عبدالله البحيري
عبدالله البحيري

@AbdullahBuhairi

7 تغريدة 177 قراءة Oct 08, 2022
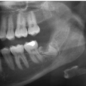
العصب السنخيalveolar nerve يكون احيانا في وضع قريب جدا من ذروة جذور اضراس العقل
وهنا موضوع فيه خلاف بين اطباء الاسنان
هل فعلا ان العصب السنخي يلتصق بذروة جذر ضرس العقل
ام انهما يكونان متجاوران وقريبين من بعض لدرجة عالية قد تتسبب في شعور المريض بالم حاد اثناء الخلع رغم التخدير
من مشاكل اضراس العقل:
الاضراس السفلية تكون في بعض الاحيان قيبة جدا ومتداخل مع قناة العصب السنخي
مما تتسبب في تردد طبيب الاسنان ان يخلعها
الاضراس العليا تكون احيانا في وضع قريب جدا من الجيوب في الفك العلوي واحيانا تكون ملاصقة
لانلوم الطبيب اذا تردد في خلع الاضراس في مثل هذه الحالات
ولكن ليس من المنطق ان نترك المريض يتألم
خاصة اذا كان غير قادر على تكاليف العلاج تحت التخدير الكامل
احد الحلول اذا كان الخلع فيه مخاطرة هو ان نبقي على قمة الجذور داخل العظم تفاديا لجرح العصب
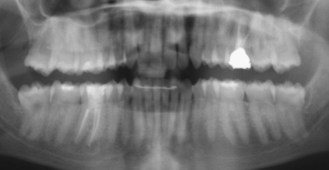
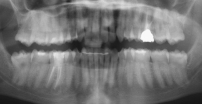
الاشعة المقطعية مفيدة جدا
مريضة زارتني في العيادة وكانت مترددة جدا في الخلع من كثر ماقرأت عن مشاكل اضراس العقل لمثل حالتها
قدر هذه المريضة ان اضراس العقل السفلية قريبة جدا من مجرى العصب السنخي
واضراس العقل العليا قريبة جدا من جيوب الفك العلوي
الحمدلله تم الخلع باسهل مما توقعنا
والفضل في ذلك لله وحده
ساعدني كثير في عملية الخلع
هدوء المريض
مساعد جيد
توفر الادوات اللازمة
وقبل ذلك كله توفيق الله
رغم كل هذه السنين فاننا ندين بالفضل من بعد الله الى اساتذننا الافاضل بجامعة الملك سعود
د.شلهوب
د.خالد الرحيمي
د.سمير خطيري
د.حسن عابدين
لهم الشكر والتقدير
ورحم الله من وافته المنية منهم
طريقة تحريك الضرس السفلي على شكل رقم 8 بالانجليزي تساعد كثير في خلخلة الضرس
الضرس العلوي يستسلم وبسرعة مع straight elevator او مع تحريكة جهة الخد بواسطة forceps
مهم جدا التأكد من عدم وجود ثقب في جيوب الفك بعد خلع ضرس العقل ... تفاديا لاي مشاكل مستقبلية
لحظات وداع الاسنان صعبة جدا
حتى لو كانت مسببة للالم
لايشعر بذلك الا من فقد ضرس
رغم انه كان سبب في الالم الا ان اغلب المرضى يتضايقون من فقدانه

جاري تحميل الاقتراحات...