د. عبدالمجيد الفاخري (دكتور شبكية)
د. عبدالمجيد الفاخري (دكتور شبكية)

@AlFakhriA

7 تغريدة 13 قراءة Jun 20, 2023
قصر النظر العالي (وقصر النظر المرَضي)
هل هو مجرد مقاس نظارة؟ ام يعتبر امر مختلف ؟
هل يمنع من تصحيح النظر ؟
#ثريد
#صحة_العيون
#صوت_الطبيب
1️⃣ ماهو قصر النظر العالي والمرضي؟
يعتبر قصر النظر عالي اذا تجاوز -٦ او الحجم الطولي للعين ٢٦.٥مم او اكثر ، ويعتبر مرضي اذا صاحبه تغيّرات مرضيّة في الشبكية
قصر النظر العالي يؤثر على ٠.٢٪ الى ٣٪ من الناس تختلف باختلاف العرق
2️⃣ المسببات
العوامل الجينية والوراثية وبعض الطفرات الجينية هي السبب الاساسي مع وجود تاثير للعوامل السلوكية مثل النظر القريب بكثرة في عمر الطفولة المبكرة ، وايضاً عدم البقاء في الاماكن المفتوحة وقت النهار للاطفال (حسب بعض الدراسات)
3️⃣ الاعراض
في الغالب الاعراض قصر نظر عالي بدون اعراض اخرى،
قد يزداد مع الوقت والعمر (بعض الاشخاص يكون مقاس النظارة يستمر بالازدياد طول العمر)
تموّج (تعرجات) في الرؤية (في حال حدوث مضاعفات مثل الاوعية الدموية في الشبكية)
4️⃣ هل يمنع قصر النظر العالي / المرضي من تصحيح النظر ؟
في الغالب لايمنع من تصحيح النظر، ولكن الدرجات العالية قد لايناسبها تصحيح النظر عن طريق الليزر السطحي او الليزك وقد تحتاج لزراعة عدسة
مهم جداً فحص الشبكية واطرافها بشكل جيد وعلاجها في حال وجود اي ثقوب قبل تصحيح النظر
مع العلم ان تصحيح النظر لايعالج مشاكل الشبكية
5️⃣ المضاعفات المحتملة
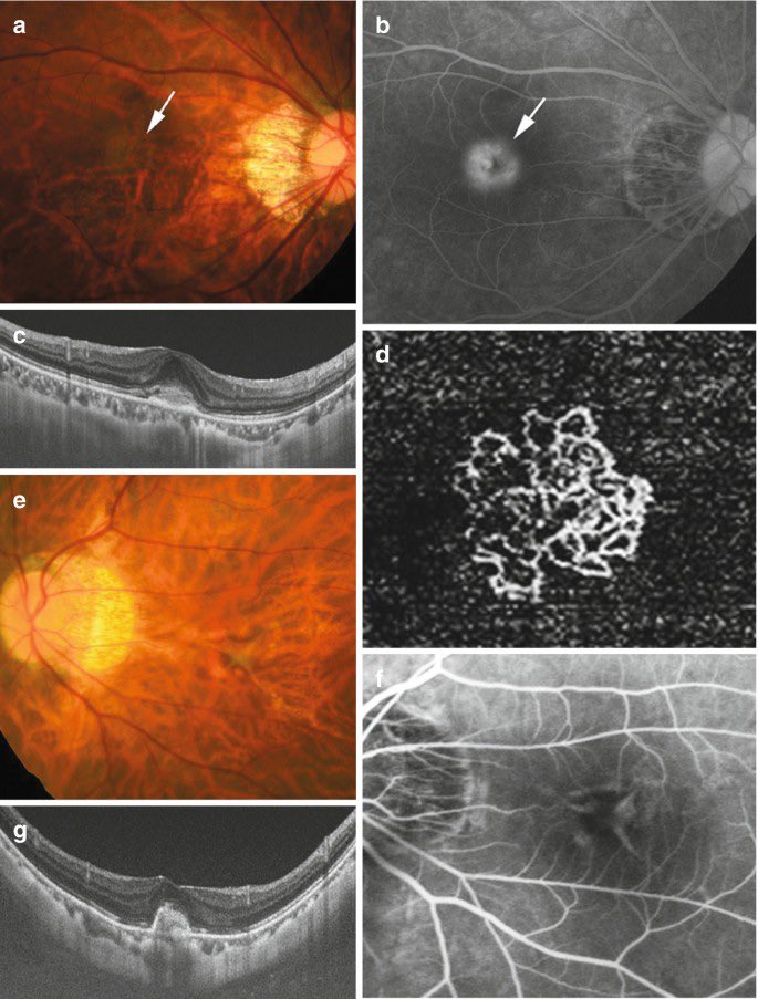
احد المضاعفات الخطيرة المحتملة هي نمو اوعية دموية من مشيمة العين الى الشبكية، وتسبب ضعف الرؤية وتموجها
وتعتبر حالة طارئة تستدعي العلاج الفوري عن طريق حقن العين بعلاج والمتابعة، استجابة الاوعية الدموية للحقن في حالات قصر النظر العالي تعتبر ممتازة وسريعة في غالب الحالات
6️⃣ هل يوجد علاج نهائي لقصر النظر المرَضي؟
حتى الان لايوجد علاج نهائي ، ولكن يوجد ابحاث واعدة
والعلاج يكون موجه للمضاعفات المحتملة سواءا بعلاجات حقن او ليزر او جراحة
مع تمنياتنا لكم بدوام الصحة والعافية

جاري تحميل الاقتراحات...