🎀Hayat M Ashi👩🏼‍🔬
🎀Hayat M Ashi👩🏼‍🔬

@hayat0ashi

7 تغريدة 43 قراءة Jan 21, 2023
🧐كيف نقدر نعرف اذا كان الشخص مصاب بالانيميا نقص الحديد او لا ⁉️
نشرح الموضوع بطريقة مختصرة ☺️🙏🏻
اول شي لازم نعرف ان التشخيص لا يعتمد فقط HB ولكن يقوم على ثلاث محاور كالتالي :
👩🏼‍🔬المحور الاول : من حيث قيم CBC راح نشوف :
⬇️انحفاض HB
⬇️انخفاض PCV
⬇️انخفاض MCH
⬇️انخفاض MCV
⬆️ارتفاع قيمة RDW
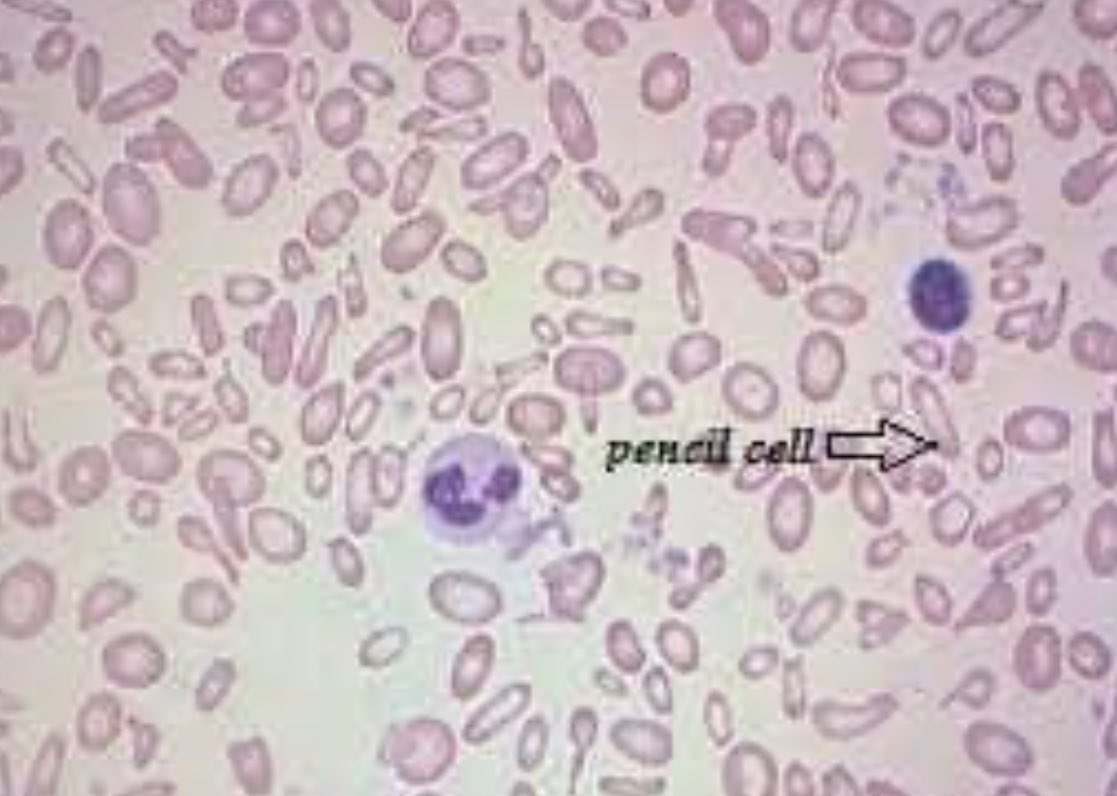
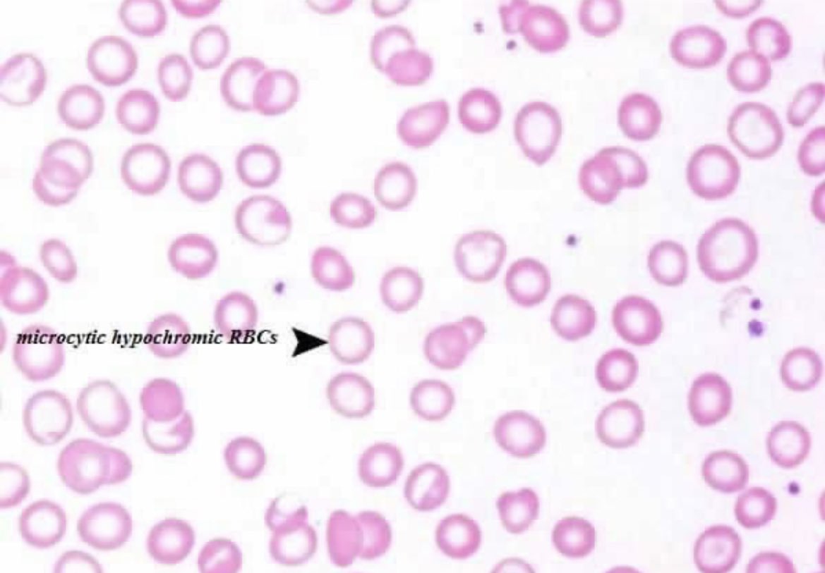
👩🏼‍🔬المحور الثاني :من حيث Blood film طيب ايش راح نشوف فيه 🧐‼️
راح نشوف ان RBCs بتكون hypochromic اي تركيز الهيموجلوبين فيه يكون منخفض جدا بالاضافة منطقة المركز او سنتر غير واضحة و ممكن تكون غير موجودة في الحالات الشديدة
👩🏼‍🔬كمان بنلاحظ ان RBCsبتكون Microcytic اي حجمها صغير وهذا بسبب نخاع العظم بينتج بسرعة استجابه للنقص الحاد في الهيموجلوبين او في عدد كريات الدم الحمراء وهذا بيخلي عندي الكريات غير كاملة النمو في الحجم وليس لها القدرة الكافية في حملHB
👩🏼‍🔬ايضا ظهور Tear drop cell وهذه عبارة عن RBCsولكن تأخذ شكل القطرة
👩🏼‍🔬نلاحظ ايضا ظهور Pencil cell وهذه عبارة عن RBCsولكن تأخذ شكل القلم
👩🏼‍🔬المحور الثالث من استاذ علي العربي وهو من حيث Iron profil تكون النتائج كالآتي:
🩸اول شي راح نشوف قيمة Serum ferritinقليلة جدا
"ملحوظة"
لازم تنتبه ان هذا الاختبار غير حساس في حالات الالتهابات بمعنى لو كان المريض عنده التهاب ممكن تكون النتيجهة طبيعية جدا وهو عنده انيميا عادي
🩸ايضا بنلاحظ قيمة Serum iron منخفضة جدا
🩸ايضا قيمة Total iron binding capacity تكون جدا عالية
🩸بنلاحظ كمان قيمة transferrin saturationبتكون اقل من 10%
🩸بنلاحظ ارتفاع قيمة Free erythrocyte protoporphyrin وهذا يعتبر مؤشر مبكر جدا لنقص مستوى الحديد الناتج عن سوء التغذيه
🩸اخيرا ارتفاع قيمة soluble transferrin receptor (sTfR

جاري تحميل الاقتراحات...