عواطف🔬
عواطف🔬

@880Njd

11 تغريدة 5 قراءة Oct 10, 2023
الثريد الرابع والأخير لقسم Hematology وبدايه لقسم الزواج الصحي🤩✨
.
.
#تسائل_متدرب
كيف يتم الكشف عن الثلاسيما والأنيميا المنجلية وأنيما الفول وهل يتم الطلب عليها في غير قسم الدم؟
سوف نتعرف على ذلك
.
.
قراءة ممتعه🤝
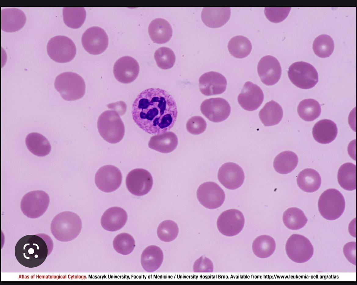
يتم تصنيف فقر الدم إلى عواملها الأساسيه بحدوث الإصابة كأنيميا نقص الحديد وB12 فهي ناتجة عن سوء التغذية للفرد أدت بإصابته بتلك الأنواع ويتم التفريق بينها بالإعتماد على CBC والMicroscopy ففي نقص الحديد تكون الخلايا صغيره جدًا مقارنه بB12 يميزها ظهور hyper segmented Neutrophil .
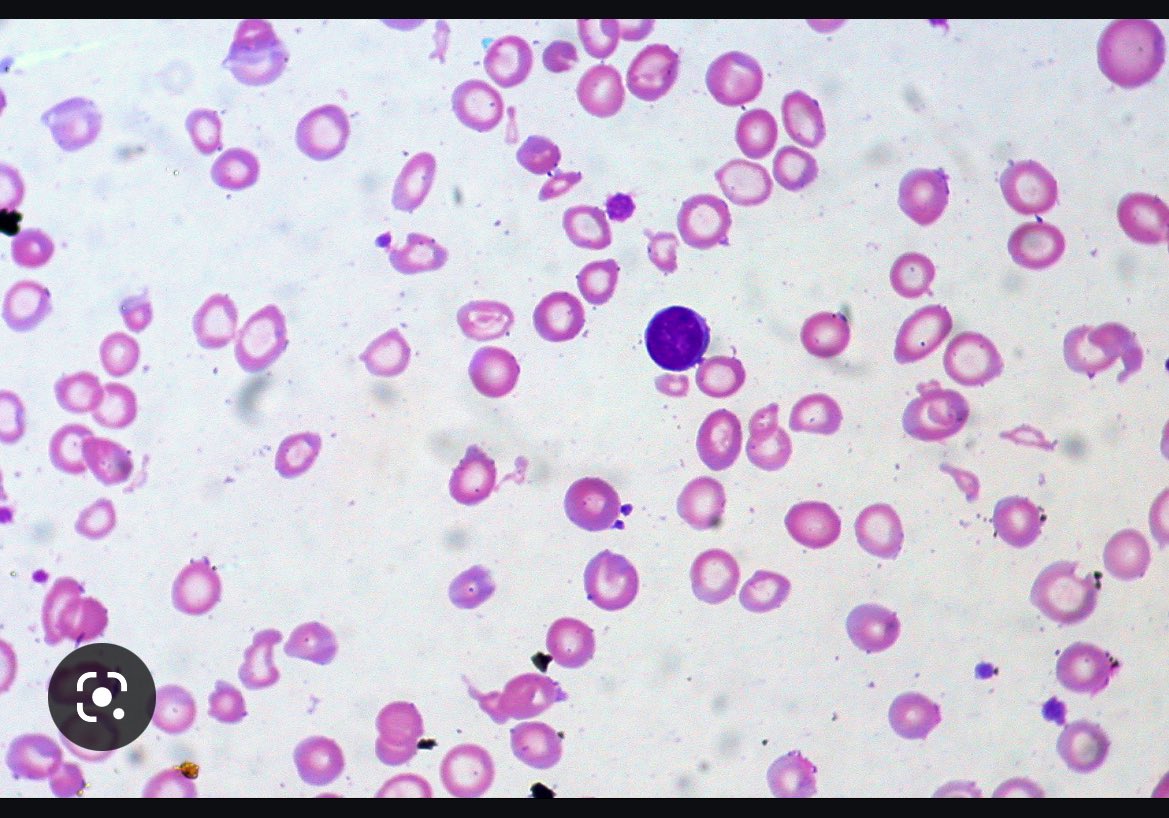
في حين الأنواع الأخرى ك الانيميا المنجليه والثلاسيما والفول فقد اثبتت الدراسات بأن العامل الاساسي بظهورها هو العامل الوراثي لذلك يجب عمل التحليل للمقبلين على الزواج لمنع هذي الانواع من ظهورها على الأطفال فهي تشكل تحديًا وتهديدًا على حياة المريض عند إصابته بها.
فماهي التقنيه المستخدمه للكشف عنها؟
في بادئ الأمر وهي قاعدة أساسيه لتحاليل عينات قسم علم الدم يتم عمل CBC فهي تعمل على فك الشفرات وتسهيل الوصول للتشخيص في أحيانٍ كثيره وهذا لايمنع
بعمل تحاليل أخرى بعدها للمساعده أيضًا.
ومن ثم يتم النظر إن أظهرت في parameter اختلافات عن المعدل الطبيعي فسيتم النظر لمعرفه اي انواع الانيميا فإن تم التوصل لاحد الانواع الوراثيه سيتم استخدام تقنيه Electrophoresis ويعرف بالرحلان حيث يتم فصل الخلايا بناءً على حجمها وشحنتها وستظهر على شكل رسم بياني.
كيفيه قراءة الرسم البياني:
من المتعارف بأن انواع الهيمجلوبين هي:A+A2+F والمعدل الطبيعي يختلف لدى الاطفال بظهور Hb F اعلى من غيره مقارنة بالبالغين؛ فعند القراءة يتم التركيز عليهم جميعًا .
فإن كان الشخص مصاب بالمنجليه سيتم النظر اليهم جميعًا فإن أظهر HgbS وكان المعدل اكثر من70%فإنها دلاله على الاصابه في حين كانت اقل ستدل على ان الشخص حامل للمرض
اما الثلاسيميا ان اظهرت HgbA2 اعلى من 3.5%سيتم النظر في A0 ان اظهرت اقل من 60% دلاله على انه مصاب وان كان اكثر دلاله على انه حامل للمرض.
موانع الزواج:
للمصاب لا يسمح به بالزواج من مصابه مثله او حامله فيجب ان يكون احد الطرفين سليمين.
للحامل لايستطيع الزواج من حامله مثله ويستوجب ان يكون احد الطرفين سليمين.
في حال الرغبة الملحه بالزواج من الطرفين سيتم عمل حمله توعويه لمده شهر وان اصرا سيتم الاقرار على ذلك .
ملخص:

جاري تحميل الاقتراحات...