د. عبدالمجيد الفاخري (دكتور شبكية)
د. عبدالمجيد الفاخري (دكتور شبكية)

@AlFakhriA

8 تغريدة 1 قراءة Feb 09, 2023
غشاء فوق #الشبكية
ثريد بسيط، معلومات اساسية، التشخيص، وهل يحتاج لعلاج جراحي في كل الحالات ؟
#صوت_الطبيب
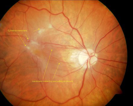
1️⃣ غشاء فوق الشبكية
هو عشاء ينمو على سطح الشبكية في منطقة مركز الابصار (فوڤيا) وقد يؤثر على الابصار او يسبب في (تموّج) في مركز الابصار
2️⃣ المسببات
في غالب الحالات يكون بدون سبب واضح، بعض المسببات الثانوية
- السكري
- التهابات عنبية العين
- عمليات جراحية في العين
- انفصال شبكية
3️⃣ الفئة العمرية
متوسّط العمر للاصابة باغشية فوق الشبكية ٦٥ سنة (مع العلم انه قد يصيب اي فئة عمرية)
معدل الحالات السنوي ١.١٪
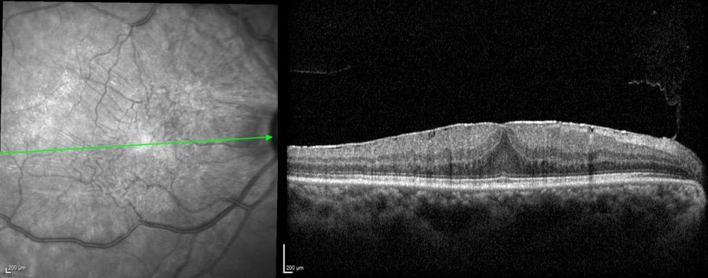
4️⃣ التشخيص
التشخيص يكون كلينيكي مع اجراء تصوير طبقي لشبكية العين Opictal coherence tomography
5️⃣ العلاج
اولاً
لاتعالج اغشية فوق الشبكية الا في حالة تأثيرها على الابصار وبالتالي جودة حياة المراجع، و(القفز) الى العلاج بدون التأكد من مدى تأثيرها على الابصار يعتبر اجراء غير سليم
ثانياً
العلاج الوحيد هو ازالته جراحياً عن طريق عملية للشبكية ونسبة نجاح العملية تعتبر عالية باذن الله ونسبة تكرار نمو اغشية على الشبكية تقدّر ب ١٪ فقط
ولايوجد قطرات لعلاج او تجنّب اغشية مافوق الشبكية
نستقبل اي اسئلة عن هذا الموضوع او اي سؤال في العيون على العام،
بالسلامة للجميع 💐

جاري تحميل الاقتراحات...