قالي لا مش قصدي احنا روحنا لحد كبير و قالي محمد هيموت في العمليه بنسبه ٤٠٪ و لو عدي من الموت هيحصله شلل بنسبة ٦٠٪ و لو سبته من غير العمليه هيموت ١٠٠٪….
قولتله والله انا مطمئن منه نسبياً يا دكتور عاصم و يوم عمليته هيكون هو واحد من خمسة مرضي اخرين و هو ليس اخطر واحد فيهم…
قولتله والله انا مطمئن منه نسبياً يا دكتور عاصم و يوم عمليته هيكون هو واحد من خمسة مرضي اخرين و هو ليس اخطر واحد فيهم…
و يمكن اكون غلطان في تقديري لكني مطمئن و ربنا يستر و هبدأ ب محمد علشان خاطرك.
المهم العمليه كانت النهارده … وصلت عند محمد ٦:٣٠ الصبح و روحت اداعبه و قولتله يا محمد هبدأ بيك علشان بحب ابدأ بالحاجات البسيطه علشان اسخن قبل الحاجات الصعبه… قالي انا بسيطه انا …
المهم العمليه كانت النهارده … وصلت عند محمد ٦:٣٠ الصبح و روحت اداعبه و قولتله يا محمد هبدأ بيك علشان بحب ابدأ بالحاجات البسيطه علشان اسخن قبل الحاجات الصعبه… قالي انا بسيطه انا …
بقي انا بسيطه و قعد يعيدها كتير لان محمد تقريبا كان سمع الكلام الاولاني…
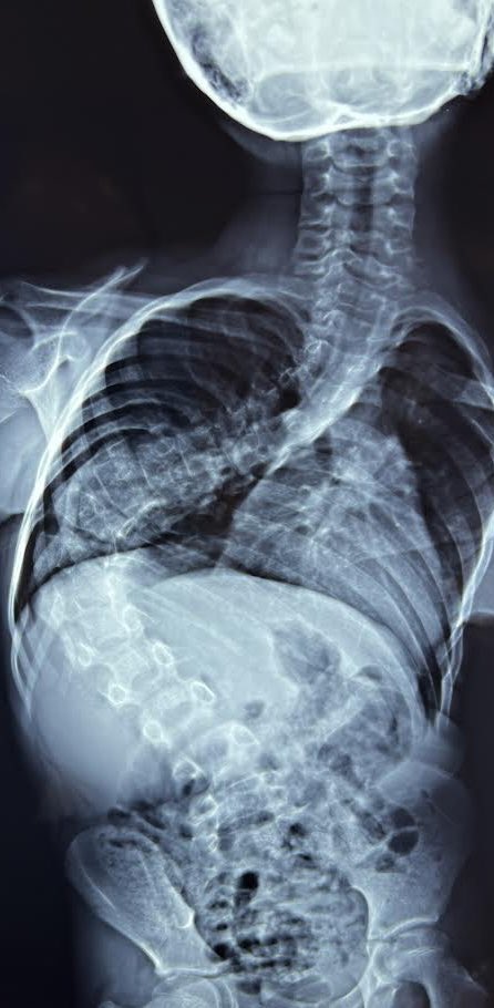
المهم ان ربنا اكرمنا اكتر مما كنا نتخيل و محمد بقي زي الفل و روحت دلوقتي بعد انتهاء الخمس عمليات اشوفه و اتمشي معي مرتين و اتصورنا و بعدين حطينا صورة قبل و بعد علي التلفونات جنب بعض انا و والد محمد…
المهم ان ربنا اكرمنا اكتر مما كنا نتخيل و محمد بقي زي الفل و روحت دلوقتي بعد انتهاء الخمس عمليات اشوفه و اتمشي معي مرتين و اتصورنا و بعدين حطينا صورة قبل و بعد علي التلفونات جنب بعض انا و والد محمد…
و قعدنا نشوف الفرق و محمد بقي واحد تاني خالص غير بتاع الصبح
اللهم لك الحمد حتي ترضي.
اللهم لك الحمد حتي ترضي.
جاري تحميل الاقتراحات...