Asma | أسماء
Asma | أسماء

@Masma__

15 تغريدة 15 قراءة Feb 17, 2023
هل من السهل أن يصاب الشخص Vitamin B12 Deficiency أو Folate Deficiency؟ 🤔
ليش الأشخاص المصابين بنقص في Vitamin B12 تظهر عندهم مشاكل في عملية تكوين خلايا الدم؟🩸
وهل فعلاً نقص Vitamin B12 يؤثر على الجهاز العصبي؟ أو الخلايا العصبية؟ 🧠
راح أشرحها في ثريد وشاركوا إجاباتكم 👀👇
Vitamin B12 Deficiency هي عبارة عن نقص مستوى Vitamin B12 عن المعدل الطبيعي
من أعراضها
شحوب الجلد - الضعف الجسدي العام
فقدان الشهية - التهاب اللسان
أغراض أخرى تلخصها الصورة👇
واحد من أهم الأعراض الناتجة عن نقص فيتامين B12 هو إعتلال الأعصاب الطرفية (Neuropathy) في اليد او القدم
إيش هي أسبابها؟
١- عدم أخذ الحاجة الكافية من Vitamin B12 من الأكل وهذة الحالة شائعة عند الأشخاص النباتيين ( Vegan ) ولكن هذا ليس شيء أساسي لأي شخص يتبع النوع هذا من النظام الغذائي في حال الشخص أخذ الكميات الكافية منه من الاكل النباتي
٢- عدم قدرة الجسم على إمتصاص Vitamin B12 من الأكل ومن الأسباب لهذة الحالة هي:
- وجود عدوى بكتيرية
- بعض حالات Resection او Damage في الأمعاء
- Salivary gland Disease
- Chronic pancreatitis
والصور تلخص عملية الإمتصاص👇
واحد من أهم الأسباب التي تؤدي إلى سوء إمتصاص Vitamin B12 هي نقص في Intrinsic Factors والتي يتم تصنيعها في المعدة وتؤدي الى مايسمى Pernicious Anemia
وممكن يكون لها ثريد مختلف لاحقاً 👀
- السبب الأخير لسوء إمتصاص Vitamin B12 هو إحتمالية وجود عدوى دودية في الأمعاء (Fish Tapeworm)
الجدول هذا يلخص جميع الأسباب / الصورة تلخص الأعراض المحتملة👇
أين يخزن Vitamin B12؟
وهل من السهل أن الشخص يصاب Vitamin B12 deficiency أو Folate deficiency؟
الجواب👇
يتم تخزين B12 في الكبد ولسنوات طويلة جداً بعكس Folic acid الذي يحزن فقط لأشهر وهذا يجاوب السؤال الأول وهو أن النقص في Folic acid أسرع بشكل أكبر لقصر فترة تخزينه في الكبد
إيش هي الفحوصات المخبرية في هذة الحالة؟
١- تحليل صورة الدم كاملة CBC ويلاحظ منه عدة أشياء
⁃ نزول في مستوى الهيموغلوبين
⁃ HCT أيضاً نازل
⁃ MCV يكون مرتفع لان Vitamin B12 Deficiency تصنف على أنها Macrocytic Anemia
⁃ WBCs + Platelets تكون منخفضة عن المستوى الطبيعي
كيف نقدر نفرق بين الأحجام الغير طبيعية لكريات الدم الحمراء المختلفة؟
إذا كانت Macrocytic / Microcytic / Normocytic ؟
الجدول هذا يوضحها👇
من التحاليل المخبرية:
٢- Serum Vitamin B12 طبعاً يكون نازل عن المستوى الطبيعي
٣- Serum Homocysteine + Serum Methylmalonic Acid يكون مستواهم مرتفع عن المعدل الطبيعي
جميعها تتطلب عينة Serum
أيضاً من التحاليل المخبرية:
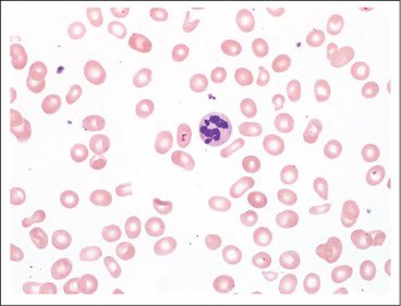
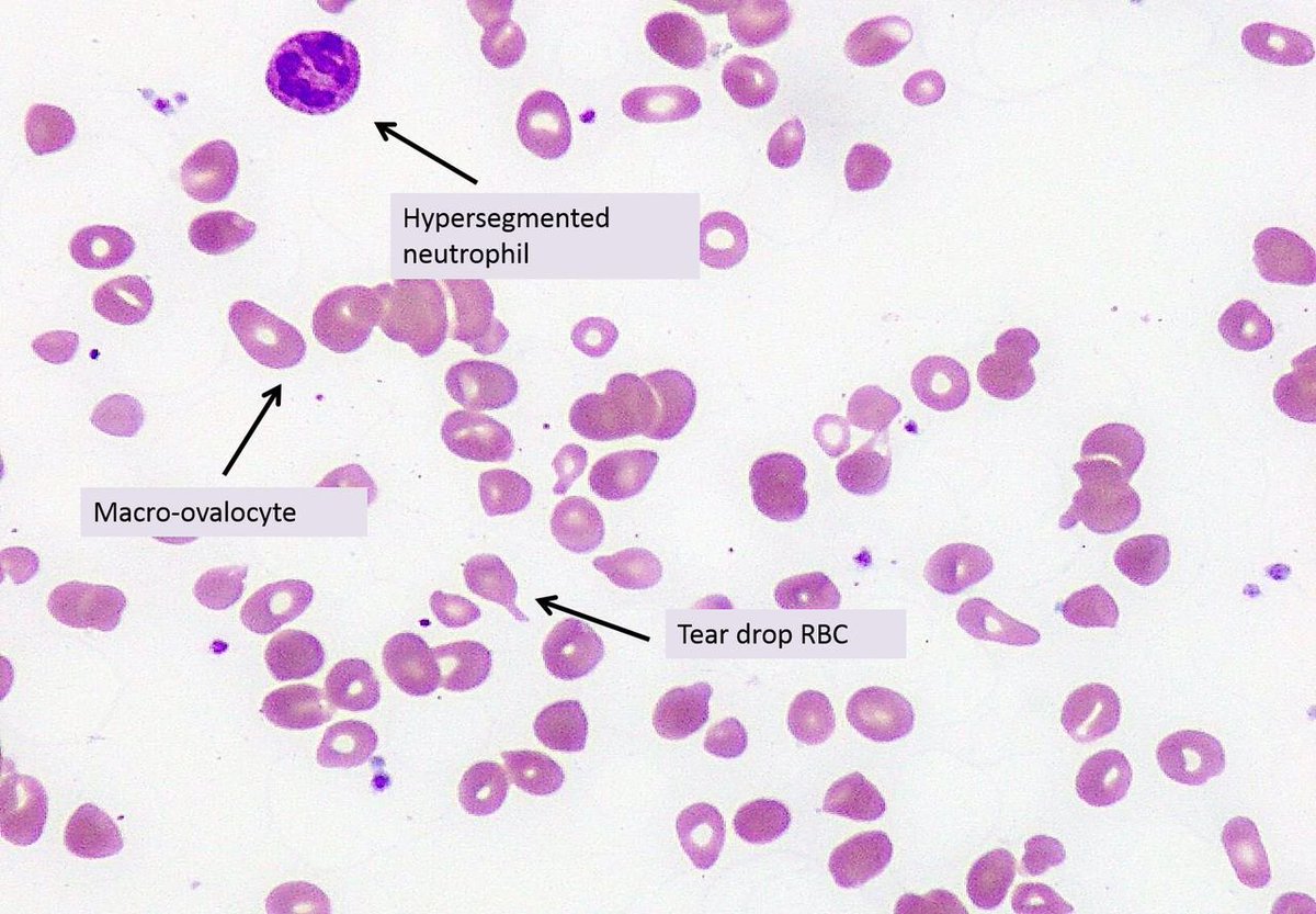
٤- إيش ممكن نلاحظ في Peripheral Blood Smear وإيش الشائع في هذة الحالة؟
- Macro oval cytes وهي كبر حجم كريات الدم الحمراء
- Pancytopenia
- Hypersegmented Neutrophils > 5 Loops
والصورة هذي توضحها👇
في حالة نقص فيتامين B12 يتأثر تكوين خلايا الدم في الجسم عن الشكل الطبيعي
ويحصل Cell Division Impaired لخلايا الدم الحمراء والبيضاء والصفائح الدموية
وتنتج عنه حالة تسمى Pancytopenia وهي:
- Anemia نقص في RBCs
- Leukopenia نقص في WBCs
- Thrombocytopenia وهي نقص في Platelets
نكمل التحاليل المخبرية:
٥- الإختبار الأخير وهو Schilling test وممكن أتكلم عنه بثريد منفصل 👀
٦- Bone Marrow Biopsy
ونلاحظ فيه وجود Megaloblastic Nucleated Cells
الصورة توضحها👇
وأخيراً إيش هي طريقة العلاج لنقص فيتامين B12؟
⁃ مكملات غذائية تحتوي عليه كعنصر أساسي
⁃ B12 intramuscularly عن طريق العضل
جميعم يتم أخذ الجرعات منها بعد إستشارة الطبيب وعمل التحاليل اللازمة.

جاري تحميل الاقتراحات...