Orthopedic Team 🦴
Orthopedic Team 🦴

@OrthopedicTeam

18 تغريدة 174 قراءة Feb 05, 2023
‼️ من أكثر كسور العظام شيوعًا تحدث في العظام الطويلة في الساق بسبب وضعيته السطحية
🔹 سنتحدث في هذا الثريد عن كسور العظام الطويلة
#ORTHO_TEAM_2022
◻️ الأسباب
- السقوط
- التعرض لحادث سيارة
- الإصابة أثناء ممارسة نشاط رياضي
- الإجهاد ( الجري، رقص البالية، كرة السلة، السير لمسافات طويلة)
- مرضى هشاشة العظام
- مرضى السكر
- مرضى التهاب المفاصل الروماتويدي
◻️ التشريح
تتكون الساق من عظمة الظنبوب (Tibia) في الجانب الأقرب للوسط، والشظية (Fibula) على الجانب الخارجي، ترتبط العظمتين بالغشاء بين العظمي (Interosseous membrane) في الساق مشكلًا نوع من المفاصل الليفية يدعى التلازم (Syndesmosis) ذات الحركة القليلة جدًا.
وتشارك عظمة الساق الظنبوب في مفصل الركبة من الأعلى ومفصل الكاحل من الأسفل، أما الشظية لا تشارك في مفصل الركبة.
◻️ الأعراض
🔹 ألم حاد
🔹 تورم
🔹 كدمات
🔹 تشوة أو قصر في الساق
🔹 عدم القدرة على المشي
❗️ قد تصاحبها مضاعفات مثل متلازمة الحيز (Compartment syndrome)، ألم في الركبة أو الكاحل، التهاب العظام أو المفاصل، تأخر أو ضعف تعافي العظام، تلف الأعصاب أو الأوعية الدموية، التفاوت في طول الساقين، أو تقوس الساق وجلطات في القدم.
◻️ التشخيص
🔹 أخذ التاريخ الطبي
🔹 عمل الفحص السريري
🔹 الأشعة السينية (X-ray) صورتين
🔹 في بعض الحالات قد تحتاج إلى أشعة مقطعية (CT) مثل الكسر الإجهادي، وكسور داخل المفصل
◻️ الأنواع
🔹 كسر الظنبوب (Tibia):
- كسر ثابت (Fixed fracture): عندما تبقى قطع العظم في وضعها الصحيح.
- كسر قلعي (Avulsion fracture): عندما تخرج العظام عن وضعيتها.
- كسر مفتوح (Open fracture): عندما يخترق العظم الجلد.
- كسر الهضبة الظنبوبية (Tibial plateau fracture).
- كسر الظنبوب عند مفصل الركبة (Proximal tibial fracture)
- كسر المحور (Tibial shaft fracture): يكون في منتصف العظمة
- كسر عند مفصل الكاحل (Distal tibial fracture)
- كسر الغصن النضير (Greenstick fracture) لدى الأطفال
- كسر الإجهاد (Stress fracture): بسبب الضغط الكبير على العظم
🔹 كسر الشظية (Fibula):
- كسر الكعب الوحش (Malleolus fracture): تكون الإصابة مباشرة بالقرب من الكاحل (Distal fibula).
- كسر رأس الشظية قرب الركبة (Proximal fibula fracture).
- كسر الجدل وسط القدم (Mid shaft fracture).
◻️ العلاج
❗️يختلف العلاج حسب نوع و موقع الكسر
- العلاج الأولي: معظم الإصابات تسبب بعض التورم في الأسابيع الأولى وقد تحتاج جبيرة لتوفير الراحة والدعم على عكس الجبس الكامل، حيث يمكن تضييق الجبيرة أو توسيعها للسماح بحدوث تورم بأمان.
وبمجرد أن ينخفض التورم يتم تحديد العلاج المناسب.
🔹 العلاج الغير جراحي
في بعض الحالات يمكن تثبيت العظام بالجبيرة فقط،
الكسر المنزاح يحتاج إلى إعادة العظام إلى مكانها الصحيح قبل الجبيرة وقد يلزم استخدام عكازات لتخفيف الحمل عن الساق المصابة لمدة لا تقل عن ٦ أسابيع بالإضافة إلى مسكن للألم.
بعد إزالة الجبيرة قد يحتاج المريض لتمارين إعادة التأهيل والعلاج الطبيعي لعدة شهور.
🔹 العلاج الجراحي
بعض الحالات التي تحتاج إلى تدخل جراحي:
- إذا كان طرفي الكسر غير متقاربين بدرجة كافية
- الكسور المفتوحة مع الجروح التي تحتاج إلى مراقبة
- الكسور التي لم تلتئم مع العلاج الغير جراحي
- الكسور مع درجة كبيرة من التفتت، الممتدة للمفصل، أو في حال تضرر الأربطة المحيطة
🔹 الخيارات الجراحية:
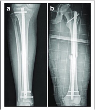
- تركيب مسمار النخاع (Intramedullary nail): يتم إدخال قضيب معدني مصمم خصيصًا في قناة الساق و يمر القضيب عبر الكسر لإبقائه في موضعه مما يساعد على التئام الساق.
- التثبيت الداخلي بالشرائح و المسامير.
- التثبيت الخارجي (External fixation): عبارة عن إطار خارج الساق يتم تثبيته في العظام بدبابيس، يوفر هذا الجهاز الثبات للعظام خلال فترة الالتئام و تتم إزالته عادة بعد التئام الكسر.
◻️ علاج كسر الساق لدى الأطفال
❗️دائمًا ما يستبعد التدخل الجراحي، ويتم عمل تجبيس في منطقة الكسر وذلك لأن أغلب العظام تكون في مرحلة النمو والتكوين وهذا يزيد فرصة تشوّه العظام أو اختلاف طول الساقين، و غالبًا الساق المكسورة تكون أطول مع ضرورة متابعة حالة الطفل حتى اكتمال نمو العظام.
◻️ الوقاية
🔹 تقوية العظام (الأغذية الغنية بالكالسيوم، مثل الحليب واللبن و الجبن، ويمكن أن تساعد مكملات الكالسيوم و فيتامين D في تعزيز قوة العظام).
🔹 ارتداء أحذية رياضية مناسبة وتنويع الأنشطة الرياضية.

جاري تحميل الاقتراحات...