكورات الرئوية، لقاح مضاد للدفتيريا
بشرط أن تكون المسافة بين مواضع حقن اللقاحين (3 سم أو أكثر) أو إعطائها في اليد الأخرى
جاري تحميل الاقتراحات...