أحمد الشهري | طبيب أورام 🇸🇦
أحمد الشهري | طبيب أورام 🇸🇦

@DrAhmedAlShehri

4 تغريدة 29 قراءة Sep 25, 2022
٤ فحوصات مهمة
للكشف المبكر عن السرطان في النساء :
1️⃣ الماموجرام للكشف عن سرطان الثدي: ابتداءً من سن الـ٤٠ .. وربما أبكر من ذلك في حال وجود تاريخ وراثي لسرطان الثدي
2️⃣ مسح عنق الرحم (Pap smear): ابتداءً من سن الـ٢١ .. ويُضم لها اختبار ڤيروس (HPV) ابتداءً من سن الـ٣٠
3️⃣ الكشف المبكر لسرطان القولون: ابتداءً من سن الـ٤٥ عن طريق أحد الخيارين:
- منظار القولون المرن (Colonoscopy)
- فحص الدم بالبراز (Fecal Occult Blood)
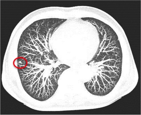
4️⃣ الكشف المبكر لسرطان الرئة: بالأشعة المقطعية قليلة الإشعاع .. ابتداءً من سن الـ٥٥، لأولئك المدخنين ما يعادل باكت يومياً لمدة ٣٠ سنة أو باكتين يومياً لمدة ١٥ سنة ..

جاري تحميل الاقتراحات...