Orthopedic Team 🦴
Orthopedic Team 🦴

@OrthopedicTeam

13 تغريدة 183 قراءة Nov 07, 2022
السقوط على يد ممدودة أو
FOOSH (Fall on out stretched hand)
يعد من أكثر أسباب الإصابات في الجزء العلوي من الجسم عند محاولة إيقاف السقوط بإستخدام دعم اليد،
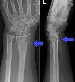
🔹 في هذا الثريد، سنتحدث عن " كسر عظمة الكعبرة عند النهاية البعيدة (Distal radius fracture)"..
🔹 هذا النوع من الإصابات يشتهر لدى الرياضيين، راكبي الدراجات، المتزلجين، كبار السن، والمصابين بهشاشة العظام، وقد يتسبب في إصابات تمتد من عظام الإصبع إلى عظمة القصر (Sternum).
🔹 يتكون مفصل الرسغ من عظمة الكعبرة (Radius) والصف الرسغي القريب (Proximal carpal row) من ٤ عظام صغيرة، وهي المسؤولة عن حركة اليد في عدة اتجاهات..
الثني الظهري (Flexion)
الثني الراحي (Extension)
الحركات الجانبية (Adduction, Abduction)
🔹 أهم أنواعه:
⁃ كسر كولِس (Colles’ Fracture): يدعى هذا الكسر أحيانًا بتشوّه ظهر الشوكة أو تشوّه الحربة بسبب الشكل الذي يأخذه مقدم الساعد.
⁃ كسر سميث (Smith Fracture): المعروف بكسر كولِس العكسي، يحدث نتيجة السقوط على رسغ مثني.
🔹 يظهر المصاب بألم في المنطقة المصابة، كدمات، و تورم سريع.
ويحتاج التشخيص إلى:
⁃ أخذ التاريخ المرضي.
⁃ الفحص السريري.
⁃ صورتين من الأشعة السينية (X-ray) في أغلب الحالات، أما في بعض الحالات المعقدة مثل كسور داخل المفاصل قد يحتاج التشخيص إلى الأشعة المقطعية (CT Scan).
🔹 علاجه:
يعتمد العلاج على عمر، مستوى نشاط المريض، وطبيعة الكسر:
⁃ الأطفال ٨٠٪ من الحالات لا تحتاج إلى إجراء جراحي.
⁃ البالغين ٨٠٪ من الحالات تحتاج للجراحة.
🔹 العلاج الغير الجراحي:
⁃ "التثبيت بالجبيرة (Splint / Cast immobilization): يستخدم للكسور المستقرة أو في حال وجود إزاحة بسيطة، وغالبًا ما يُستخدم للأطفال أقل من ٤ سنوات."
⁃"الرد المغلق مع التجبير (Closed reduction and immobilization): يستخدم للكسور الأكثر حِدة التي أصبحت بزاوية قد يكون الطبيب قادرًا على معالجة العظام أو دفعها بلطف إلى مكانها بدون جراحة."
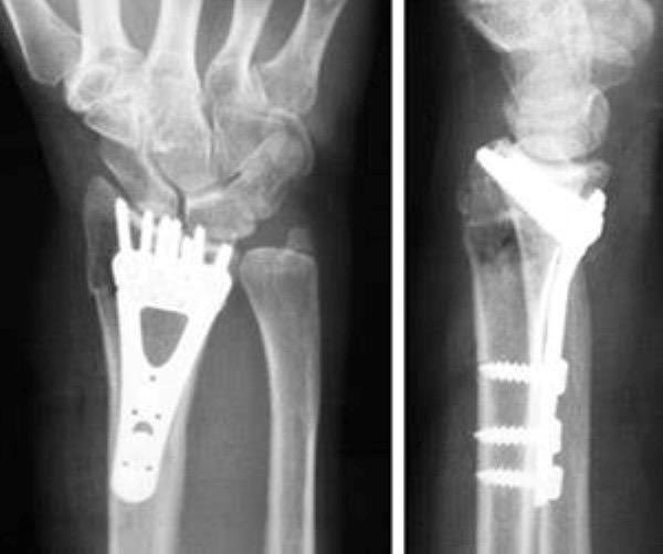
🔹 العلاج الجراحي:
بعض الحالات تحتاج إلى جراحة لمحاذاة قطع العظام وتأمينها في مكانها:
⁃ في حال اختراق العظام للجلد (الكسر المفتوح) معرض لخطر الإصابة بالعدوى.
⁃ الكسر الغير مستقر.
⁃ لا يمكن محاذاة العظام بشكل صحيح من خلال التجبير.
وأيضًا:
⁃ بدأت العظام بالفعل في الشفاء بزاوية أو في وضع غير مناسب.
يختلف الإجراء الجراحي على حسب حالة المريض:
🔹 الشد المفتوح والتثبيت الداخلي باستخدام البراغي والصفائح المعدنية للبالغين (Open reduction and internal fixation)، أما للأطفال تستخدم أسياخ تسمى "K wire”.
🔹 التثبيت الخارجي (External fixation):
يستخدم في حال وجود تهتك كبير بأنسجة العظم والجلد، يتم زراعة مسامير فوق وتحت خط الكسر، ومن ثم ربط أطراف المسامير الخارجية بدعامات خاصة. يساعد هذا الهيكل على تثبيت القطع المكسورة حتى اكتمال التئام الكسور ثم يتم إجراء التثبيت الداخلي بالشرائح.
🔹 بعد الجراحة يجب التأكد من تثبيت مفصل الرسغ مع المِرفق، يحتاج التعافي إلى ٦ أسابيع على الأقل وقد تمتد إلى ١٠ أسابيع، و يمكن إزالة الشرائح الداخلية للبالغين بعد مدة من التحام للعظام أما الأطفال بعد ٤ أسابيع من التثبيت.

جاري تحميل الاقتراحات...