Tariq Akkam | طارق عكّام
Tariq Akkam | طارق عكّام

@tariq_akkam

17 تغريدة 14 قراءة Mar 12, 2023
في بعض الاَحيان يجينا في العيادة بيشنت زي اللي بالصور (has a minor mal-alignment)
ويقول ابغى اسوي ابتسامة
ونحتار أحيانًا هل المفروض نخليه يسوي تقويم ولا هل نقدر نعدل الاشياء البسيطة بالتركيبة 🤔
#ثريد
في الارتكل هذي تم ذكر ٧ اسئلة لازم نجاوب عليها عشان تساعدنا ناخذ القرار ؛ تركيبات vs تقويم
drive.google.com
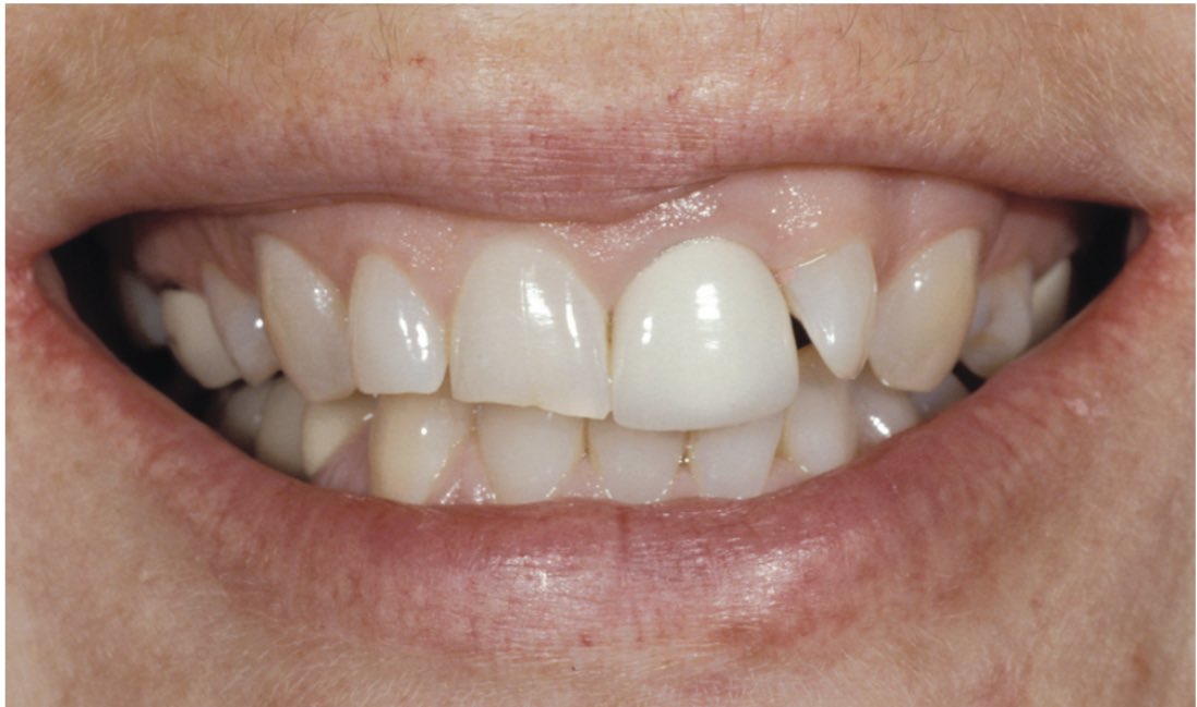
Q1: Will the teeth need to be restored to satisfy the patient’s esthetic desires regardless of whether orthodontics is performed?
هل الأسنان تحتاج حشوات او تلبيسات لنحصل على نتيجة جمالية بغض النظر عن التقويم ؟
إذا لا الاَفضل تقويم ، إذا نعم انتقل للسؤال التالي 👇
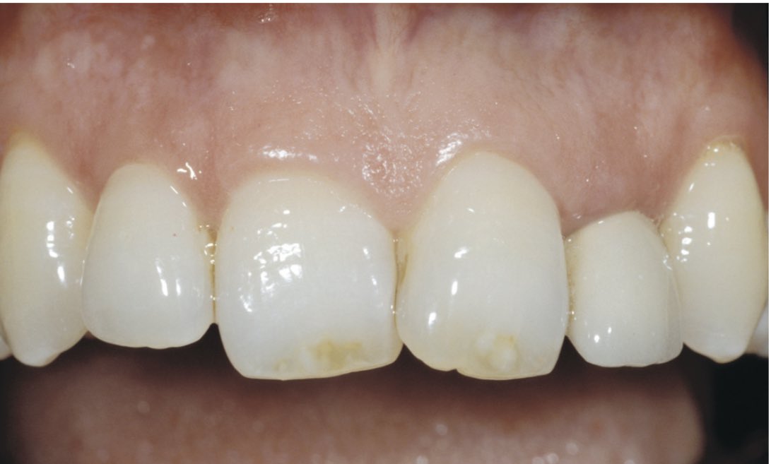
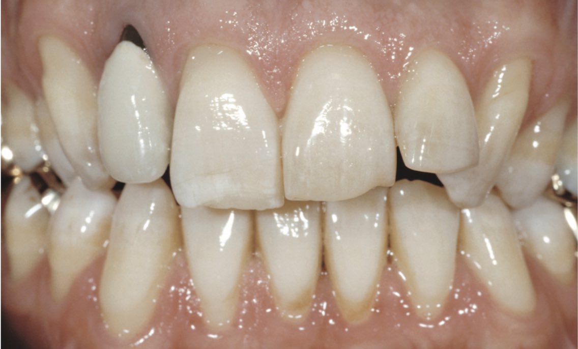
في هذه الحالة مثلًا الأسنان تحتاج تركيبات وتم تعديل الابتسامة بدون تقويم 🤩
Q2: Can the occlusion be managed without orthodontics but with restorative dentistry?
هل اطباق الاسنان سليم ويمكن التعامل معه بدون تقويم؟
إذا لا الاَفضل تقويم ، إذا نعم انتقل للسؤال التالي 👇
في هذه الحالة مثلا يوجد مشاكل في الاطباق وتم تعديل الابتسامة بالتقويم 🤩
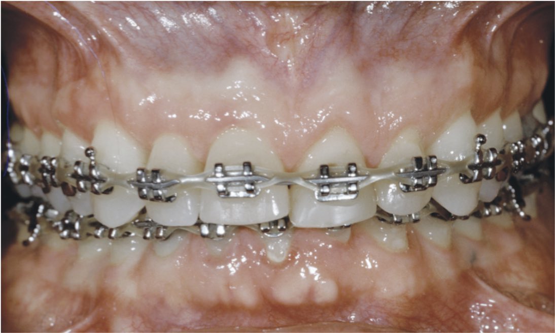
وهذي الحالة كمان تم عمل تقويم أولآ وبعدين التركيبات 🤩
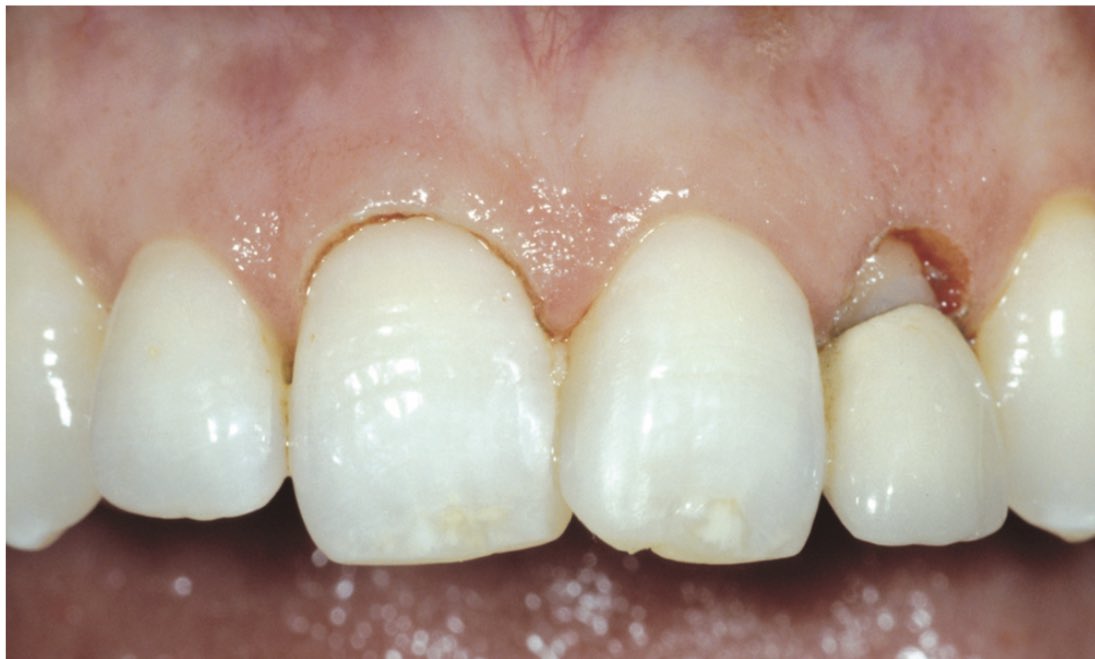
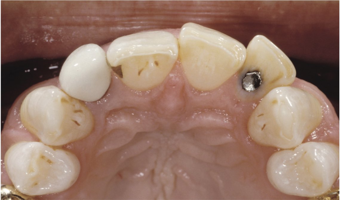
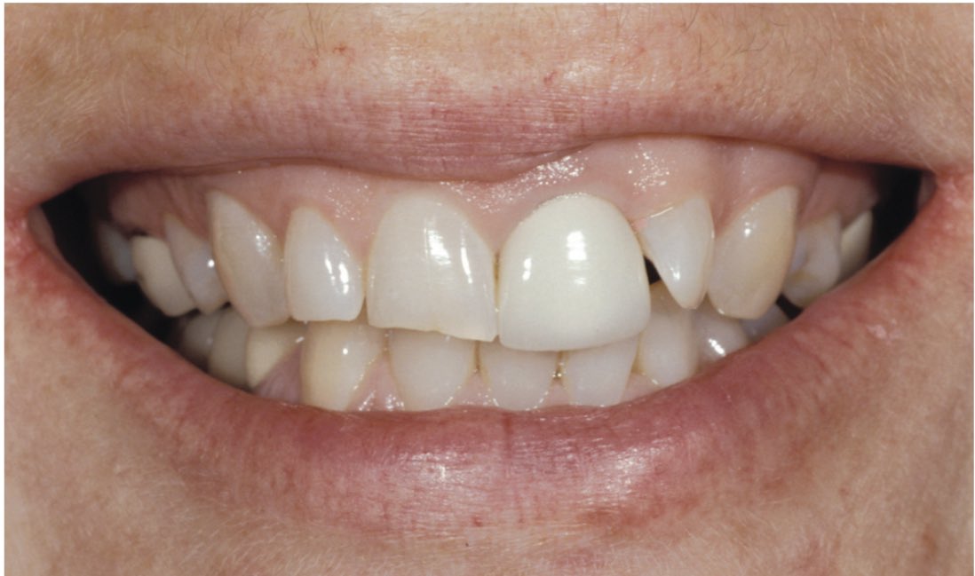
Q3: Is the most apical free gingival margin level esthetically acceptable?
هل مستوى اللثة مقبول ؟
كما نعرف انه قد يحصل انحسار للثة ويجعل مستواها مختلف من سن لآخر لعدة اسباب واحد هذه الاسباب عندما يوجد تزاحم بين الاسنان وتكون بعض الاسنان متقدمة عن غيرها
مثل هذه الحالة
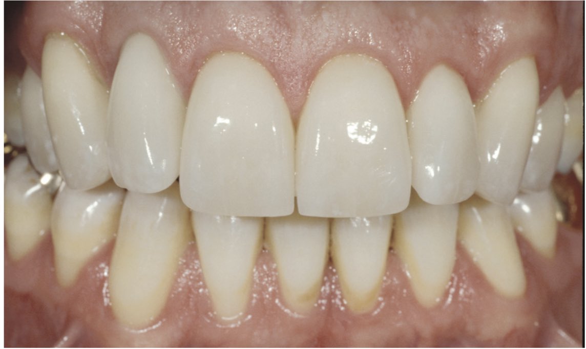
هنا تم عمل قص للثة لتصبح عند المستوى المرغوب
ف إذا كان الجواب لا > قد نحتاج تقويم او جراحة لثة حسب الحالة 👍🏻
إذا كان الجواب نعم مقبول انتقل للسؤال التالي 👇
Q4: Are the papilla levels harmonious?
هل مستوى البابيلا بين الاسنان متناسق؟
كما نعرف وجود البابيلا مهم للنتيجة الجمالية ولكن أحيانًا قد يتغير مستواها لأسباب مختلفة ومن الحلول للتعامل معها هو التقويم ؛ حيث يمكن بالتقويم تحريك الاسنان ويتغير مستوى البابيلا معها لتصبح متناسقة اكثر
ف إذا كان الجواب لا > قد نحتاج تقويم
إذا كان الجواب نعم انتقل للسؤال التالي 👇
Q5: Can an acceptable contour and arrangement be created?
هل ممكن نطلع بشكل اسنان حلو ومتناسق؟
مثلا في الحالات اللي يكون فيها حجم الاسنان صغير ويوجد فراغات غالبًا يمكن حلها بالتبليسات او العدسات ونطلع بنتيجة جميلة
بينما الحالات التي يكون فيها حجم الاسنان طبيعي ويوجد فراغات بسبب كبر حجم الفك اذا حاولنا حل المشكلة بالتركيبات راح نطلع باسنان كبيرة وغير جميلة ف الأفضل نسوي تقويم ونقفل الفراغات 👍🏻
إذا كان الجواب نعم انتقل للسؤال التالي 👇
Q6: Are structural compromises necessary to correct the alignment?
هل الاسنان تحت برد في كل الاحوال عشان نطلع باسنان متناسقة؟
مثلا حجم او طول الاسنان مو نفس بعض حتى لو سوينا تقويم ونحتاج نبرد الاسنان عشان نخليهم متناسقين
إذا لا الاَفضل تقويم ، إذا نعم انتقل للسؤال التالي 👇
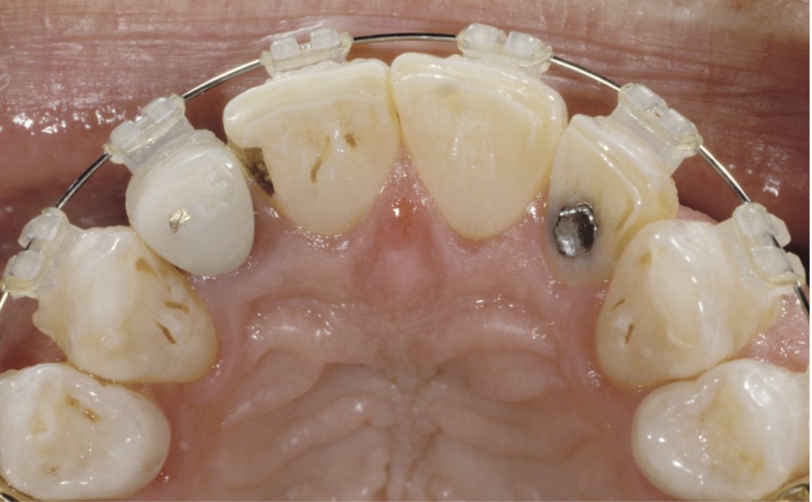
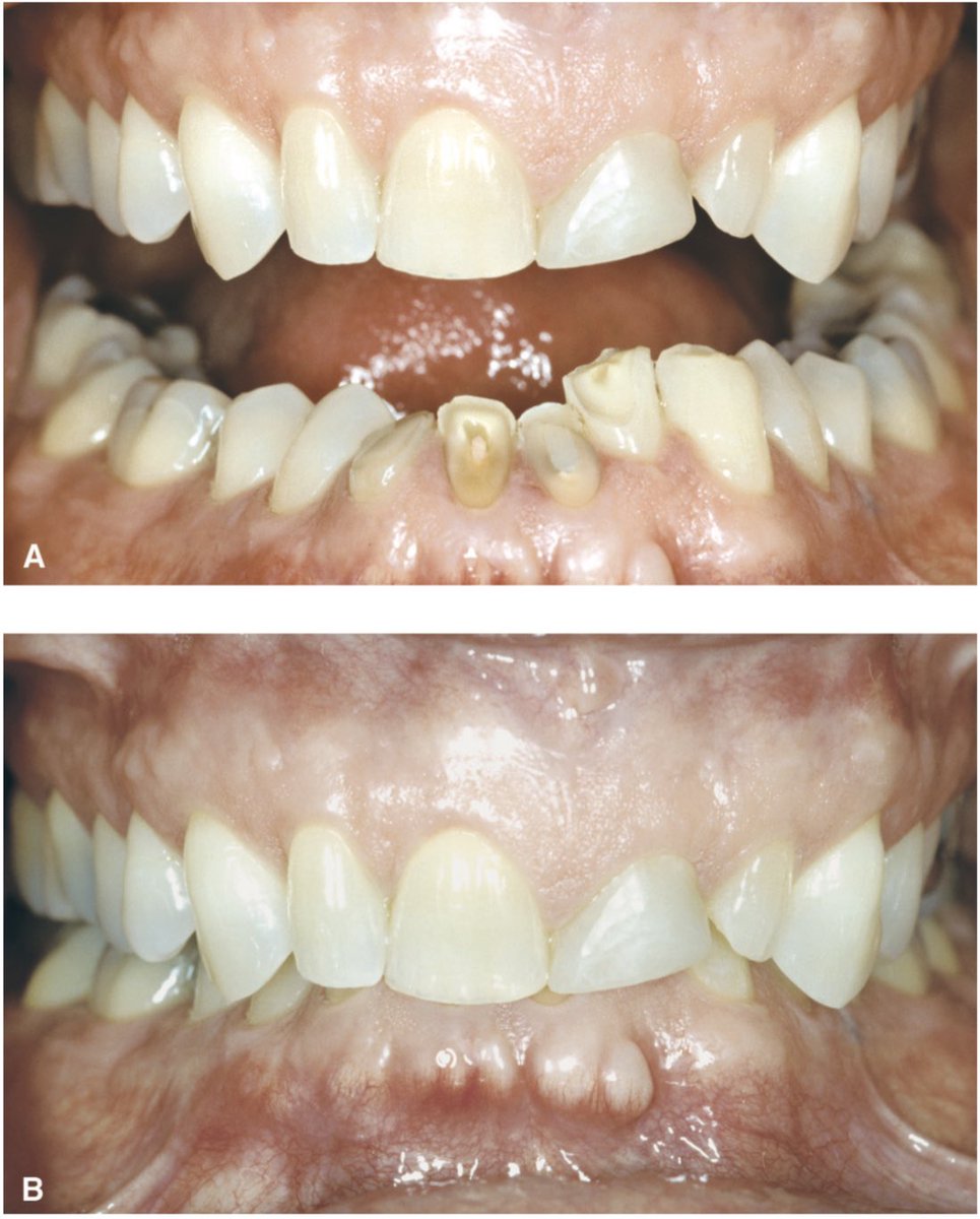
Q7: Are the biologic consequences of correcting the alignment restoratively acceptable?
هل المضاعفات الحيوية مقبولة في حال عدلنا الاسنان بالتركيبات؟ حيث لا يوجد تأثير على اللثة او حيوية العصب؟
إذا كان يوجد مضاعفات غير مقبولة الاَفضل تقويم
في هذه الحالة مثلًا إذا حاولنا نعدل الاسنان بالتركيبات راح نوصل للعصب اثناء التحضير فالأفضل عمل التقويم اولاً وبعدها التركيبات 👌🏻
ختامًا إذا كانت الاجابة نعم على جميع الاسئلة > نقدر نعدل الابتسامة ونطلع بنتيجة حلوة عن طريق التركيبات 🙏

جاري تحميل الاقتراحات...