Dr Ihab Suliman
Dr Ihab Suliman

@IhabFathiSulima

5 تغريدة 3 قراءة Apr 20, 2023
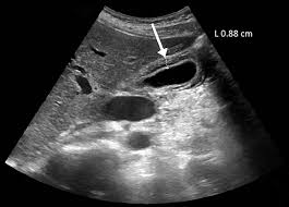
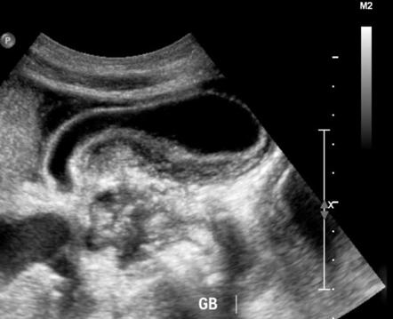
تحدث في 10٪ من حالات التهاب المرارة. التهاب حاد في المرارة في حالة #عدم وجود #حصوات في #المرارة. عادة ما يكون المرضى في حالة حرجة من مرض تصلب الشرايين في القلب ، أو الصدمة الحديثة ، أو الإصابة بالحروق ، أو الجراحة ، أو عدم استقرار الدورة الدموية.
قد يكون ظهور التهاب المرارة الشوكي الحاد خبيثًا ، ويتميز بحمى غير مفسرة ، أو زيادة عدد الكريات البيضاء ، أو فرط #أميلاز الدم ، أو ناقلات أمين غير طبيعية ، وغالبًا ما يفتقر المرضى إلى حنان الربع العلوي الأيمن.
يشمل التقييم التشخيصي التصوير بالموجات فوق الصوتية والتصوير المقطعي المحوسب وتصوير الأوعية الصفراوية.
يتكون العلاج النهائي من استئصال المرارة أو أنبوب تصريف المرارة في حالة المرشحين الجراحية الضعيفة. يعد العلاج بالمنظار مع التصريف والغسيل من القنوات الصفراوية خيارًا علاجيًا فعالًا للمرضى غير القادرين على تحمل الجراحة أو فغر المرارة.

جاري تحميل الاقتراحات...