جون داميانوس ،
@john_damianosMD
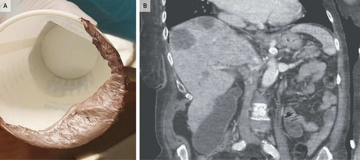
البراز الفضي #البراز_الفضي (علامة #توماس): مرض السرطان #السرطان #أمبولة_فاتر. كانت هذه الحالة #السرطان_القولون_المنتشر.
@john_damianosMD
البراز الفضي #البراز_الفضي (علامة #توماس): مرض السرطان #السرطان #أمبولة_فاتر. كانت هذه الحالة #السرطان_القولون_المنتشر.
ما الذي يسبب لون #البراز_الفضي؟
يمكن أن يحدث البراز ذو اللون الفاتح (رمادي أو بلون الطين) عند البالغين بسبب نقص #الصفراء في الجهاز الهضمي. عادة ما يكون من انسداد في القنوات الصفراوية ، إما من حصوة أو ورم. تساعد الصفراء على هضم الدهون وهي مسؤولة عن اللون البني للبراز.
يمكن أن يحدث البراز ذو اللون الفاتح (رمادي أو بلون الطين) عند البالغين بسبب نقص #الصفراء في الجهاز الهضمي. عادة ما يكون من انسداد في القنوات الصفراوية ، إما من حصوة أو ورم. تساعد الصفراء على هضم الدهون وهي مسؤولة عن اللون البني للبراز.
جاري تحميل الاقتراحات...