Dr.Raad Madkhali د.رعد مدخلي
Dr.Raad Madkhali د.رعد مدخلي

@MadkhaliDr

12 تغريدة 26 قراءة Mar 19, 2023
عمرها ٣٩معاناة مزمنه مع مرض مناعي ذاتي سبق ان خضعت لعملية شق الصدر لإزالة جلطة رئوية في أمريكا. ضعف في القلب مشاكل في الصمام إنسداد في اكبر شريان في الجسم الأبهر و الحرشفي ضعف شديد في ترويت القدمين .. بدأت تزداد الأعراض سواءً و بدأت تفقد انسجة القدم الخيار الجراحي غير متاح لها 😔
قبل البداء في قراءة الثريد
تجد في حسابي قصص لمرضى استفادوا من خيارات العلاج بالأشعة التداخلية .. تتعرف على خياراتك العلاجية بالأشعة التداخلية و القسطرة اغلب الأحيان لم تعرض عليك .. قصص و طرائف من أروقة المستشفى. اقدم الراي الثاني في التشخيص اشعة الجسم للمتابعين 🌹
بعد الاستعانه بالله رب العالمين تم مراجعة حالتها و دراسة الأشعة المقطعية و التخطيط للعلاج بالأشعة التداخلية و القسطرة و التخطيط لبناء الشريان الأبهر اكبر شريان في الجسم
أختي الكريمة معرفا بنفسي و في داخلي معترفا بضعفي و فقري الى الله اليوم سوف اقوم بعملية بناء الشريان الأبهر و الحرشفي للمحافظة على انسجة القدمين تحسين تروية القدمين شرح للخطوات و المضاعفات و النتائج المتوقعة قبل التوقيع على الإجراء
قاطعتني في الحديث دكتور قلت نعم، قالت: اعطني اوقع ما يكون من ربي إلا كل خير انا متوكله على ربي و لن اضيع. بسم و على بركة الله توكلنا على الله جميعا.
تم ادخالها غرفة القسطرة و التخدير و تحضير الأدوات و الدعامات و القساطر و مضخات التصوير مراجعات أخيرة للأشعة المقطعية ثم التعقيم
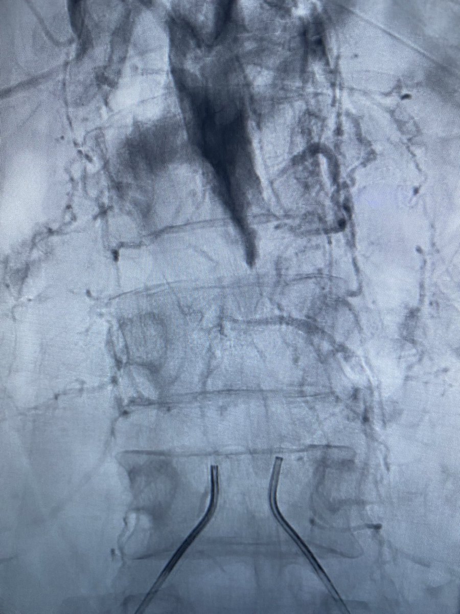
تم الدخوول من شريان الفخذ الأيمن لوصول الى الأبهر فشلت المحاولة ثم المحاولة من شريان الفخذ الأيسر و للأسف فشلت جميع المحاولات للعبور الانسدادات طويلة و مزمنة … المريضة تفقد انسجة القدم تدريجيا و يزداد سوءً يوما بعد يوم قرار التوقف و الاكتفاء بالمحاولة صعب جدا.
خرجت من القسطرة للمشاورة مع @MohmadAlmoaiql المريضة تحت التخدير العام قال لابد من فتح الشريان الوقوف يعني فقد القدمين. دعني البس واقي الأشعة و نعيد التخطيط بدل استشاري واحد نعمل مع بعض و نغير المحاور من محورين دعني اعمل من شريان الذراع و انت من الفخذين لعل الله يكتب النجاح
تم المحاورة من شريان الذراع و الفخد اشتدت المحاولة كانت أقرب الى معركة داخل الغرفة منها الى عملية بعد برهه من الزمن بفضل الله تلاقينا مع بعض كانت فرحه اعطتنا طاقة المواصله
الحمدلله تم العبور الى شريان اليسار و من ثم العبور الى شريان اليمين اعادة التصوير ثم التوسيع ثم التخطيط لمنطقة الهبوط بالدعامة ثم اعادة بناءً الشريان الابهر و الحرشفي معا بفضل ربي.
كانت دقائق صمت و تفكير . بسم الله قبل التصوير النهائي دقات القلب تزداد كانت خوف ممزوج بفرح اي انفجار في الشريان يكلف الكثير .. بسم الله تصوير يا الله يا لجمال النتيجة 😍 الزملاء يتابعون بشوق من غرفة التحكم كانت متابعتهم كحماس متابعتنا لفريق المنتخب ضد الأرجنتين الجميع مهنئاً
اتفقد المريضة صباحا في الجناح كان جراح الأوعية الدموية يقول لي انت لم تفتح شريان انت وضعت مضخة قلت ألا هل باركت لها. اخذت جهاز فحص الشريان كان صوت جريان الدم على قلبي أطرب من صوت من كان يسمع لفيروز على افطار الصباح 😊قلت في نفسي لم يكن نجاحي و لكن توفيق الله ثم حسن ظنها بربها.

جاري تحميل الاقتراحات...