مدرس أحياء تدريس كل ما يتعلق بعلم ال Biology 💛💪
مدرس أحياء تدريس كل ما يتعلق بعلم ال Biology 💛💪

@Biology0Teacher

4 تغريدة 142 قراءة Feb 08, 2023
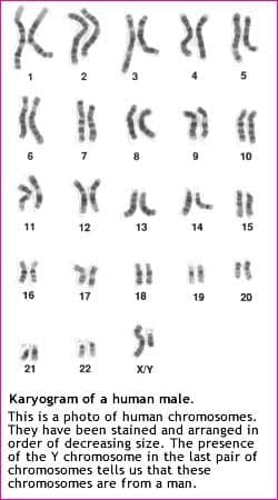
📋الطرز الكروموسومى Karyotype📋
📍ترتيب الكروموسومات ترتيبا تنازليا حسب حجمها ثم ترقيمها.
📍تحتوى الخلايا الجسدية لجسم الإنسان على 46 كروموسوم فى صورة أزواج متماثلة ( 23 زوج من الكروموسومات) .
🔬تظهر الكروموسومات فى أوضح صورة لها أثناء الطور الاستوائي Metaphase فى الإنقسام الميتوزى.
📍الكروموسومات الجسدية Somatic chromosome
من الزوج رقم 1 إلى الزوج رقم 22 .
📍أكبر الكروموسومات حجما هو الزوج رقم 1 واصغرهم حجما هو الزوج رقم 21.
❗ملحوظة❗ ...بدون وجود وسائل التكنولوجيا الحديثة تم ارتكاب خطأ ...فتم وضع الكروموسوم رقم 21 الأصغر حجما قبل الكرموسوم رقم 22 الأكبر حجما .
♂️الكروموسومات الجنسية Sex chromosome♀️
📌وهو الزوج رقم 23 الذي يحدد جنس الفرد ذكرا أو أنثى ، لأنه الزوج الذي يحمل المعلومات الوراثية الخاصة بتحديد الجنس .
♂️ يحمل الذكر Male زوج غير متماثل XY.
♀️ تحمل الأنثى Female زوج متماثل XX.

جاري تحميل الاقتراحات...