الكاتبة سعدى
الكاتبة سعدى

@_iwriter

6 تغريدة 12 قراءة Feb 03, 2023
جالسة أسوي كشف ذاتي لأسناني وأدور أماكن التسوّسات ومدى خطورتها اللي تخليني استعجل بحجز المواعيد 🥲
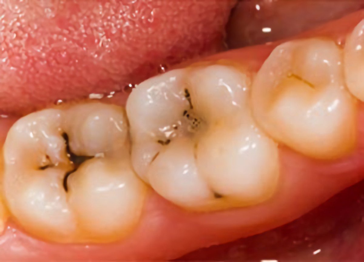
سوو كشف على الأضراس الداخلية وسن العقل والأسنان الأمامية بطريقة سهلة اخترعها العالم جرين فرديمان بلاك لبعض التسوّسات الظاهرة واللي نقدر نشوفها بالعين المجردة..
إذا لاحظتوا نقاط سوداء أو بنية على جوانب أو سطح السن سواء من الواجهة أو من الجهة المعاكسة فهذا يعني أنه بداية تسوّس.
مثل هذي الأماكن، وبالأضراس تكون نقطة أو نقطتين سوداء وصغيرة مرة، بجهة الخد من الداخل أو جهة اللسان من جوا.
👇
بالشكل الطبيعي كذا يكون شكل التسوّس..
بعض التسوّسات فقط اللي نقدر نشوفها بالعين المجردة، وبعضها تتكون داخل الأسنان ومانقدر نشوفها إلا من خلال الأشعة على كامل الأسنان..
وبس سلامتكم 🫡
تطبيق بسيط طبّقناه بالعيادات وحبيت أشاركه معكم..
آخر شيء، وباستثناء الضرس الأخير (فيه حشوة مركّبة) من الأضراس اللي بدون تسوّس ..
بدون تسوّس مع تسوّس

جاري تحميل الاقتراحات...