التهابات عنبية العين (المناعية والعدوى)
ثريد (مبسّط) يشمل:
بعض المسببات المناعية
مرض بهجت، مرض كرون، داء الذئبة الحمراء، مرض ساركويد ، الروماتيزم ، التهابات اسفل الظهر المناعية، VKH
بعض المسببات الجوثومية
التهابات الفيروسية (هربس) ، الدرن، جرثومة التوكسو
#صحة_العيون
#صوت_الطبيب
ثريد (مبسّط) يشمل:
بعض المسببات المناعية
مرض بهجت، مرض كرون، داء الذئبة الحمراء، مرض ساركويد ، الروماتيزم ، التهابات اسفل الظهر المناعية، VKH
بعض المسببات الجوثومية
التهابات الفيروسية (هربس) ، الدرن، جرثومة التوكسو
#صحة_العيون
#صوت_الطبيب
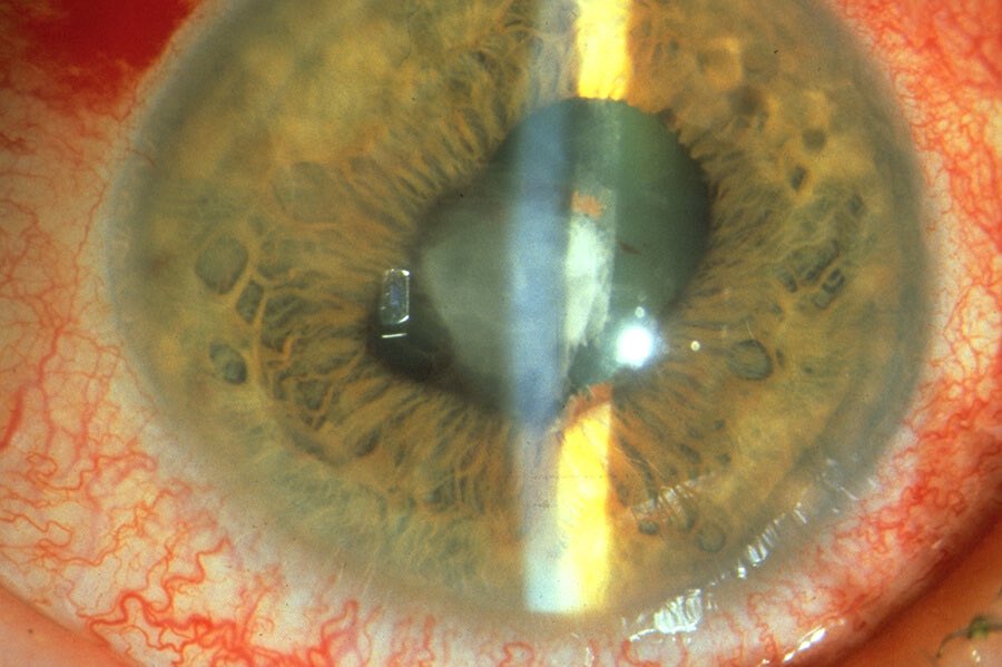
1️⃣ ماهي التهابات عنبية العين ؟
هيمجموعة متنوعة من التهابات مناعية او جرثومية تتفاوت بدرجة كبيرة في الشدة، بعضها بسيط لايسبب اي اثار جانبية وبعضها يتطلب علاجات مناعية قوية (بيولوجية وخافضات للمنافعة) وان لم يعالج قد يسبب العمى لا سمح الله
بعضها يؤثر فقط على مقدمة العين، وبعضها يؤثر على الشبكية ومشيمة العين
هيمجموعة متنوعة من التهابات مناعية او جرثومية تتفاوت بدرجة كبيرة في الشدة، بعضها بسيط لايسبب اي اثار جانبية وبعضها يتطلب علاجات مناعية قوية (بيولوجية وخافضات للمنافعة) وان لم يعالج قد يسبب العمى لا سمح الله
بعضها يؤثر فقط على مقدمة العين، وبعضها يؤثر على الشبكية ومشيمة العين
4️⃣ العلاج
يختلف بحسب الحالة، والافضل دائماً العلاج عند طبيب مختص بالتهابات عنبية العين ،
العلاج يتفاوت بحسب الحالة، بعض الحالات البسيطة قد تحتاج لكورس من قطرات الكورتيزون فقط، واخرى قد تتطلب تنويم مع اجراء فحوصات مناعية وجرثومية شاملة والعلاج بمضادات حيوية بالوريد مع خافضات المناعة على مدى اشهر وسنوات بحسب المرض المسبب
يختلف بحسب الحالة، والافضل دائماً العلاج عند طبيب مختص بالتهابات عنبية العين ،
العلاج يتفاوت بحسب الحالة، بعض الحالات البسيطة قد تحتاج لكورس من قطرات الكورتيزون فقط، واخرى قد تتطلب تنويم مع اجراء فحوصات مناعية وجرثومية شاملة والعلاج بمضادات حيوية بالوريد مع خافضات المناعة على مدى اشهر وسنوات بحسب المرض المسبب
5️⃣ هل يتحسن النظر مع العلاج؟
يعتمد بدرجة كبيرة على سرعة التشخيص والعلاج، ونوع المرض المسبب، وسلامة مركز الابصار ، في غالب الحالات اذا تمت معالجتها بشكل مبكر تتحسن بدرجة كبيرة والبعض يسترد بصره ٦/٦ باذن الله
يعتمد بدرجة كبيرة على سرعة التشخيص والعلاج، ونوع المرض المسبب، وسلامة مركز الابصار ، في غالب الحالات اذا تمت معالجتها بشكل مبكر تتحسن بدرجة كبيرة والبعض يسترد بصره ٦/٦ باذن الله
الثريد معلومات عامة وتوجيه لمن سبق واصيب بامراض عنبية العين، قد يصعب التفصيل في كل مرض لانها امور علمية بحتة وتختلف بدرجة كبيرة من حالة لحالة
وبالسلامة للجميع
وبالسلامة للجميع
جاري تحميل الاقتراحات...