Yaser Alhazmi د. ياسر الحازمي
Yaser Alhazmi د. ياسر الحازمي

@yasserdent

14 تغريدة 18 قراءة Aug 27, 2022
القرحات التي تصيب الفم كثيرة ومتعددة الأسباب... لا يتم علاجها بطريقة واحدة! تمر علي في العيادة حالات كثيرة وتكاد تمثل كل حالة نوعاً مختلفاً من التقرحات.
▪️أهم أسباب وأنواع قرحات الفم، طرق العلاج، ومتى تكون بحاجة إلى رؤية المختص. #ثريد #أمراض_الفم #طب_الأسنان
2️⃣ تقرحات الفم إما أن تكون آفات موضعية تصيب الفم فقط، أو متعددة الانتشار تصيب الفم وأغشية مخاطية أخرى كالمعدة، والبلعوم، والعين، والأعضاء التناسلية؛والجلد
أيضاً إما أن تكون منفردة في سبب حدوثها أو تكون مجتمعة مع أعراض جسمانية أخرى كتلك التي تصاحب القولون العصبي أو مرضى الأنيميا
3️⃣ لماذا نهتم بالتقرحات اللي تصيب الفم؟
▪️مؤلمة
▪️تتعارض مع القدرة على الأكل 
▪️تتعارض مع ممارسة النشاط اليومي المعتاد
▪️يمكن أن تكون علامة على مرض لم يتم تشخيصه بعد 
▪️يمكن أن تكون غير حميدة لا سمح الله
 ▪️تسبب القلق المزمن
4️⃣ يمكننا تلخيص أهم أسباب تقرحات الفم في ٨ عناصر مهمة كما في الصورة المرفقة
5️⃣ تمثل التقرحات القلاعية (aphthous ulcer) أحد أشهر التقرحات الفموية وأكثرها انتشاراً
وهي تندرج تحت الالتهابات المناعية
▪️تكون القرحة القلاعية غالباً في شكلين مشهورين
وشكل ثالث أيضاً؛ لكنه نادر الحدوث
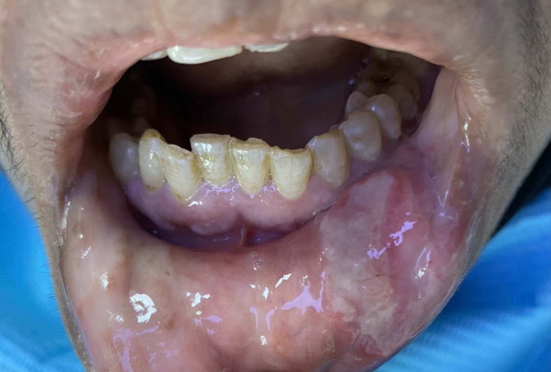
6️⃣
▪️الشكل الاول: القرحة القلاعية الصغرى
▪️الشكل الثاني: القرحة القلاعية الكبرى (الصورة المرفقة)
▪️الشكل الثالث (نادر): القرحة القلاعية شبيهة الهربس
7️⃣
25٪ من المجتمع تقريباً تصيبه القرحة القلاعية
▪️"دائماً ما أقول للمرضى أن القرحة القلاعية سهل التعرف عليها .. صعب معرفة سببها حدوثها"
الأسباب:
السبب الرئيسي جيني وله دواعم بيئية كثيرة من أهمها 👇🏻
8️⃣
▪️الشكل: دائري إلى بيضاوي لا يتجاوز قطرها ١٠ ملم ويمكن أن تصيب أي مكان في الغشاء المخاطي للفم باستثناء اللثة والحنك الأمامي (ميزة مهمة للتشخيص)
▪️اللون: عادة غشاء أبيض قريب للصفرة في المنتصف مع هالة حمراء في الاطراف
9️⃣
▪️الألم: متوسط إلى شديد
▪️الأعراض: احساس بتنميل ووخز المكان قبيل حدوثها (اللي متعود عليها يعرف مسبقاً أنها رح تجيه)
🔟
▪️أكثر القرحات الأخرى شبهاً لها
١- الهربس (يصيب اللثة بعكس القرحة القلاعية التي لا تصيب اللثة)
٢- القرحة الحادة بسبب عضة Acute Traumatic ulcer .. عادة يصعب التفريق بينها من ناحية الشكل ولكن وجود تاريخ مرضي بالعض أو سن حاد يساهم في تشخيصها
٣- الفقاعي الشائع
1️⃣1️⃣
▪️العلاج:
بحسب السبب الرئيسي للتقرحات القلاعية يكون العلاج
١- عدم اخذ وصفة سريعة من الصيدلي .. غالبا رح يعطيك واحد من ثلاثة ادوية كما في الصورة وكلها لا تعالج أي نوع من التقرحات .. توجه دائما للمختص في (طب وأمراض الفم)
1️⃣2️⃣
٢-نبدأ بمسكن عام للالم؛ البنج الموضعي ويساهم في تخفيف الشعور بالألم أثناء الأكل
٣- غسول فم مضاد للبكتيريا
٤- ستيرويد موضعي
٥- في حالات قليلة يكون ضرورياً وصف حبوب كورتيزون أوحقن القرحة بالكورتيزون
٦-أثبت علاج بينتوكسيفيللين فعالية عالية في حالات لم تستجب للعلاجات السابقة
1️⃣3️⃣
أنصح شخصيا لمن لديهم تكرار في حالات حدوث القرحات الفموية بمراجعة أخصائي طب وأمراض الفم
و تذكر!!
▪️لابد من معرفة السبب الرئيسي للقرحة القلاعية
▪️لا يمكنك وصف ستيرويد لمرض فيروسي لأنه سوف يزيد من حدة الأعراض
▪️سرطان الفم من أكثر الأمراض غموضاً ومؤشر إصابته للشباب في ارتفاع
1️⃣4️⃣
حسب تجربتي في السوق السعودي والصيدليات معجون الأسنان الوحيد الخالي من كبريتات لوريث الصوديوم هو معجون سنسوداين برونامل
النهاية 😇

جاري تحميل الاقتراحات...