Emad Aljahdaly M.D|🇸🇦د عماد سليمان الجحدلي
Emad Aljahdaly M.D|🇸🇦د عماد سليمان الجحدلي

@ealjahdli

11 تغريدة 50 قراءة Feb 25, 2023
السلام عليكم و رحمة الله و بركاته. نسلط الضوء اليوم على مشكلة البلع بسبب مرض #اكاليزيا او #achalsia و الناتجة عن عدم قدرة صمام المريء السفلي على الارتخاء بتاتا بالاضافة الى فقد المريء قدرته على الانقباض و دفع الطعام الى الاسفل باتجاه المعدة مما يؤدي الى تجمعه في المريء
يعتبر مرض #اكاليزيا غير شائع نوعا ما و هو اعتلال يصيب بشكل رئيسي الخلايا العصبية المسؤولة عن ارتخاء عضلة الصمام من خلال اطلاق مادة اكسيد النيتروجين NO. تعرف هذه الخلايا بخلايا كاجال او Cajal. يتم تدمير هذه الخلايا بواسطة الجهاز المناعي عن طريق الاجسام المضادة.
تسبب هذه الحالة تجمع الطعام في المريء و منعه من العبور الى المعدة لهضمه و من ثم امتصاصه. يؤدي ذلك الى شعور المريض بعدة اعراض منها: صعوبة البلع، الام الصدر، الغثيان و الاستفراغ، نزول الوزن، السعال و التهابات الرئة المتكررة بسبب استنشاق الطعام المرتجع من المريء و الحرقان.
اما الاسباب فقد ينتج كجزء من متلازمة تعرف بمرض شاچاس #chagas_disease و الناتجة عن انتقال عدوى بواسطة حشرة تعرف بالتريبانوسوما و هي منتشرة في الجنوب الامريكي و يصاحبها تضخم القلب و شلل في حركة القولون و غيرها من الاعراض. (هذا ليس النوع الشائع و غير موجود في منطقتنا و لله الحمد)
اما النوع الشائع لدينا فلم تحدد اسباب معينة له بعد لكن الاعتقاد الشائع علميا انه ينتج كردة فعل اثناء الاصابة بڤيروسات معينة ينتج عنها تكوين مضادات حيوية تهاجم خلايا كاجال Cajal ضناً منها انها الجسم الدخيل المعادي مما يؤدي الى سلسلة تفاعلات مدمرة لهذه الخلايا.
يتم تشخيص المشكلة اولا عن طريق اشتباه الاصابة بالمرض من خلال الاعراض المذكورة انفا و من ثم التاكد من التشخيص بواسطة منظار المعدة، صبغة الباريوم و اخيرا اجراء فحص جهد المريء و المعروف ب manometry
يمكن علاج المشكلة بطرق جراحية او تداخلية و اخرى غير جراحية. من الطرق غير الجراحية: توسعة الصمام السفلي للمريء بواسطة المنظار عن طريق البالون ل ٣٠، ٣٥، ثم ٤٠ ملم ان استدعى الامر. ثلث الاشخاص الذين يتم علاجهم بهذه الطريقة قد يحتاجون الى اعادتها مرة اخرى خلال ٥ سنوات
الطريقة غير الجراحية الاخرى و عادة ما تستخدم لدى كبار السن هي حقن مادة البوتوكس بشكل مباشر في العضلة عن طريق المنظار او اعطاء ادوية كالنايترو جليسرين او مضادات الكالسيوم و المعروفة ب calcium channel blockers
اما العملية الجراحية التي تجرى في حالات الاكاليزيا هي Heller myotomy و يقابلها من حيث الفعالية اجراء يجرى عن طريق المنظار و دون الحاجة لاجراء شق في البطن هي POEM و هي اختصار ل Peroral Endoscopic Myotomy و التي اثبتت فاعليتها في حل المشكلة بنسب عالية جدا.
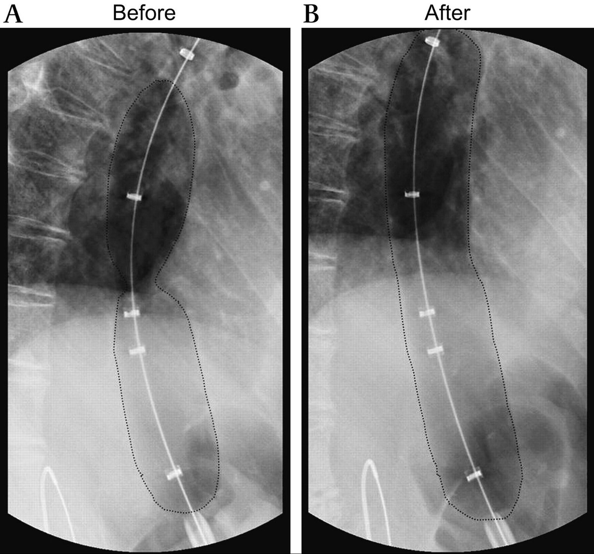
هذه صور لاحدى الحالات التي اجريت في المستشفى الجامعي و التي بحمد الله تكللت بالنجاح بواسطة المنظار عن طريق اجراء فتحة صغيرة لا تتجاوز ٢ سم في المريء.
و في الختام نسأل الله انا و لكم العافية و دوام الصحة. شكرا لاهتمامكم 🙏

جاري تحميل الاقتراحات...