مشاعل الاسمري
مشاعل الاسمري

@hope6mash

19 تغريدة 24 قراءة Jan 24, 2023
الشبو☠️🕵🏻‍♀️
من السموم الأكثر الخطورة والمروعة يرى متعاطيه اشياء لاوجود لها. يتصور الشخص وجود حشرات تمشي تحت جلده أو يشعر أن من حوله يدبرون له المكائد ويريدون أذيته.
الميثامفيتامين💀✨
منبه نفسي اصطناعي قوي عالي الإدمانية يؤثر على الجهاز العصبي ويشار إليه غالبًا باسم "الميث" ، "الشبو"، "الكريستال" له العديد من الأسماء. يأتي على شكل مسحوق بلوري أبيض ولوحظ أن له ألوان اخرى مثل اللون الأصفر، البني أو الوردي أيضًا يأتي على شكل حبوب.
من طرق تعاطيه: يمكن استنشاقه أو تدخينه أو حقنه أو حتى بلعه.
بعد تناوله عن طريق الفم أو الاستنشاق، يتم امتصاص الميثامفيتامين في مجرى الدم ويتم توزيعه في العديد من الأعضاء مع أعلى امتصاص يحدث في الرئتين🫁والكبد والدماغ والكلى.
يستهدف الميث بشكل مباشر على الجهاز العصبي المركزي للدماغ وهو مسؤول عن معظم آثاره فعندما يمتص الجسم الميثامفيتامين يسبب في إطلاق كميات هائلة من الدوبامين الذي يلعب دورًا رئيسيًا في نظام المكافأة في الدماغ🧠⚠️⚠️وهي مادة كيميائية ينتجها الدماغ بشكل طبيعي.
عادة ماتكون الوفيات المرتبطة بتعاطي الميث نتيجة فرط في ارتفاع درجة الحرارة🌡️وعدم التنفس وفشل القلب الحاد ونزيف في الأوعية الدماغية نتيجة لارتفاع ضغط الدم والوذمة الرئوية أو الاحتقان الرئوي.
بعض تأثيراته:
يؤثر على مراكز الكلام في المخ ويزيد من نشاطها فإن المتعاطي يميل إلى الثرثرة وسرعة الانتقال بين المواضيع.
لأن الجهاز المناعي في معركة مستمرة مع هذا السم، فإن الاستخدام المطول يمكن أن يضعف جهاز المناعة لدرجة تجعله غير قادر على حماية ضد الأمراض. وعندما يكون الجسم في حالة مضطربة مستمرة بالكاد يكون قادرًا على شفاء نفسه.
لأن الشبو منبه للجهاز العصبي ويزيد من نشاط الجسم، إلى جانب الأرق و قلة النوم يشعر المتعاطي بالتعب والإرهاق الشديدين.
الأشخاص المصابون بالذهان المرتبط بالميثامفيتامين أكثر عرضة للإصابة بالهلوسة، يجعلهم يرون أو يسمعون أشياء غير موجودة بالفعل. مما يشعرهم بالغضب والانزعاج، ويتسألوا لماذا لا يصدقهم أحد، أو يشعروا أنهم مختلفين تمامًا عن الآخرين.
لأن الميثامفيتامين يؤثر على الشهية يمكن أن يؤدي إلى نقص التغذية لفترات طويلة من الزمن فيبدأ الجسم في استهلاك الأنسجة العضلية ودهون الوجه، مما يمنح مستخدمي الميثامفيتامين مظهرًا هيكليًا هزيلًا.
متعاطي الميث لديهم خطر متزايد للإصابة بمرض باركنسون في دراسة وجد الباحثون بأنَّ متعاطي الميث كانوا معرضين لخطر الإصابة بداء باركنسون أكثر بثلاث مرات.
"فم الميث"🦷
يحفز الميث مستقبلات ألفا الأدرينالية داخل الأوعية الدموية للغدة اللعابية، مما يتسبب في تضيق الأوعية وتقليل تدفق اللعاب وجفاف الفم مما يتيح انتشار مستعمرات البكتيريا و تأكل الأسنان واللثة من تراكم الأحماض.
"قروح الميث"
يؤدي الاستخدام المفرط للميثامفيتامين إلى قطع إمدادات الدم عن جميع أجزاء الجسم، مما يؤدي إلى تدمير الأوعية الدموية وجفاف الجلد وتشكيل تقرحات.
"عث الميث"🪱🐛
يحتوي العرق الذي ينتجه الميثامفيتامين على إنزيم يزيد من تدفق الدم إلى الجلد. فعندما يجف العرق، يترك هذا الإنزيم الحمضي على جلد المتعاطي ويزيل طبقة الزيوت الموجودة لحماية الجلد. إلى جانب الجفاف الناجم عن الميثامفيتامين، يشعر المتعاطي بإحساس زحف الحشرات تحت جلده.
قد يلجأ الشخص إلى استخدام المقص والسكاكين والشفرات مما يتسبب في ظهور تقرحات مروعة وجروح مفتوحة يصعب على الجسم التئامها.
بعض الحالات المرتبطة به🩺🏥:
مريضين مصابين بمضاعفات عينية مرتبطة بالميثامفيتامين.
📖| المصدر للاستزادة:
sciencedirect.com
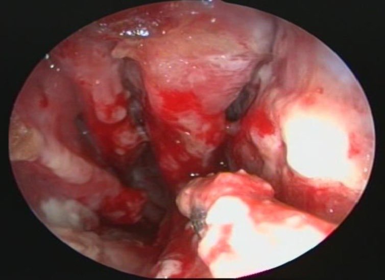
أول حالة تم الإبلاغ عنها لنخر الحاجز الأنفي المرتبط باستنشاق الميثامفيتامين عن طريق الأنف.
📖| المصدر للاستزادة:
ncbi.nlm.nih.gov
الحالة الأولى من الجرب المتقشر لمريض يعاني من تعاطي الميثامفيتامين المزمن.
📖| المصدر للاستزادة:
sciencedirect.com
لو الشخص مدمن وحاب يتعالج او احد لديه شخص مدمن يريد علاجه يقدر يتواصل مع المركز الوطني لاستشارات الإدمان على الرقم (١٩٥٥) او على الواتس (٠٥٥٢٠٠١٩٥٥)✨.

جاري تحميل الاقتراحات...