نسرين🇸🇦
نسرين🇸🇦

@48Nasreen

9 تغريدة 17 قراءة May 27, 2023
هل يمكن للنبات تنمو داخل جسم الانسان ؟
نعم ، يمكن للنباتات أن تنمو داخل أجسام الإنسان. إليكم ما حدث . وهذه مجرد واحدة من العديد من الحالات التي تم العثور فيها على نباتات تنمو في أجسام البشر.
⬇️⬇️
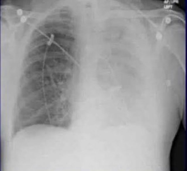
كان رون سفيدن ، البالغ من العمر 75 عامًا من ماساتشوستس ، يعاني من ضيق في التنفس لمدة شهرين. ثم بدأت حالته تتدهور. بدأ في السعال بلا انقطاع ذات يوم. كان ذلك عندما علم أنه شيء خطير.
تم نقله إلى المستشفى ، وقام الأطباء بأخذ صورة بالأشعة السينية. ووجدوا أن إحدى رئتيه قد انهارت وشوهدت بقعة صغيرة على الأشعة السينية كان سفيدن متأكدًا الآن من أنه مصاب بالسرطان. لقد انتظر فقط حتى يتحدث الأطباء.
تبين أن اختبار السرطان كان سلبيا. وبدلاً من ذلك ، وجد الأطباء نبتة بازلاء تنمو من رئتيه. افترض الأطباء أن حبة البازلاء قد سقطت في الحفرة الخطأ في وقت ما
يبدو أن الظروف الدافئة والرطبة داخل الرئة جعلت منها مكانًا مثاليًا لنمو نبات البازلاء. بعد عملية جراحية بسيطة إلى حد ما ، تمت إزالة نبات البازلاء بطول 1.25 سم من رئته.
وقصة اخرى ل رجل تايواني يبلغ من العمر 36 عامًا يعاني من ألم شديد في الأسنان طلب المساعدة من طبيب أسنان . قام طبيب الأسنان بخلع ضرس العقل من الرجل و وجد نبتة جوافة تنمو منه. اتضح أن الرجل لم يكن يعاني من سوء نظافة فمه فحسب
بل كان ضرس عقله السفلي مفقودًا ، لذلك بعد أن علقت البذرة ، كان لديها مجال للنمو. تشير التقديرات إلى أن نبتة الجوافة كان عمره حوالي 10 أيام
سنابي انزل ثريداتي ومعلومات غريبة :
snapchat.com

جاري تحميل الاقتراحات...